• Merhaba, Kadınlar Kulübü'ne ÜCRETSİZ üye olarak yorumlar ile katkıda bulunabilir veya aklınıza takılan soruları sorabilirsiniz.

Gebe kalmayı planladığımızda yapmamız gereken hazırlıklar.

Erken hamilelik belirtileriniz ne zaman başladı?


  • Ankete Katılan
    495
ananhsnsns siz beni çok yanlış anladınız ya. Baştan doktor söylüyor nerden bakacağını. Ben gidip küçük bir odası var orda hazırlanıyorum. Çatala tekbirlerle oturuyorum zaten. Daha örtüyü belime dolarken titremeye başlıyorum. Çatalda da en ulaşılmaz noktaya oturuyorum. Oradan bakamayacağı için aşağıya kay diyor 😂
Hahaja çok haklısın ya anladım ben öyle anlatınca ben de söylemeden hemen oraya geçiyorsun sandım 🤣 ama daha önce hep öyle muayene ettiyse insan söylemeden de öyle geçer oraya yani. O örtü de zaten bizim görmememiz için var ne işe yarıyor hiç anlamadım 🤣🤣 sinir oluyorum o örtüye güya bak rahat ol her yerin kapalı gibi bir rahatlık veriyor bize, e aşağısı püfür püfür 🤣 beni de genelde kaydırıyorlar aşağı nasıl tırmanıyorsak kim bilir 🤣
 
O gün ne giydiğimi çok iyi hatırlıyorum. Üstümde bol dökümlü bir tunik, altında tayt ama tunik baya taytı kapatıyordu çok bol bir şeydi. Ve çizme. Çizme topukluydu herhalde ondan şüphelendi dedim 🤣 saçlarım da kızıldı o zamanlar 🙈
Ben de saçını laciye mi boyatmıştın diyecektim 🤣 Tipten bekaret analizi yapan bir doktor ilginç yalnız ya
 
Ben yine mütevazi gitmişsem demek. :KK70:
Zaten içerde doktor ameliyat olman lazım, çocuğun olur mu olmaz mı bişey diyemem falan diye umutsuz konuşunca beni öyle bir çökertti ki o gün, çıktığımda eve gideceğime odasının önündeki bekleme yerinde oturup bayağı bi süre kalkamamıştım yerimden.
İş çıkışı gitmiştim ben de halbuki darmadağın🙈 çok yanlış bence tipe bakıp yorum yapmak.

O doktor da kıçımı yesin. Ne biçim konuşuyorlar ya valla insanda moral bırakmıyorlar. O doktora git de ultrason fotonu göster kabak gibi. Ya ne söylediğinden ziyade nasıl söylediğin çok önemli bence bu süreçlerde. Doktorların bu konuda daha hassas olması lazım.
Kıyamam bu kız çok mağdur. Ey ahali yok mu şu kıza vajinal ultrasonla bakacak bi tanıdık doktor? İnsanlık öldü mü beee
🤣🤣 Kocam da meraklıyım sanacak 🤣 niye bakmıyor bu adam diye kafayı takınca ben gerek görmemiştir ya AA diyor 🤣
 
İlk sıraya "Ne zaman alttan bakacaksınız???" yazarsan tamam gibi liste 🤣
Hahsgsgs iyi fikir direkt eline vereyim telefonu 🤣
Ben de saçını laciye mi boyatmıştın diyecektim 🤣 Tipten bekaret analizi yapan bir doktor ilginç yalnız ya
Laci de olsa çok acayip doktorun tavrı. Beni paldır küldür ameliyat edecekti zaten. Çok tuhaf bir kadındı bıraktım hemen.
 
Hahaja çok haklısın ya anladım ben öyle anlatınca ben de söylemeden hemen oraya geçiyorsun sandım 🤣 ama daha önce hep öyle muayene ettiyse insan söylemeden de öyle geçer oraya yani. O örtü de zaten bizim görmememiz için var ne işe yarıyor hiç anlamadım 🤣🤣 sinir oluyorum o örtüye güya bak rahat ol her yerin kapalı gibi bir rahatlık veriyor bize, e aşağısı püfür püfür 🤣 beni de genelde kaydırıyorlar aşağı nasıl tırmanıyorsak kim bilir 🤣
Üstüne para verseler kendi inisiyatifimi kullanıp geçmem oraya. Kanım çekiliyor çatal deyince.
Gerçekten püfür püfür manasız ahhshd Doğum mu yapıyorum kimden neyi saklıyorsun 🤣
 
İş çıkışı gitmiştim ben de halbuki darmadağın🙈 çok yanlış bence tipe bakıp yorum yapmak.

O doktor da kıçımı yesin. Ne biçim konuşuyorlar ya valla insanda moral bırakmıyorlar. O doktora git de ultrason fotonu göster kabak gibi. Ya ne söylediğinden ziyade nasıl söylediğin çok önemli bence bu süreçlerde. Doktorların bu konuda daha hassas olması lazım.
Hayır bi de anaokulu öğretmeniyim, çocuk gelişimciyim aynı zamanda.
Ders çalışayım diyorum, çocuk, işe gideyim, kafam dağılır diyorum, gidiyorum, yine her yer bıcır bıcır çocuk, kafamı çevirdiğim her yer çocuk. :D
Şimdi gülüyorum ama o zamanlar yorucu bi durumdu tabi.
 
İş çıkışı gitmiştim ben de halbuki darmadağın🙈 çok yanlış bence tipe bakıp yorum yapmak.

O doktor da kıçımı yesin. Ne biçim konuşuyorlar ya valla insanda moral bırakmıyorlar. O doktora git de ultrason fotonu göster kabak gibi. Ya ne söylediğinden ziyade nasıl söylediğin çok önemli bence bu süreçlerde. Doktorların bu konuda daha hassas olması lazım.

🤣🤣 Kocam da meraklıyım sanacak 🤣 niye bakmıyor bu adam diye kafayı takınca ben gerek görmemiştir ya AA diyor 🤣
Bazı doktorların cıvatalar gevşek cidden. Bana da her ihtimali ilk anda söylemişti bir doktor. Neye uğradığımı şaşırmıştım.

Her türlü ayıp tabii dış görünüşten böyle bir kanaate varması. Hadsizce hem de
 
9500 tl taze embriyo transferidir. mesela 2/3 ay rahmi dinlendirip embriyoları kısa süreli donduruyorlar. onlarda artı maliyet oluyor 4000 civarı. Yıllık dondurmadan ayrı yani. Yıllık dondurmalar 2000/2500 arası değişiyor. Benim araştırmalarım bu şekilde. Aylık dondurma işine sanırım dr. kendisi karar veriyor. Yani toplanan yumurta ve rahmin durumuna göre karar veriyormuş sanırım. Çok yumurta toplanırsa işte rahimde yeteri kalınlasşma oluşmamışssa dondurma işlemine gidip 2/3 rengl döenmi sonra transfer sağlanıyor. VE yine duyduğum kadarıyla dondurulmuş ebriyolarda tutma şansı daha yksek oluyormuş. Ama gel görki artı para herşey para
Muhtemelen dediğin gibi ya, böyle çok detaylı sormadım bende o zaman bu kadar bilgim yoktu. Başlamadan tekrar detaylı fiyat alırım artık. Ama yıllık dondurma ücreti varmış onu farkettim. Aylık dondurma ücreti ödemek ise çok saçma geliyor 🙄
 
Muhtemelen dediğin gibi ya, böyle çok detaylı sormadım bende o zaman bu kadar bilgim yoktu. Başlamadan tekrar detaylı fiyat alırım artık. Ama yıllık dondurma ücreti varmış onu farkettim. Aylık dondurma ücreti ödemek ise çok saçma geliyor 🙄
Bize aylıktan bahsetmediler hiç. Fazla embriyo olursa zaten donduralım diyorlarmış direkt. Buna yıllık ödüyorsun. Eğer dondurulmuş transfer olacaksa da ekstra çözdürme maliyeti oluyormuş. Kalanlar da yıllık aidatla devam ediyormuş
 
Bize aylıktan bahsetmediler hiç. Fazla embriyo olursa zaten donduralım diyorlarmış direkt. Buna yıllık ödüyorsun. Eğer dondurulmuş transfer olacaksa da ekstra çözdürme maliyeti oluyormuş. Kalanlar da yıllık aidatla devam ediyormuş
Aylık derken bundan bahsediyordum aslında, çok saçma geliyor. Bakalım ne kadar tutacak 🙄
 
Muhtemelen dediğin gibi ya, böyle çok detaylı sormadım bende o zaman bu kadar bilgim yoktu. Başlamadan tekrar detaylı fiyat alırım artık. Ama yıllık dondurma ücreti varmış onu farkettim. Aylık dondurma ücreti ödemek ise çok saçma geliyor 🙄
Saçma ama buna rahim dinlendime diyor doktorlar. Yıllık dondurma tamamen farklı bir amaçla donduruluyor.
 
Anne olma yolunda emek verip, çaba harcayan tüm güzel kadınlar bu yolu birlikte yürüyelim.Yürüdüğümüz bu zorlu yolu birlikte çiçeklendirelim.💐 Hikayen her ne olursa olsun birbirimizin kalbine dokunmak için geç değil.💗

"Hiç kimse kendisi için gizlenen müjde ve mutluluğu bilemez" - Secde 17


Not: BAT geçtikten sonra güncelleme için bilgi vermenizi rica ederim arkadaşlar , listemizi güncel tutalım bilgi verilmeyenleri listeden çıkarmak durumunda kalacağım.:anneadayı:

LİSTEYE EKLENMEK İSTEYENLERİN TEK BİR MESAJ İÇİNDE BAT VE NE KADAR SÜREDİR İSTEDİĞİNİ BELİRTMESİ GEREKMEKTEDİR. EKSİK BİLGİ İLE LİSTEYE EKLEME YAPILMAMAKTADIR.



GRUBUMUZDA HAMİLE KALAN ARKADAŞLARIM HAMİLELİK HABERİNİZİ ALDIKTAN SONRA AŞAĞIDAKİ SORULARI KOPYALARAK KARŞILARINA CEVAPLARIYLA BİRLİKTE BENİ ETİKETLEYEREK PAYLAŞIRSANIZ ÇOOOOK SEVİNİRİZ :KK5:
BİZE BU GÜZEL HİKAYEYİ ANLATIR MISIN ? :anne:

  • KAÇ YAŞINDASIN?
  • KAÇ AYDIR/SENEDİR İSTİYORSUN?
  • İLK GEBELİĞİN Mİ?
  • KAÇINCI ÇOCUĞUN OLACAK
  • KAYBIN VAR MI?
  • REGLİN DÜZENLİ MİYDİ?
  • EŞİNDE YA DA SENDE BİR SAĞLIK PROBLEMİ VAR MIYDI? VARSA NEYDİ
  • KÜR YA DA İLAÇ KULLANDINIZ MI?
  • HAMİLE KALMAK İÇİN KLOMEN/AŞILAMA/TÜP BEBEK GİBİ BİR TEDAVİ ALDIN MI?
  • OVÜLASYON TAKİBİ YAPTIN MI?
  • HANGİ GÜNLERİ DEĞERLENDİRDİN?
  • BELİRTİLERİN VAR MIYDI, NE ZAMAN BAŞLADI?
  • ÇİFT ÇİZGİYİ BATA KAÇ GÜN KALA GÖRDÜN?
  • BU SÜRECİ YAŞAYAN ARKADAŞLARA TAVSİYELERİN NELERDİR?
SORU CEVAP LİNKLERİMİZE TABLONUN ALTINDAKİ LİSTEDEN ULAŞABİLİRSİNİZ.

KULLANICI ADI
BAT
İSTEDİĞİ SÜRE
ÇİFT ÇİZGİ
:nazar:
:sampiyon:İLK HAMİLEMİZ:sampiyon:
@rymruyam
SORU-CEVAP 88. SAYFADA
26.09.2020
17 AY
:emir_bebek:GELİYOR:anneadayı:
:nazar:
@ZeynepYldr
SORU-CEVAP 277. SAYFADA
05.10.2020
13 AY
:emir_bebek:GELİYOR:anneadayı:
:nazar:
@Selin1998
SORU-CEVAP 273. SAYFADA
08.10.2020
3 YIL
:emir_bebek:GELİYOR:anneadayı:
:nazar:
@-Haziran-
SORU-CEVAP 312. SAYFADA
08.10.2020
1 YIL
:emir_bebek:GELİYOR:anneadayı:
:nazar:
@Kocasininprensesi93
SORU-CEVAP 359. SAYFADA
11.10.2020
2,5 YIL
:emir_bebek:GELİYOR:anneadayı:
:nazar:
@Mrvzkn
SORU-CEVAP 397. SAYFADA
10.10.2020
2 AY
:emir_bebek:GELİYOR:anneadayı:
:nazar:
@Hirasarem
SORU-CEVAP 410. SAYFADA
16.10.2020
1 YIL
:emir_bebek:GELİYOR:anneadayı:
:nazar:
@Okuyanse
SORU-CEVAP 441. SAYFADA
15.10.2020
7 AY
:emir_bebek:GELİYOR:anneadayı:
:nazar:
@masalkzz
SORU-CEVAP 485. SAYFADA
26.10.2020
16 AY
:emir_bebek:GELİYOR:anneadayı:
:nazar:
@Menekse moru
SORU-CEVAP 517. SAYFADA
24.10.2020
2 AY
:emir_bebek:GELİYOR:anneadayı:
:nazar:
@kzlrgn05

SORU-CEVAP 529. SAYFADA
29.10.2020
3 AY
:emir_bebek:GELİYOR:anneadayı:
:nazar:
@Nevai13
SORU-CEVAP 618. SAYFADA
12.11.2020
1,5 YIL
:emir_bebek:GELİYOR:anneadayı:
:nazar:
@eczhnm
SORU-CEVAP 638. SAYFADA
20.11.2020
2,5 YIL
:emir_bebek: GELİYOR :anneadayı:
:nazar:
@Sudamlasii
SORU-CEVAP 960. SAYFADA
18.11.2020
4 YIL
:emir_bebek:GELİYOR:anneadayı:
:nazar:
@Brctks
SORU-CEVAP 689. SAYFADA
21.11.2020
1 YIL
:emir_bebek:GELİYOR:anneadayı:
:nazar:
@sbkt86
SORU-CEVAP 689. SAYFADA
21.11.2020
2 AY
:emir_bebek:GELİYOR:anneadayı:
:nazar:
@Chern30
SORU-CEVAP 952. SAYFADA
27.11.2020
7 AY
:emir_bebek:GELİYOR:anneadayı:
:nazar:
@ayse2325
SORU-CEVAP 693. SAYFADA
28.11.2020
3 AY
:emir_bebek:GELİYOR:anneadayı:
:nazar:
@Nosking
SORU-CEVAP 961. SAYFADA
30.11.2020
20 AY
:emir_bebek:GELİYOR:anneadayı:
:nazar:
@SnowySecret
SORU-CEVAP 949. SAYFADA
30.11.2020
8 AY
:emir_bebek:GELİYOR :anneadayı:
:nazar:
@minnikMucize
SORU-CEVAP 954. SAYFADA
16.11.2020
4 AY
:emir_bebek:GELİYOR:anneadayı:
:nazar:
@istanbulsultani
SORU-CEVAP 1071. SAYFADA
11.12.2020
24 AY
:emir_bebek:GELİYOR:anneadayı:
:nazar:
@Okuranne
SORU-CEVAP 1118. SAYFADA
14.12.2020
6 AY
:emir_bebek:GELİYOR:anneadayı:
:nazar:
@peygambercicegikokusu
SORU-CEVAP 1167. SAYFADA
14.12.2020
12 AY
:emir_bebek:GELİYOR:anneadayı:
:nazar:
@Takitoki
SORU-CEVAP 1495. SAYFADA
07.01.2021
3 AY
:emir_bebek:GELİYOR:anneadayı:
:nazar:
@bitkiselhayat
SORU-CEVAP 1529. SAYFADA
14.01.2021
25 AY
:emir_bebek:GELİYOR:anneadayı:
:nazar:
@mell_in_shell
SORU-CEVAP 1619. SAYFADA
23.01.2021
9 AY
:emir_bebek:GELİYOR:anneadayı:
:nazar:
@cennetimgel
SORU-CEVAP 1617. SAYFADA
24.01.2021
48 AY
:emir_bebek:GELİYOR:anneadayı:
:nazar:
@Kedilervekitaplar
SORU-CEVAP 1631. SAYFADA
23.01.2021
6 AY
:emir_bebek:GELİYOR:anneadayı:
:nazar:
@Bilgi012
SORU-CEVAP 1620. SAYFADA
24.01.2021
7 AY
:emir_bebek:GELİYOR :anneadayı:
:nazar:
@Sevgi0817
SORU-CEVAP 1646. SAYFADA
21.01.2021
13 AY
:emir_bebek:GELİYOR:anneadayı:
:nazar:
@blanco
SORU-CEVAP 1701. SAYFADA
28.01.2021
3 AY
:emir_bebek:GELİYOR:anneadayı:
:nazar:
S sedanur4004
SORU-CEVAP 1699. SAYFADA
01.02.2021
5 AY
:emir_bebek:GELİYOR:anneadayı:
:nazar:
@serrabk
SORU-CEVAP 1754. SAYFADA
10.02.2021
19 AY
:emir_bebek:GELİYOR:anneadayı:
:nazar:
@GeminiWoman
SORU-CEVAP 1966. SAYFADA
26.02.2021
8 AY
:emir_bebek:GELİYOR:anneadayı:
:nazar:
@Hafize2511
SORU-CEVAP 2337. SAYFADA
19.02.2021
9 AY
:emir_bebek:GELİYOR :anneadayı:
:nazar:
@Duhanin annesi
SORU-CEVAP BEKLENİYOR
03.03.2021
8 AY
:emir_bebek:GELİYOR:anneadayı:
:nazar:
@ipek_annesi
SORU-CEVAP BEKLENİYOR
04.03.2021
27 AY
:emir_bebek:GELİYOR:anneadayı:
:nazar:
@goldies16
SORU-CEVAP 2439. SAYFADA
12.03.2021
6 AY
:emir_bebek:GELİYOR:anneadayı:
15.03.2021
19 AY
GECİKME​
19.03.2021
12 AY
19.03.2021
5 AY
GECİKME​
20.03.2021
9 AY
GECİKME​
21.03.2021
8 AY
23.03.2021
32 AY
24.03.2021
6 AY
24.03.2021
5 AY
24.03.2021
3 AY
24.03.2021
3 AY
24.03.2021
8 AY
25.03.2021
28 AY
25.03.2021
11 AY
26.03.2021
31 AY
26.03.2021
16 AY
26.03.2021
16 AY
27.03.2021
8 AY
28.03.2021
5 AY
28.03.2021
4 AY
29.03.2021
4 AY
29.03.2021
4 AY
29.03.2021
18 AY
29.03.2021
6 AY
01.04.2021
12 AY
@niw
02.04.2021
7 AY
02.04.2021
6 AY
02.04.2021
28 AY
03.04.2021
4 AY
04.04.2021
15 AY
05.04.2021
9 AY
05.04.2021
11 AY
05.04.2021
28 AY
08.04.2021
28 AY
09.04.2021
22 AY
09.04.2021
10 AY
09.04.2021
13 AY
10.04.2021
10 AY
12.04.2021
3 AY
13.04.2021
4 AY
13.04.2021
6 AY
13.04.2021
29 AY
14.04.2021
14 AY
14.04.2021
21 AY
16.04.2021
10 AY
17.04.2021
2 AY
18.04.2021
10 AY
19.04.2021
5 AY
SORU CEVAP LİNKLERİMİZ
@rymruyam --> Anne Olmak İsteyenler 👩‍👧‍👦🙏
@ZeynepYldr -->Anne Olmak İsteyenler 👩‍👧‍👦🙏
@Selin1998 --> Anne Olmak İsteyenler 👩‍👧‍👦🙏
@-Haziran- --> Anne Olmak İsteyenler 👩‍👧‍👦🙏
@minnikMucize
-->Anne Olmak İsteyenler 👩‍👧‍👦🙏
Kimyasal sonuçlandı :KK43:
@Kocasininprensesi93 --> Anne Olmak İsteyenler 👩‍👧‍👦🙏
@Mrvzkn --> Anne Olmak İsteyenler 👩‍👧‍👦🙏
@Deniz yazici --> Anne Olmak İsteyenler 👩‍👧‍👦🙏
Düşük ile sonuçlandı :KK43:
@Hirasarem --> Anne Olmak İsteyenler 👩‍👧‍👦🙏
@Okuyanse --> Anne Olmak İsteyenler 👩‍👧‍👦🙏
@masalkzz --> Anne Olmak İsteyenler 👩‍👧‍👦🙏
@medusasli -->Anne Olmak İsteyenler 👩‍👧‍👦🙏
Düşük ile sonuçlandı :KK43:
@Menekse moru -->Anne Olmak İsteyenler 👩‍👧‍👦🙏
@kzlrgn05-->Anne Olmak İsteyenler 👩‍👧‍👦🙏

@merve_1-->Anne Olmak İsteyenler 👩‍👧‍👦🙏 Düşük ile sonuçlandı :KK43:
@Nevai13-->Anne Olmak İsteyenler 👩‍👧‍👦🙏
@eczhnm--> Anne Olmak İsteyenler 👩‍👧‍👦🙏
@sbkt86 -->Anne Olmak İsteyenler 👩‍👧‍👦🙏
@Brctks -->Anne Olmak İsteyenler 👩‍👧‍👦🙏
@SnowySecret -->Anne Olmak İsteyenler 👩‍👧‍👦🙏
@Chern30 --> Anne Olmak İsteyenler 👩‍👧‍👦🙏
@Sudamlasii-->Anne Olmak İsteyenler 👩‍👧‍👦🙏
@minnikMucize--> Anne Olmak İsteyenler 👩‍👧‍👦🙏
@Ayse 2345 -->
Anne Olmak İsteyenler 👩‍👧‍👦🙏

@Nosking --> Anne Olmak İsteyenler 👩‍👧‍👦🙏
@istanbulsultani-->
Anne Olmak İsteyenler 👩‍👧‍👦🙏
@Okuranne-->Anne Olmak İsteyenler 👩‍👧‍👦🙏
@peygambercicegikokusu
--> Anne Olmak İsteyenler 👩‍👧‍👦🙏
@aybukee34 --> Anne Olmak İsteyenler 👩‍👧‍👦🙏
Dış gebelik ile sonuçlandı :KK43:
@Random33--> Anne Olmak İsteyenler 👩‍👧‍👦🙏 Kimyasal ile sonuçlandı :KK43:
@Takitoki --> Anne Olmak İsteyenler 👩‍👧‍👦🙏

@bitkiselhayat--> Anne Olmak İsteyenler 👩‍👧‍👦🙏
@mell_in_shell -->
Anne Olmak İsteyenler 👩‍👧‍👦🙏
@cennetimgel -->Anne Olmak İsteyenler 👩‍👧‍👦🙏
@Bilgi012 --> Anne Olmak İsteyenler 👩‍👧‍👦🙏
@Kedilervekitaplar--> Anne Olmak İsteyenler 👩‍👧‍👦🙏
@Sevgi0817 --> Anne Olmak İsteyenler 👩‍👧‍👦🙏

@LorenaEce -->Anne Olmak İsteyenler 👩‍👧‍👦🙏 Kimyasal ile sonuçlandı :KK43:
@blanco -->Anne Olmak İsteyenler 👩‍👧‍👦🙏
S sedanur4004 -->Anne Olmak İsteyenler 👩‍👧‍👦🙏
@serrabk--> Anne Olmak İsteyenler 👩‍👧‍👦🙏
@GeminiWoman --> Anne Olmak İsteyenler 👩‍👧‍👦🙏
@Hafize2511--> Anne Olmak İsteyenler 👩‍👧‍👦🙏
@goldies16--

Anne olma yolunda emek verip, çaba harcayan tüm güzel kadınlar bu yolu birlikte yürüyelim.Yürüdüğümüz bu zorlu yolu birlikte çiçeklendirelim.💐 Hikayen her ne olursa olsun birbirimizin kalbine dokunmak için geç değil.💗

"Hiç kimse kendisi için gizlenen müjde ve mutluluğu bilemez" - Secde 17


Not: BAT geçtikten sonra güncelleme için bilgi vermenizi rica ederim arkadaşlar , listemizi güncel tutalım bilgi verilmeyenleri listeden çıkarmak durumunda kalacağım.:anneadayı:

LİSTEYE EKLENMEK İSTEYENLERİN TEK BİR MESAJ İÇİNDE BAT VE NE KADAR SÜREDİR İSTEDİĞİNİ BELİRTMESİ GEREKMEKTEDİR. EKSİK BİLGİ İLE LİSTEYE EKLEME YAPILMAMAKTADIR.



GRUBUMUZDA HAMİLE KALAN ARKADAŞLARIM HAMİLELİK HABERİNİZİ ALDIKTAN SONRA AŞAĞIDAKİ SORULARI KOPYALARAK KARŞILARINA CEVAPLARIYLA BİRLİKTE BENİ ETİKETLEYEREK PAYLAŞIRSANIZ ÇOOOOK SEVİNİRİZ :KK5:
BİZE BU GÜZEL HİKAYEYİ ANLATIR MISIN ? :anne:

  • KAÇ YAŞINDASIN?
  • KAÇ AYDIR/SENEDİR İSTİYORSUN?
  • İLK GEBELİĞİN Mİ?
  • KAÇINCI ÇOCUĞUN OLACAK
  • KAYBIN VAR MI?
  • REGLİN DÜZENLİ MİYDİ?
  • EŞİNDE YA DA SENDE BİR SAĞLIK PROBLEMİ VAR MIYDI? VARSA NEYDİ
  • KÜR YA DA İLAÇ KULLANDINIZ MI?
  • HAMİLE KALMAK İÇİN KLOMEN/AŞILAMA/TÜP BEBEK GİBİ BİR TEDAVİ ALDIN MI?
  • OVÜLASYON TAKİBİ YAPTIN MI?
  • HANGİ GÜNLERİ DEĞERLENDİRDİN?
  • BELİRTİLERİN VAR MIYDI, NE ZAMAN BAŞLADI?
  • ÇİFT ÇİZGİYİ BATA KAÇ GÜN KALA GÖRDÜN?
  • BU SÜRECİ YAŞAYAN ARKADAŞLARA TAVSİYELERİN NELERDİR?
SORU CEVAP LİNKLERİMİZE TABLONUN ALTINDAKİ LİSTEDEN ULAŞABİLİRSİNİZ.

KULLANICI ADI
BAT
İSTEDİĞİ SÜRE
ÇİFT ÇİZGİ
:nazar:
:sampiyon:İLK HAMİLEMİZ:sampiyon:
@rymruyam
SORU-CEVAP 88. SAYFADA
26.09.2020
17 AY
:emir_bebek:GELİYOR:anneadayı:
:nazar:
@ZeynepYldr
SORU-CEVAP 277. SAYFADA
05.10.2020
13 AY
:emir_bebek:GELİYOR:anneadayı:
:nazar:
@Selin1998
SORU-CEVAP 273. SAYFADA
08.10.2020
3 YIL
:emir_bebek:GELİYOR:anneadayı:
:nazar:
@-Haziran-
SORU-CEVAP 312. SAYFADA
08.10.2020
1 YIL
:emir_bebek:GELİYOR:anneadayı:
:nazar:
@Kocasininprensesi93
SORU-CEVAP 359. SAYFADA
11.10.2020
2,5 YIL
:emir_bebek:GELİYOR:anneadayı:
:nazar:
@Mrvzkn
SORU-CEVAP 397. SAYFADA
10.10.2020
2 AY
:emir_bebek:GELİYOR:anneadayı:
:nazar:
@Hirasarem
SORU-CEVAP 410. SAYFADA
16.10.2020
1 YIL
:emir_bebek:GELİYOR:anneadayı:
:nazar:
@Okuyanse
SORU-CEVAP 441. SAYFADA
15.10.2020
7 AY
:emir_bebek:GELİYOR:anneadayı:
:nazar:
@masalkzz
SORU-CEVAP 485. SAYFADA
26.10.2020
16 AY
:emir_bebek:GELİYOR:anneadayı:
:nazar:
@Menekse moru
SORU-CEVAP 517. SAYFADA
24.10.2020
2 AY
:emir_bebek:GELİYOR:anneadayı:
:nazar:
@kzlrgn05

SORU-CEVAP 529. SAYFADA
29.10.2020
3 AY
:emir_bebek:GELİYOR:anneadayı:
:nazar:
@Nevai13
SORU-CEVAP 618. SAYFADA
12.11.2020
1,5 YIL
:emir_bebek:GELİYOR:anneadayı:
:nazar:
@eczhnm
SORU-CEVAP 638. SAYFADA
20.11.2020
2,5 YIL
:emir_bebek: GELİYOR :anneadayı:
:nazar:
@Sudamlasii
SORU-CEVAP 960. SAYFADA
18.11.2020
4 YIL
:emir_bebek:GELİYOR:anneadayı:
:nazar:
@Brctks
SORU-CEVAP 689. SAYFADA
21.11.2020
1 YIL
:emir_bebek:GELİYOR:anneadayı:
:nazar:
@sbkt86
SORU-CEVAP 689. SAYFADA
21.11.2020
2 AY
:emir_bebek:GELİYOR:anneadayı:
:nazar:
@Chern30
SORU-CEVAP 952. SAYFADA
27.11.2020
7 AY
:emir_bebek:GELİYOR:anneadayı:
:nazar:
@ayse2325
SORU-CEVAP 693. SAYFADA
28.11.2020
3 AY
:emir_bebek:GELİYOR:anneadayı:
:nazar:
@Nosking
SORU-CEVAP 961. SAYFADA
30.11.2020
20 AY
:emir_bebek:GELİYOR:anneadayı:
:nazar:
@SnowySecret
SORU-CEVAP 949. SAYFADA
30.11.2020
8 AY
:emir_bebek:GELİYOR :anneadayı:
:nazar:
@minnikMucize
SORU-CEVAP 954. SAYFADA
16.11.2020
4 AY
:emir_bebek:GELİYOR:anneadayı:
:nazar:
@istanbulsultani
SORU-CEVAP 1071. SAYFADA
11.12.2020
24 AY
:emir_bebek:GELİYOR:anneadayı:
:nazar:
@Okuranne
SORU-CEVAP 1118. SAYFADA
14.12.2020
6 AY
:emir_bebek:GELİYOR:anneadayı:
:nazar:
@peygambercicegikokusu
SORU-CEVAP 1167. SAYFADA
14.12.2020
12 AY
:emir_bebek:GELİYOR:anneadayı:
:nazar:
@Takitoki
SORU-CEVAP 1495. SAYFADA
07.01.2021
3 AY
:emir_bebek:GELİYOR:anneadayı:
:nazar:
@bitkiselhayat
SORU-CEVAP 1529. SAYFADA
14.01.2021
25 AY
:emir_bebek:GELİYOR:anneadayı:
:nazar:
@mell_in_shell
SORU-CEVAP 1619. SAYFADA
23.01.2021
9 AY
:emir_bebek:GELİYOR:anneadayı:
:nazar:
@cennetimgel
SORU-CEVAP 1617. SAYFADA
24.01.2021
48 AY
:emir_bebek:GELİYOR:anneadayı:
:nazar:
@Kedilervekitaplar
SORU-CEVAP 1631. SAYFADA
23.01.2021
6 AY
:emir_bebek:GELİYOR:anneadayı:
:nazar:
@Bilgi012
SORU-CEVAP 1620. SAYFADA
24.01.2021
7 AY
:emir_bebek:GELİYOR :anneadayı:
:nazar:
@Sevgi0817
SORU-CEVAP 1646. SAYFADA
21.01.2021
13 AY
:emir_bebek:GELİYOR:anneadayı:
:nazar:
@blanco
SORU-CEVAP 1701. SAYFADA
28.01.2021
3 AY
:emir_bebek:GELİYOR:anneadayı:
:nazar:
S sedanur4004
SORU-CEVAP 1699. SAYFADA
01.02.2021
5 AY
:emir_bebek:GELİYOR:anneadayı:
:nazar:
@serrabk
SORU-CEVAP 1754. SAYFADA
10.02.2021
19 AY
:emir_bebek:GELİYOR:anneadayı:
:nazar:
@GeminiWoman
SORU-CEVAP 1966. SAYFADA
26.02.2021
8 AY
:emir_bebek:GELİYOR:anneadayı:
:nazar:
@Hafize2511
SORU-CEVAP 2337. SAYFADA
19.02.2021
9 AY
:emir_bebek:GELİYOR :anneadayı:
:nazar:
@Duhanin annesi
SORU-CEVAP BEKLENİYOR
03.03.2021
8 AY
:emir_bebek:GELİYOR:anneadayı:
:nazar:
@ipek_annesi
SORU-CEVAP BEKLENİYOR
04.03.2021
27 AY
:emir_bebek:GELİYOR:anneadayı:
:nazar:
@goldies16
SORU-CEVAP 2439. SAYFADA
12.03.2021
6 AY
:emir_bebek:GELİYOR:anneadayı:
15.03.2021
19 AY
GECİKME​
19.03.2021
12 AY
19.03.2021
5 AY
GECİKME​
20.03.2021
9 AY
GECİKME​
21.03.2021
8 AY
23.03.2021
32 AY
24.03.2021
6 AY
24.03.2021
5 AY
24.03.2021
3 AY
24.03.2021
3 AY
24.03.2021
8 AY
25.03.2021
28 AY
25.03.2021
11 AY
26.03.2021
31 AY
26.03.2021
16 AY
26.03.2021
16 AY
27.03.2021
8 AY
28.03.2021
5 AY
28.03.2021
4 AY
29.03.2021
4 AY
29.03.2021
4 AY
29.03.2021
18 AY
29.03.2021
6 AY
01.04.2021
12 AY
@niw
02.04.2021
7 AY
02.04.2021
6 AY
02.04.2021
28 AY
03.04.2021
4 AY
04.04.2021
15 AY
05.04.2021
9 AY
05.04.2021
11 AY
05.04.2021
28 AY
08.04.2021
28 AY
09.04.2021
22 AY
09.04.2021
10 AY
09.04.2021
13 AY
10.04.2021
10 AY
12.04.2021
3 AY
13.04.2021
4 AY
13.04.2021
6 AY
13.04.2021
29 AY
14.04.2021
14 AY
14.04.2021
21 AY
16.04.2021
10 AY
17.04.2021
2 AY
18.04.2021
10 AY
19.04.2021
5 AY
SORU CEVAP LİNKLERİMİZ
@rymruyam --> Anne Olmak İsteyenler 👩‍👧‍👦🙏
@ZeynepYldr -->Anne Olmak İsteyenler 👩‍👧‍👦🙏
@Selin1998 --> Anne Olmak İsteyenler 👩‍👧‍👦🙏
@-Haziran- --> Anne Olmak İsteyenler 👩‍👧‍👦🙏
@minnikMucize
-->Anne Olmak İsteyenler 👩‍👧‍👦🙏
Kimyasal sonuçlandı :KK43:
@Kocasininprensesi93 --> Anne Olmak İsteyenler 👩‍👧‍👦🙏
@Mrvzkn --> Anne Olmak İsteyenler 👩‍👧‍👦🙏
@Deniz yazici --> Anne Olmak İsteyenler 👩‍👧‍👦🙏
Düşük ile sonuçlandı :KK43:
@Hirasarem --> Anne Olmak İsteyenler 👩‍👧‍👦🙏
@Okuyanse --> Anne Olmak İsteyenler 👩‍👧‍👦🙏
@masalkzz --> Anne Olmak İsteyenler 👩‍👧‍👦🙏
@medusasli -->Anne Olmak İsteyenler 👩‍👧‍👦🙏
Düşük ile sonuçlandı :KK43:
@Menekse moru -->Anne Olmak İsteyenler 👩‍👧‍👦🙏
@kzlrgn05-->Anne Olmak İsteyenler 👩‍👧‍👦🙏

@merve_1-->Anne Olmak İsteyenler 👩‍👧‍👦🙏 Düşük ile sonuçlandı :KK43:
@Nevai13-->Anne Olmak İsteyenler 👩‍👧‍👦🙏
@eczhnm--> Anne Olmak İsteyenler 👩‍👧‍👦🙏
@sbkt86 -->Anne Olmak İsteyenler 👩‍👧‍👦🙏
@Brctks -->Anne Olmak İsteyenler 👩‍👧‍👦🙏
@SnowySecret -->Anne Olmak İsteyenler 👩‍👧‍👦🙏
@Chern30 --> Anne Olmak İsteyenler 👩‍👧‍👦🙏
@Sudamlasii-->Anne Olmak İsteyenler 👩‍👧‍👦🙏
@minnikMucize--> Anne Olmak İsteyenler 👩‍👧‍👦🙏
@Ayse 2345 -->
Anne Olmak İsteyenler 👩‍👧‍👦🙏

@Nosking --> Anne Olmak İsteyenler 👩‍👧‍👦🙏
@istanbulsultani-->
Anne Olmak İsteyenler 👩‍👧‍👦🙏
@Okuranne-->Anne Olmak İsteyenler 👩‍👧‍👦🙏
@peygambercicegikokusu
--> Anne Olmak İsteyenler 👩‍👧‍👦🙏
@aybukee34 --> Anne Olmak İsteyenler 👩‍👧‍👦🙏
Dış gebelik ile sonuçlandı :KK43:
@Random33--> Anne Olmak İsteyenler 👩‍👧‍👦🙏 Kimyasal ile sonuçlandı :KK43:
@Takitoki --> Anne Olmak İsteyenler 👩‍👧‍👦🙏

@bitkiselhayat--> Anne Olmak İsteyenler 👩‍👧‍👦🙏
@mell_in_shell -->
Anne Olmak İsteyenler 👩‍👧‍👦🙏
@cennetimgel -->Anne Olmak İsteyenler 👩‍👧‍👦🙏
@Bilgi012 --> Anne Olmak İsteyenler 👩‍👧‍👦🙏
@Kedilervekitaplar--> Anne Olmak İsteyenler 👩‍👧‍👦🙏
@Sevgi0817 --> Anne Olmak İsteyenler 👩‍👧‍👦🙏

@LorenaEce -->Anne Olmak İsteyenler 👩‍👧‍👦🙏 Kimyasal ile sonuçlandı :KK43:
@blanco -->Anne Olmak İsteyenler 👩‍👧‍👦🙏
S sedanur4004 -->Anne Olmak İsteyenler 👩‍👧‍👦🙏
@serrabk--> Anne Olmak İsteyenler 👩‍👧‍👦🙏
@GeminiWoman --> Anne Olmak İsteyenler 👩‍👧‍👦🙏
@Hafize2511--> Anne Olmak İsteyenler 👩‍👧‍👦🙏
@goldies16-->Anne Olmak İsteyenler 👩‍👧‍👦🙏
Burayı yeni gördüm ne güzel grup anne olanları hep okuyacam yazdıklarını 😊beni de ekler misiniz buraya bat 14 Nisan 2.5 yıldır istiyorum. 🙈
 
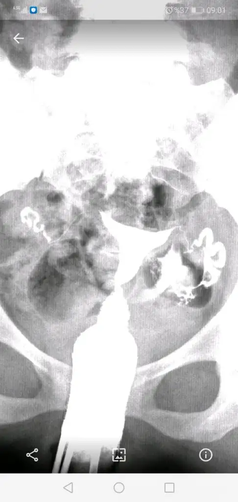
Doktorla konuştuk şimdi. Sol tamamen açık sıkıntı yok, sağda da yapışıklık varmış yüzde 90 ihtimalle açılmış. Sıkıntı görünmüyor geçiş var yani. Şuan hsg çeksek o da sıkıntısız çıkar yüksek ihtimal dedi. Emin olmak için laparoskopi yapabiliriz isterseniz ama bence 6 ay deneyin ben açıldığını düşünüyorum dedi. Bi de 1 ay korunun dedi ama ben korunmucam. Bu arada e nabızdan indirdiğim görüntü bu burda daha net görülüyor geçiş olduğu U Uzaygemisi35
 

Eklentiler

  • Screenshot_20210323_090144_com.mobisystems.fileman.webp
    Screenshot_20210323_090144_com.mobisystems.fileman.webp
    22,2 KB · Görüntüleme: 64
Son düzenleme:
Back
X