Kese var mıydı ultrasonda kese ve yolk sac varsa zaten bebek için 2 hafta sonra çağırıyor doktor benim kese bile beta 7bin kusurlarda iken görüldüMerhaba arkadaşlar yeni katildim araniza lutfen bana yardim edin ben farkli gunlerde 8 9 tane test yaptim pozitif beta hcg bu gun 4124 cikdi ama 3 gun once ultrasonda bebek gorunmedi bana 2 hafra sonra bir daha geleceyimi soyledi son adetim 12 ekim,başina gelen varmi lutfen yardim edin
Hayir kanama falan yok cok şukur şimdi bu çoçuk 9 haftalikmi 5 haftalikmi hesaplanicak? Kafamda elli bin sorugec döllenme olabilir. sancı ve kanamanız yoksa bekleyin.
ultrasondaki görüntüye göre bakılacak haftasına. gec döllenme durumlarında son regl gününe göre hesaplanmıyor.Hayir kanama falan yok cok şukur şimdi bu çoçuk 9 haftalikmi 5 haftalikmi hesaplanicak? Kafamda elli bin soru
Hic bir şey soylemiyorlar sadece git 2 hafta sonra birde gel dediler iki farkli ultrasonda ayni soyledi ama bir tanesi cok kucuk bir şey gordum ama bebekmi degilmi kesin tani koyamam dediKese var mıydı ultrasonda kese ve yolk sac varsa zaten bebek için 2 hafta sonra çağırıyor doktor benim kese bile beta 7bin kusurlarda iken görüldü
Beta hcg ye gore hamilemiyim şimdi ben?ultrasondaki görüntüye göre bakılacak haftasına. gec döllenme durumlarında son regl gününe göre hesaplanmıyor.
evet hamilesinizBeta hcg ye gore hamilemiyim şimdi ben?
Kese yeni oluşuyordur içini ferah tut geç döllenme olmuştur sana ultrason görüntüsü verildiyse atarsan bakabiliriz kese görünümü var mı diye olumsuz bişey olsa doktorlar acımasızca söylüyorlar umut vermiyorlar iki hafta beklemek istediyse oluşum vardır diye düşünüyorumHic bir şey soylemiyorlar sadece git 2 hafta sonra birde gel dediler iki farkli ultrasonda ayni soyledi ama bir tanesi cok kucuk bir şey gordum ama bebekmi degilmi kesin tani koyamam dedi
kese 3000 ken gözükür seninki üç gün önce bu değere ulaşmadığı için görünmemiştir ama bugünkü değerine göre görülürdü keşke bugün baktırsaydın için rahat ederdiMerhaba arkadaşlar yeni katildim araniza lutfen bana yardim edin ben farkli gunlerde 8 9 tane test yaptim pozitif beta hcg bu gun 4124 cikdi ama 3 gun once ultrasonda bebek gorunmedi bana 2 hafra sonra bir daha geleceyimi soyledi son adetim 12 ekim,başina gelen varmi lutfen yardim edin
Baktirmaya korktum ultrason bir şey yapar diye doktorun dedigi vakti bekliycem artk o vakte kadar icim icimi yemese tabikese 3000 ken gözükür seninki üç gün önce bu değere ulaşmadığı için görünmemiştir ama bugünkü değerine göre görülürdü keşke bugün baktırsaydın için rahat ederdi
Buraya resim nasil atilir bilmiyorumki şimdi katildimKese yeni oluşuyordur içini ferah tut geç döllenme olmuştur sana ultrason görüntüsü verildiyse atarsan bakabiliriz kese görünümü var mı diye olumsuz bişey olsa doktorlar acımasızca söylüyorlar umut vermiyorlar iki hafta beklemek istediyse oluşum vardır diye düşünüyorum
Acaba resim geldimi bi bakarmisinizkese 3000 ken gözükür seninki üç gün önce bu değere ulaşmadığı için görünmemiştir ama bugünkü değerine göre görülürdü keşke bugün baktırsaydın için rahat ederdi
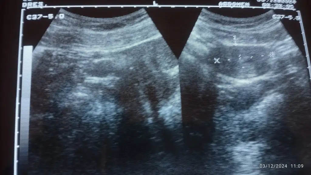
Bu ilk gitdiğimAcaba resim geldimi bi bakarmisiniz
Kese görünümü var canım inşallah sağlıkla yolk sac ve bebeği kalp atışlarını görürsün 2 hafta sonra merak etmeAcaba resim geldimi bi bakarmisiniz
İşaretlenmiş zaten bı artıdan diğerine olan kısım bebişin kesesi sağlıkla gelsin minikAcaba resim geldimi bi bakarmisiniz
Bunlarda testlerim dun yaptim bu arada Azerbaycanliyim ben doktorlar burda beni o kadar korkuttuki ne yapacagimi bilemedimKese görünümü var canım inşallah sağlıkla yolk sac ve bebeği kalp atışlarını görürsün 2 hafta sonra merak etme
Bana neden hamilelik yok dediler yaİşaretlenmiş zaten bı artıdan diğerine olan kısım bebişin kesesi sağlıkla gelsin minik
Ne kadar adet gecikmeniz olduBana neden hamilelik yok dediler yacok korkmuşdum
We use cookies and similar technologies for the following purposes:
Do you accept cookies and these technologies?
We use cookies and similar technologies for the following purposes:
Do you accept cookies and these technologies?