- 6 Nisan 2022
- 22
- 5
- 36
- 31
- Konu Sahibi Herseyguzelolacak17
-
- #1
Ayni yerlerden yaralanip ayni yollardan yurumusuz.. siz nerde ve hangi ameliyati oldunuz 2 yil olmus yani ameliyat olali hic pisman oldunuz mu? Bacagima beton atilmis gibi yuruyemiyorum artik... bana ameliyat olunca surekli tekrarlayacak falan diyen oldu psikolojim cok kotuGeçmiş mesajlarına baktım da bebek kaybın olmuş benimde oldu doğumda oksijensiz kaldığı için vefat etti kızım. Hamileliğimin 4. Ayında gelmişti fıtık o şekilde aylarca karnımda taşıdım lakin kucağıma bile alamadım çok kötü günler geçirdim. Sonra fıtık tabi gittikçe kötüleşti 2021 ağustos da doğum yaptım 2022 nisan da fıtık ameliyatı oldum keşke daha erken olsaydım pişmanım. Herkesin fıtığı bir değil kiminin ki atak dönemi gibi geliyor gidiyor, kimisi iğne ilaç kullanıyor gidiyor kiminde de yaş kaç olursa olsun gitmiyor ben 26 yaşında fıtık ameliyatı oldum.
Dediğim gibi kapalı açık mı ameliyat olduğumu bilmiyorum kesim 3 cmdi. Hayat kalitem sıfırdı yürüyerek Bi yere gidemiyordum, ev işleri ağlayarak yapıyordum mecburiyetten. Dezavantajları hep dikkat etmek zorundasın ağır kaldırırken eğilip kalkarken yatıp kalkarken. Mesela hala klozet kullanıyorum diğeri benim için zor geliyor. Ameliyattan sonra belli bir süre ağrılarım oldu mesela Benim sol ayağım parmaklarım aşırı derecede uyuşuktu onlar biraz devam etti 2 ay falan olduğunda komple bütün şikayetlerim bitmişti. Ameliyat olduğuma hiç pişman olmadım. 10 günün sonunda Bi yemeğini yapacak kadar iyi oluyorsun hatta evi bile süpürür sün kendini hırpalamadan ama en az 1 ay dinlenmende fayda var yanında biri olması iyi olur. Sol bacaktan ameliyat oldum ben. Solla bir sıkıntım yok bazen benim sağ bacağım ağrıyor ama doktor fıtık yok dedi. Bilmiyorum neyden ağrıyor. Kaç yaşındasın. Kaç kilosun ve fıtığın L kaçta bilyor musunAyni yerlerden yaralanip ayni yollardan yurumusuz.. siz nerde ve hangi ameliyati oldunuz 2 yil olmus yani ameliyat olali hic pisman oldunuz mu? Bacagima beton atilmis gibi yuruyemiyorum artik... bana ameliyat olunca surekli tekrarlayacak falan diyen oldu psikolojim cok kotu
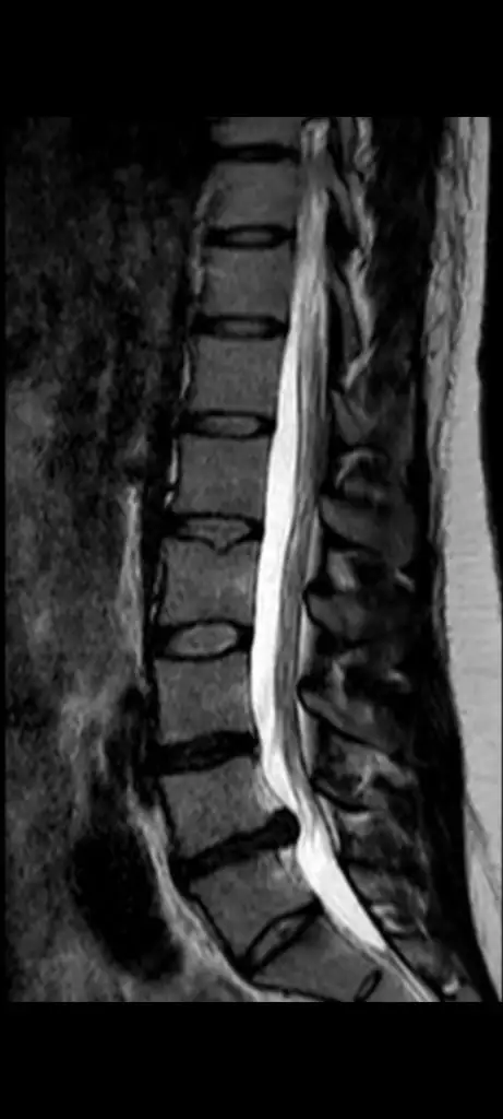
30 yasindayim 75 kiloyum l4 l5 te fitik ve baya buyuk patlamak uzere denildi. Size foto yolluyorum ayni yerde miydi sizinde? Bacaktan neden ameliyat oldunuz orayi anlamadim?Dediğim gibi kapalı açık mı ameliyat olduğumu bilmiyorum kesim 3 cmdi. Hayat kalitem sıfırdı yürüyerek Bi yere gidemiyordum, ev işleri ağlayarak yapıyordum mecburiyetten. Dezavantajları hep dikkat etmek zorundasın ağır kaldırırken eğilip kalkarken yatıp kalkarken. Mesela hala klozet kullanıyorum diğeri benim için zor geliyor. Ameliyattan sonra belli bir süre ağrılarım oldu mesela Benim sol ayağım parmaklarım aşırı derecede uyuşuktu onlar biraz devam etti 2 ay falan olduğunda komple bütün şikayetlerim bitmişti. Ameliyat olduğuma hiç pişman olmadım. 10 günün sonunda Bi yemeğini yapacak kadar iyi oluyorsun hatta evi bile süpürür sün kendini hırpalamadan ama en az 1 ay dinlenmende fayda var yanında biri olması iyi olur. Sol bacaktan ameliyat oldum ben. Solla bir sıkıntım yok bazen benim sağ bacağım ağrıyor ama doktor fıtık yok dedi. Bilmiyorum neyden ağrıyor. Kaç yaşındasın. Kaç kilosun ve fıtığın L kaçta bilyor musun
Evet aynı yerde büyüklükleri de hemen hemen aynı gibi. Bacaktan oldum derken fıtık sol bacağıma vuruyordu. Soldaki sinire bası mevcuttu. Zayıflamının fıtığa iyi geldiğini söylüyorlar ama dediğim gibi ben ameliyat olmanızı öneririm eminim Ankarada iyi doktorlar vardır30 yasindayim 75 kiloyum l4 l5 te fitik ve baya buyuk patlamak uzere denildi. Size foto yolluyorum ayni yerde miydi sizinde? Bacaktan neden ameliyat oldunuz orayi anlamadim?
Evet aynı yerde büyüklükleri de hemen hemen aynı gibi. Bacaktan oldum derken fıtık sol bacağıma vuruyordu. Soldaki sinire bası mevcuttu. Zayıflamının fıtığa iyi geldiğini söylüyorlar ama dediğim gibi ben ameliyat olmanızı öneririm eminim Ankarada
Bir de ameliyattan sonra hayatinizda ne degisti? Mesela surekli egzersiz vs. Yapmak gerekiyor degil mi? Korse kullandiniz mi?Evet aynı yerde büyüklükleri de hemen hemen aynı gibi. Bacaktan oldum derken fıtık sol bacağıma vuruyordu. Soldaki sinire bası mevcuttu. Zayıflamının fıtığa iyi geldiğini söylüyorlar ama dediğim gibi ben ameliyat olmanızı öneririm eminim Ankarada iyi doktorlar vardır
Yok valla hiç eğzersiz yapmadım yapmıyorum. Korse de hiç kullanmadım benim doktor gerek görmedi. Değişen şey en çok ağır kaldırmak oldu çamaşır sepeti falan kaldırmadım bişeyleri kaldırmak zor oluyor. Kucakta elde taşımak belime aşırı rahatsızlık veriyorBir de ameliyattan sonra hayatinizda ne degisti? Mesela surekli egzersiz vs. Yapmak gerekiyor degil mi? Korse kullandiniz mi?
Tesekkur ederim tum cevaplariniz icinYok valla hiç eğzersiz yapmadım yapmıyorum. Korse de hiç kullanmadım benim doktor gerek görmedi. Değişen şey en çok ağır kaldırmak oldu çamaşır sepeti falan kaldırmadım bişeyleri kaldırmak zor oluyor. Kucakta elde taşımak belime aşırı rahatsızlık veriyor
Twsekkur ediyorum hoca bulduk bakalim insallah sifa bulurum kalici olarakAmeliyat olun ve kurtulun ameliyattan sonra iyiki diyeceksiniz allahın izniyle çok geçmiş olsun
Geçmiş olsun ameliyat oldunuz mu? Hangi şehir acabaTwsekkur ediyorum hoca bulduk bakalim insallah sifa bulurum kalici olarak
Merhabalar. Son durumunuz nedir acaba. Ameliyat oldunuz mu nasılsınızHerkese merhaba arkadaslar. Buyuk bir fitigim var sinire cok basiyir kisaca patlamak uzere. O kadar yiprandim ki... 15 aylik bebegim var kucak istiyir yasak falan.. bublar kendi icinde cok sorun ama. Ameliyat onermedikleri halde benim fitigim patlayacak ve ameliyat gerekecek diye kapali amrliyat onerenler oldu. Fitigi patlasa da ameliyat olmadan yasayanlar da varmis. Fakat benim bacagim kalcam oyle agriyorki muhtemelen patlayinca bacagimi hissetmeyecegim o bolgeye bastiriyor cunku. Kafam cok karisik, moralim cok bozuk... bu ameliyati olan var mi? Yuruyememek cocugumu oyle birakmak gece uyumamak yatamamak beni yordu..
Çok çok geçmiş olsun.Aynı durumda gelinimiz vardır.İzmirde manuel terapist bişr doktor var Halil akşit.Mucize gibi bir seansta ne ağrı kaldı ne şikayet.Ona da kesinlikle ameliyat demişlerdi.Bri araştırın isterseniz.Annemde de çok fayda aldık.O kadar mucize gibi geldi ki bize gelinimizde,ameliyatta tehlikeli biliyorsunuz .O yüzdem herkese öneriyorum .Acil şifanız olsunHerkese merhaba arkadaslar. Buyuk bir fitigim var sinire cok basiyir kisaca patlamak uzere. O kadar yiprandim ki... 15 aylik bebegim var kucak istiyir yasak falan.. bublar kendi icinde cok sorun ama. Ameliyat onermedikleri halde benim fitigim patlayacak ve ameliyat gerekecek diye kapali amrliyat onerenler oldu. Fitigi patlasa da ameliyat olmadan yasayanlar da varmis. Fakat benim bacagim kalcam oyle agriyorki muhtemelen patlayinca bacagimi hissetmeyecegim o bolgeye bastiriyor cunku. Kafam cok karisik, moralim cok bozuk... bu ameliyati olan var mi? Yuruyememek cocugumu oyle birakmak gece uyumamak yatamamak beni yordu..
Sizde amelyattan sonra sol yan agrisi yanma sanci gibi bi durum.oldumu acabaDediğim gibi kapalı açık mı ameliyat olduğumu bilmiyorum kesim 3 cmdi. Hayat kalitem sıfırdı yürüyerek Bi yere gidemiyordum, ev işleri ağlayarak yapıyordum mecburiyetten. Dezavantajları hep dikkat etmek zorundasın ağır kaldırırken eğilip kalkarken yatıp kalkarken. Mesela hala klozet kullanıyorum diğeri benim için zor geliyor. Ameliyattan sonra belli bir süre ağrılarım oldu mesela Benim sol ayağım parmaklarım aşırı derecede uyuşuktu onlar biraz devam etti 2 ay falan olduğunda komple bütün şikayetlerim bitmişti. Ameliyat olduğuma hiç pişman olmadım. 10 günün sonunda Bi yemeğini yapacak kadar iyi oluyorsun hatta evi bile süpürür sün kendini hırpalamadan ama en az 1 ay dinlenmende fayda var yanında biri olması iyi olur. Sol bacaktan ameliyat oldum ben. Solla bir sıkıntım yok bazen benim sağ bacağım ağrıyor ama doktor fıtık yok dedi. Bilmiyorum neyden ağrıyor. Kaç yaşındasın. Kaç kilosun ve fıtığın L kaçta bilyor musun
aybyebi gördüm kusura bakmayın oldum ve hayatımın hatası oldu diyebilirim 2 ay sonra aynı oldu ve şu an olalı 10 ay oluyor yine aynıyım fizik tedavi alıyorımMerhabalar. Son durumunuz nedir acaba. Ameliyat oldunuz mu nasılsınız
ben böyle mucizelere çok inanamıyorum ya doğru mu gercektenÇok çok geçmiş olsun.Aynı durumda gelinimiz vardır.İzmirde manuel terapist bişr doktor var Halil akşit.Mucize gibi bir seansta ne ağrı kaldı ne şikayet.Ona da kesinlikle ameliyat demişlerdi.Bri araştırın isterseniz.Annemde de çok fayda aldık.O kadar mucize gibi geldi ki bize gelinimizde,ameliyatta tehlikeli biliyorsunuz .O yüzdem herkese öneriyorum .Acil şifanız olsun
We use cookies and similar technologies for the following purposes:
Do you accept cookies and these technologies?
We use cookies and similar technologies for the following purposes:
Do you accept cookies and these technologies?