- 25 Haziran 2007
- 1.357
- 1.498
- 658
Çok geçmiş olsun canım. Allah acil şifalar versinSağolun aminkalın barısağından karın içine sızıntı olmuş canım
![]()
Aşağıdaki videoyu izleyerek sitemizi ana ekranınıza web uygulaması olarak nasıl kuracağınızı öğrenebilirsiniz.
Not: Bu özellik bazı tarayıcılarda mevcut olmayabilir.
Çok geçmiş olsun canım. Allah acil şifalar versinSağolun aminkalın barısağından karın içine sızıntı olmuş canım
![]()
Sahur olunca idrar örneği için ogleni bekleyeceğim. Biraz zaman geçsin diye sonucu paylaşırım.
çıkıyor canımTest için bat bir hafta geçsin öyle yapin diyor sitelerde. Bir gün geçse çıkmaz mı ki?
Ah ne güzel dediiiin19 mayısa +1'inle mi gireceksin yoksaaağ
Canım senin tüpteki yapışıklık rahim filmi ile açıldı mı peki?evet canım filmden sonraki 2. ayım sağ tüpümde yapışıklık varmış açmış doktor baya bakalım 3-4 ay korunmasız denicem sonrası allah kerim![]()
Çok geçmiş olsunKızlar dedem ameliyat oldu dualarınıza talibim yoğun bakıma aldılar şimdi![]()
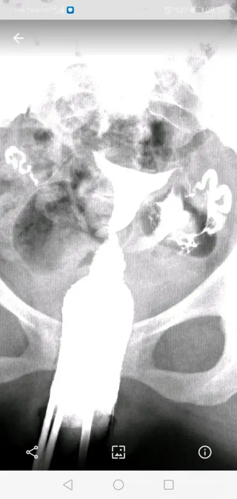
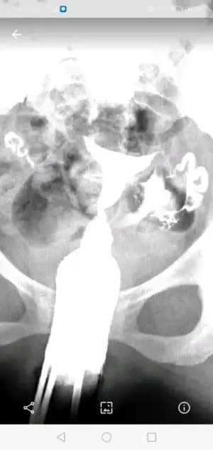
Canım bak 2 ve 3 ilk vuruşlardaki hali en baştaki de 4. Vuruştan sonra çekilen görüntü. Geçiş görünüyor ama açıldı mı bilmiyorum. Doktor lap a gerek yok şuan dedi. 4 ay sonra bi daha hsg çekilcem kendi isteğimleCanım senin tüptekş yapılıklık rahim gilmi ile açıldı mı peki?
Geçiş varsa açılmıştır kuzumCanım bak 2 ve 3 ilk vuruşlardaki hali en baştaki de 4. Vuruştan sonra çekilen görüntü. Geçiş görünüyor ama açıldı mı bilmiyorum. Doktor lap a gerek yok şuan dedi. 4 ay sonra bi daha hsg çekilcem kendi isteğimle
Umarım canım valla çoğu doktor sıkıntı yok yapışıklık varmış açılmış diyor instada bi kadına attım o da tam peritonel geçiş yok gibi falan dedi ama ben yine aşılamadan önce çekilcem hsg bi son hali ne durumda göreyimGeçiş varsa açılmıştır kuzum![]()
Açılmış canım geçmiş sıvı karın boşluğuna iki taraftan daCanım bak 2 ve 3 ilk vuruşlardaki hali en baştaki de 4. Vuruştan sonra çekilen görüntü. Geçiş görünüyor ama açıldı mı bilmiyorum. Doktor lap a gerek yok şuan dedi. 4 ay sonra bi daha hsg çekilcem kendi isteğimle
Umarım canım ben de öyle düşünmek istiyorumAçılmış canım geçmiş sıvı karın boşluğuna iki taraftan da
Evet o tarz şeyler etkiliyor benim de ölü doğum sonrası tıkanmış mesela doktor 3. Denemede açtı sag tüpü ve ben nedense hep sağdan yumurtluyirum solda hic yumurta olmuyor kist e dönüyor hemenUmarım canım ben de öyle düşünmek istiyorum1 yıl tek tüp ile uğraşmışım. Belki de sağdan yumurtladım çoğu zaman. Kimyasaldan sonra tıkandığını düşünüyorum
Gerek kalmadan bir an önce hamile kalırsın inşallahUmarım canım valla çoğu doktor sıkıntı yok yapışıklık varmış açılmış diyor instada bi kadına attım o da tam peritonel geçiş yok gibi falan dedi ama ben yine aşılamadan önce çekilcem hsg bi son hali ne durumda göreyim
Evet canım doğum kürtaj düşük kimyasal hepsi sebep olabiliyormuş yapışıklığa açıldığına göre tekrar kapanmaz bence canımEvet o tarz şeyler etkiliyor benim de ölü doğum sonrası tıkanmış mesela doktor 3. Denemede açtı sag tüpü ve ben nedense hep sağdan yumurtluyirum solda hic yumurta olmuyor kist e dönüyor hemeninşallah benim de kapanma durumu olmaz tekrar
İnşallah canım inşallaaaaahGerek kalmadan bir an önce hamile kalırsın inşallah![]()
Negatif çıktı.çıkıyor canım
Çok çok geçmiş olsun.Sağolun aminkalın barısağından karın içine sızıntı olmuş canım
![]()
Başınız sağ olsun. Allah rahmet eylesin. Size de geçmiş olsun. Yol olayı çok zor.gunaydın arkadaşlar. eşimin bı akrabası vefat etmıstı memlekete gıttık gece yarısı geldık cumartesı ogleden berı yollardayım 12 saat gıt gel mahvoldum vallahi. kızlar bıse sorcam sıze bana doktor lazım ama saat 6 dan sonra gıdebılcegm mesai saatı dısında calısan ısttanbul anadolu yakasında varmı bildiğiniz.
Hepimizin de aynı anda bozuldu. Nasıl iş anlamadım :/Hanımlar resmen döngüm bozuldu
Şaştım kaldımdaha bir hafta vardı. Kırmızılar geldi
minseo yeni BAT 15.05 güncelleyebilir misin