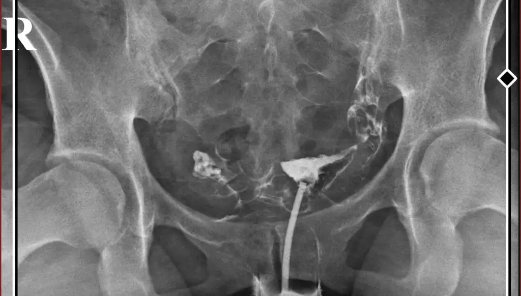
A aysssseee Üye Kayıtlı Üye 7 Şubat 2024 68 12 8 26 27 Temmuz 2024 Konu Sahibi Konu Sahibi aysssseee #1 Kızlar dün rahim filmi çekindim doktor sol tüpün kapalıydı açtık dedi ana sanki açılmamış gibi bi bakar mısınız
Kızlar dün rahim filmi çekindim doktor sol tüpün kapalıydı açtık dedi ana sanki açılmamış gibi bi bakar mısınız
S Sareali36 Kullanıcı üyeliğini pasifleştirmiştir. Üyelik İptali Kayıtlı Üye 29 Aralık 2023 555 191 18 28 Temmuz 2024 Konu Sahibi Konu Sahibi aysssseee #2 aysssseee .!.: Kızlar dün rahim filmi çekindim doktor sol tüpün kapalıydı açtık dedi ana sanki açılmamış gibi bi bakar mısınız Eki Görüntüle 3457743 Genişletmek için tıkla... Bana da öyle geldi sanki kontrast sıvı dağılmamış gibi tekrar edin veya bi sorun bence
aysssseee .!.: Kızlar dün rahim filmi çekindim doktor sol tüpün kapalıydı açtık dedi ana sanki açılmamış gibi bi bakar mısınız Eki Görüntüle 3457743 Genişletmek için tıkla... Bana da öyle geldi sanki kontrast sıvı dağılmamış gibi tekrar edin veya bi sorun bence
Umuthepolsun Popüler Üye Kayıtlı Üye 29 Aralık 2016 598 367 103 38 12 Ağustos 2024 Konu Sahibi Konu Sahibi aysssseee #3 Merhaba kızlar bana da tüpler tıkalı denmişti eski rahim filmlerim de sanki geçmiş gibi ama Eklentiler IMG_3537.webp 31,1 KB · Görüntüleme: 44 IMG_3536.webp 30,2 KB · Görüntüleme: 44