Kese ve kese boyu

5+6 kalp atışı duymak için erken.
Duymasakta benim hareketleri görmem gerekiyordu dedi doktor işte buna çok üzüldüm. Etrafımda hep 7 hafta civarı duyanlar ağırlıklı. Halbuki 21 Ekim'de gittiğimde geç döllenme ihtimalinden bahsetmişti. Bilmiyorum çok endişeliyim
 
İyi akşamlar hanımlar benimde sat 16 Eylül 1 kasımda 6+4 haftalıkken gittim dra daha kese yeni oluşmaya başlıyor dedi embriyo,yolk saç daha hiç biri yok kese boyutu 0,76cm yazıyor 1 hafta sonrası için tekrar çağırdı sonuç ne olacak bilemiyorum ama haftasına göre kesenin yeni başlaması hiç olumlu gelmedi bana var mı böyle birşeyle karşılasan
 
Dün kan verdim 4043 çıktı bugün doktora gittim kesem gözüktü, cuma tekrar idrara sıkışıp gel dedi sizce normal mi
 
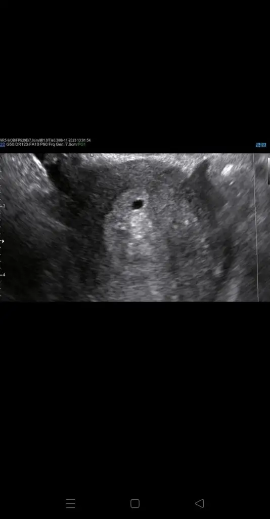
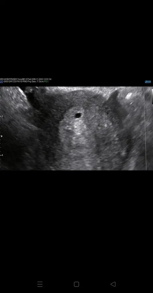
Merhaba arkadaşlar ben bugün çok stresli bir gün geçirdim. İki kez dış gebelik yaşayan birisi olarak herzaman gittiğim özel doktoruma gittim.ilk gittiğimizde keseyi vajinada gördü. üç gün sonra gittiğimizde karnimdan gördüğünü çok küçük dediğini bir üç gün sonra tekrar gelmemi istedi.biz eşimle gittik bugün baktığında karnımda bana bu kese nerede dedi sonra ufak birşey gördüğünü fakat bu arama uzun bir süreçte oldu sagliksiz bir gebelik dedi. Siz bugün ve iki gün sonra beta HCG değeri verin dedi düşerse kürtaj yaparız dedi. Eşim bu işte başka birşey var deyip bir baska doktora götürdü. Doktorumuz diğer doktorun yapmadigi kontrolleri yaptı eski doktora kalsak kürtaj olacaktım iki gün sonra eşim sayesinde gittiğim doktor kese güzel oluşmuş ne bir kanama nede başka birşey var dedi ama kese boyutunu bilmemekle beraber bu doktor rahatça gördü. Fakat bebek içinde yoktu. Haftaya gideceğim doktora .şimdi burada okudum 6 yada 9 hafta içinde bebek görünebilir diye doğrumu ? Ayrıca bugün beta HCG değerim 8345 beş haftalık degerim buraya kese goruntum de attim
 

Eklentiler

  • Screenshot_2023-11-08-16-22-19-22_6012fa4d4ddec268fc5c7112cbb265e7.webp
    12,9 KB · Görüntüleme: 273
Merhaba arkadaşlar ben bugün çok stresli bir gün geçirdim. İki kez dış gebelik yaşayan birisi olarak herzaman gittiğim özel doktoruma gittim.ilk gittiğimizde keseyi vajinada gördü. üç gün sonra gittiğimizde karnimdan gördüğünü çok küçük dediğini bir üç gün sonra tekrar gelmemi istedi.biz eşimle gittik bugün baktığında karnımda bana bu kese nerede dedi sonra ufak birşey gördüğünü fakat bu arama uzun bir süreçte oldu sagliksiz bir gebelik dedi. Siz bugün ve iki gün sonra beta HCG değeri verin dedi düşerse kürtaj yaparız dedi. Eşim bu işte başka birşey var deyip bir baska doktora götürdü. Doktorumuz diğer doktorun yapmadigi kontrolleri yaptı eski doktora kalsak kürtaj olacaktım iki gün sonra eşim sayesinde gittiğim doktor kese güzel oluşmuş ne bir kanama nede başka birşey var dedi ama kese boyutunu bilmemekle beraber bu doktor rahatça gördü. Fakat bebek içinde yoktu. Haftaya gideceğim doktora .şimdi burada okudum 6 yada 9 hafta içinde bebek görünebilir diye doğrumu ? Ayrıca bugün beta HCG değerim 8345 beş haftalık degerim buraya kese goruntum de attim
 

Eklentiler

  • Screenshot_2023-11-08-16-22-19-22_6012fa4d4ddec268fc5c7112cbb265e7.webp
    12,9 KB · Görüntüleme: 158
Ben de aynı durumdayım 5+4 teyim bugün bakıldı kese var sadece kese boyutu 0.74 cm
 

Merak ettiğim ne durumdasınız kist ne oldu ?
 
Bu siteyi kullanmak için çerezler gereklidir. Siteyi kullanmaya devam etmek için onları kabul etmelisiniz. Daha Fazlasını Öğren.…