Kızım bisikletten düştü😞😞

Gulbahar Adgzl

Üye
Anneler Kulübü
Kayıtlı Üye
30 Ağustos 2024
40
-3
6
24
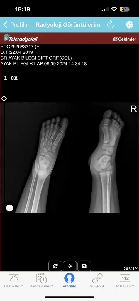
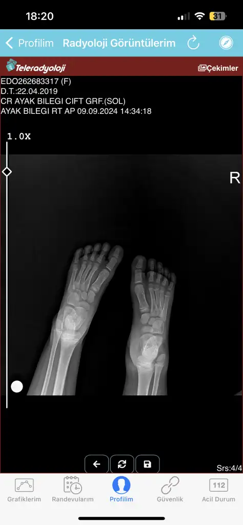
Merhaba benim kızım 4 gün önce bisikletten düştü ve ayağı yaralandı şişti doktora götürdüm doktor röntgen çekti röntgende pek bir şey görünmedi pansuman yapıp yolladılar iki gün sonra yani bugün pansumanını açtım ayağı daha kötü olmuş ve şişmişti kesinlikle üstüne basamıyor ve dokun durmuyor bugün yine gittim röntgen ve tomografi çekti tomografi raporunu ve röntgeni ekliyorum acaba anlayan bilen var mı bilen varsa yazabilir mi rica etsem ayağı çok kötü durumda çünkü korkuyorum bir şey olur diye
 

Eklentiler

  • 81ADA112-CCF8-4CBE-A39A-8513181969D6.webp
    21,6 KB · Görüntüleme: 290
  • C8E73385-419B-420F-BA38-0DA7A2A8079E.webp
    19,9 KB · Görüntüleme: 254
  • BC9B00F0-7BE0-4FCB-934A-3610EB5C25D8.webp
    18,1 KB · Görüntüleme: 248
  • D6DD7927-DC81-451D-A612-F660F3B2EB02.webp
    17,9 KB · Görüntüleme: 333
  • 3D7320BD-C6AA-4D90-8674-E5E3180493D4.webp
    19,5 KB · Görüntüleme: 239
  • F726DEAD-B52C-43D0-A6CD-FE567D912C87.webp
    25,5 KB · Görüntüleme: 224
  • B78CFDC2-02AF-4E10-A900-C5B6A59550AB.webp
    17,5 KB · Görüntüleme: 214
  • 278C94DC-0035-4108-B3DB-8D4206135F42.webp
    25,3 KB · Görüntüleme: 213
  • 863B0ECD-A280-4464-AD85-18C3D97A1A36.webp
    20,4 KB · Görüntüleme: 216
  • 362F09F2-94DB-47F7-B086-B4CD2F707B96.webp
    21,6 KB · Görüntüleme: 204
  • B8CA7D7A-9E1B-41A0-A566-690AD447A858.webp
    31,1 KB · Görüntüleme: 230
Ödem oluşmuş bu da şişlik ve ağrı yapıyordur..Yani uzman değilim okuduğum kadariyla
 
Bir bilgim yok ama odemde ağrı yapar. Bir kaç ay önce eşim arabayi park ederken ayağımın üzerinden geçti. Önce siyahlık oluştu ayağımda daha sonrasinda tüm ayağıma hatta diz kapagima kadar sıçrayan bir ağrı oldu. Her adım attigimda canım yanıyordu. Rontgende birşey çıkmadı ama MR sonucunda ezilmeyeden dolayı ödem olustugu çıktı ortaya. Ödeminde fena bir ağrısı var Umarım kızınızda ciddi birşey yoktur
 
Kızımın dizi şişmişti üzerine basamiyor topalliyordu dokundurmuyordu Doktor muayene etti biseyi yok dedi. Yalnız bariz belliydi bı dizi daha asagidaydi. Doktorlar anlamıyor çıkığı.Röntgen çektirip birşey olmadığından emin olunca Çıkıkciya gösterdik. Dizi çıkmış ödem toplamış. Ağrısı da varmış. Takınca dizini bı haftaya ödemi dağıldı ,ağrısı geçti . Bişey olmadığını söylerlerse muhakkak bı çıkıkciya gösterin derim. Kadın masaj yapar gibi ovup hemen taktı öyle korkulcak bişey değil. Güvenilirse korkmayin
 
İnşAllah ya bakalım ne dilek ona göre bakıcam artık
 
İnşAllah çok teşekkür ederim
 
Kirik yok, catlak da yok, yumuşak doku zedelenmesi var. O da oldukca agri yapar cok yasamisligim var.

Agri kesici kullanmasi gerekebilir.
 
Ortopedist nasıl anlamaz çıkığı? Konu sahibi sakın bu yoruma bakıp ne idüğü belirsiz yerlere götürmeyin çocuğu. Sakat bırakırlar Allah korusun.
 
Çıkıkçıya falan götürmeyin çocuğu yanlış birşey yaparda sakat bırakır Allah korusun. Yinede emin olmak için bir doktora daha götürün ama kırık çıkık yok deniyorsa yoktur. Yeni düşmüş acıması, basamaması çok normal arkadaşların dediği gibi ödem olmuştur.
 
Ortopedist nasıl anlamaz çıkığı? Konu sahibi sakın bu yoruma bakıp ne idüğü belirsiz yerlere götürmeyin çocuğu. Sakat bırakırlar Allah korusun.
Anlamadı hanfendi yalanmi.soylucem. bariz diz kapagi diğerine göre asagidaydi yok biseyi dedi sedyeden çocuğu aşağı indirdiginden bile çocuk hâlâ ayaginn üzerine basamadi topalliyordu. Gün geçtikçe şişti Rastgele gidipte gösterin demedik herhalde çocuk bu. Bende korka korka gittim yalnız çıkikmis iyileşti. Elbette önce doktora gösterecek bişey yok der şişlik ağrı geçmezse diye yaşadığımızı yazdım uydurmuyoruz
 
Son düzenleme:
Bu siteyi kullanmak için çerezler gereklidir. Siteyi kullanmaya devam etmek için onları kabul etmelisiniz. Daha Fazlasını Öğren.…