Zirkonyum kaplama yapılıyor bu dişler adam olur mu sizce? (resimli)

Sinem Hanım merhaba ,
İnternette zirkonyum diş hakkında yorum araştırması yaparken, bu sitede açmış olduğunuz başlığa rastladım. Tüm yazdıklarınızı okudum. Sanırım siz , 2011 yılında dişlerinizi yaptırmışsınız.Benimde dişlerimde sizin eski dişlerinize benzer bir yamukluk var , tel taktırmamak için hep savaştım. Şu an 24 yaşındayım , şimdiden sonra da hiç bir şekilde tel düşünmüyorum. Zirkonyum hakkında doktor ile görüştüm. Beni yaptırmaya ikna etti diyebilirim fakat korkularım var. Siz şu an memnun musunuz ? önerir misiniz ? Sakıncası yok ise , sizin de yorumlarınızı almak isterim.
Şimdiden teşekkür ederim.
 
Bikac gün once dişlerime zirkon köprü yaptrdm şuan dişlerimde gecici protezlerm var ( veee peltek konusuyorum eskisinden de daha kötü oldum Tavşan dişli oldumm bunlar bi ömür boyu böyle mi olcak ( sizde de s lerde sorun oldu mu?? Lütfen yaptıranlar bişey soylesin kalıcı protezde de aynı sorunu yasayacak miyim :'((
 
Cuma günü on 4 dislerim kesildi ve geciciler takildi ve çok kaba iri bide bu geciciler midemi bulandiriyo rahat degil ondislerim gercekten çok kotuydu yoksa asla kalkismazdim acaba zirkon yaptiriyom zirkonlarda bu kadar kötü olurmu kafam cok bozuk yardım
 
Aynı şikayetler bende de var peki sen s leri söyleyebiliyo musun canım

Evet söylüyorum s leri konusmami etkilemedi ama hala alisamadim çok tuhaf ya bu sefer korku kaplıyor insanı gerci doktorum dedi bu gecici aldanma daha güzel olcak konusman duzelir bi zaman sonra alisinca çok kişide oluyo ama düzeliyor
 

inşallah ya bnmde geçiciler çok kötüü benim ağız yapım küçük, geçiciler çok büyük geliyor ağzıma göre kısmetse haftaya bitcek bütün işlemler inşallah sonunda mutlu oluruzz
 
inşallah ya bnmde geçiciler çok kötüü benim ağız yapım küçük, geçiciler çok büyük geliyor ağzıma göre kısmetse haftaya bitcek bütün işlemler inşallah sonunda mutlu oluruzz

İnşallah sonu güzel olur benimde agiz yapim küçük bide dudsklar ince direk dişler firliyo ama artık bu gecicilerden midem bulaniyo off hayırlısı artık
 
geçici dişlerin yapılacak olan zirkonyumla hiç bir alakası yok.o sadece kesilen dişleri dış etkenlerden korumak için.
 
geçmiş olsuan arkadaşlar umarım istediğiniz gibi sonuç çok güzel olur. bende ön dişlerimi lamine yada zirkonyum düşünüyorum ama çok karasız kaldım doğal olmamasından korkuyorum. lütfen işlemleriniz bitince güzel dişlerinizi bizimle paylasın...
 
merhaba dişlerimin resmini buraya eklemek istiyorum nasıl ekleyebilirim bulamadım

canım konuya cevap ver i tıklıyorsun açılan pencerenin altında eklenti ekle var onu tıklıyorsun yeni bir pencere açılıyor üst sağ köşede dosya ekle var. merakle bekliyoruz resimleri:)
 
dünya çapında tüm ünlüler ve sanatçılar dişlerini kaplama yaptırıyor. bukadar kötü birşey olsaydı ekran önündeki insanlar tel takardı öyle bir anlatılıyor ki insanlar çarpık dişlerle gezdiğine şükredecek nerdeyse.
 
Arkadaşlar mrb.bende dişlerimi zirkonyum kaplama yaptırıyorum.ödemesini yaptım işlemlere henüz başlanmadı.sadece ağız ölçümü aldı.diş kalıbını pztsi çıkardıktan sonra hayırlısıyla başlicaz
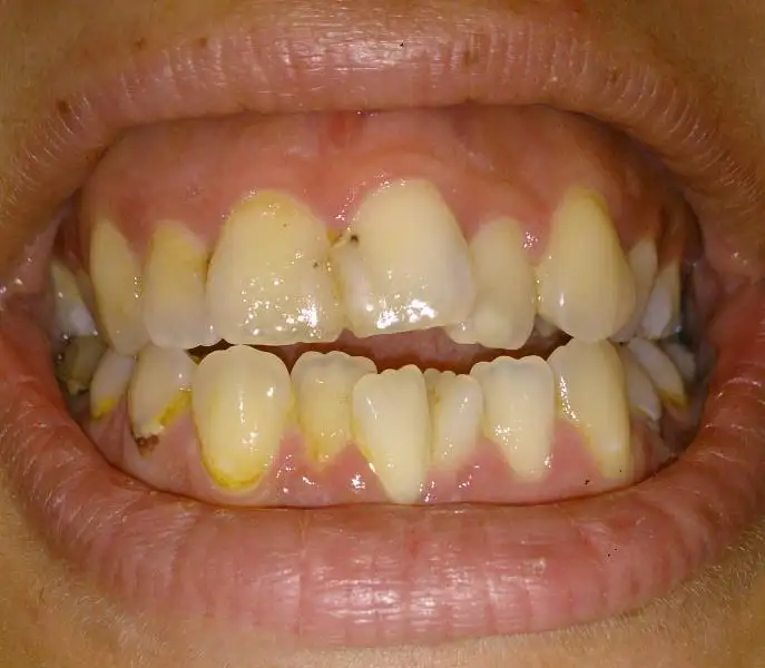
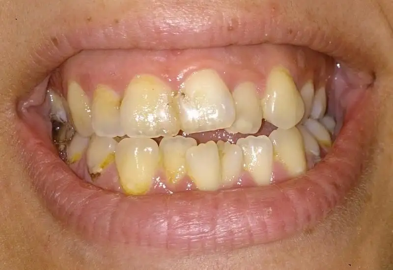
Dişlerim çok çarpık olduğu için bi iki tanesini çekmek zorunda kalıcak boşluk açmak için.kaymalar flnda var kanal tedavisine gidicekmiş bir diştede.dişler çekildikten yeri iyileştikten on 15 gün sonrada kesme işlerine başlicakmış.kaplamalar ozaman olucakmış.geçicilerle idare edicekmişim.alttan 8 üstten 6 olmak üzere 14 dişi 6.600e yaptırıyorm.çekimler ve kanal tedavisi içinde.bide en arkada kaplama dişim düşmüştü.onuda porselen olarak kendisi yapıcak.fiyat tabiki tuzlu ama bnm işlemlerimde gerçekten çok zahmetli.ve arkadaki dişleriminde ahı gitmiş vahı kalmış durrumda param olsaydı onlarıda yaptırıcaktm.o dişlerde en arkadakilerde siyah dolgular var.onların dolgularını işlemleri. Bittikten sonra diş hastanesinde bedavaya yaptırmayı düşünüyorm.yada durum el verirse aynı yere yaptırım.yalnız bişi sorucam ben 14diş yaptırıyorm toplamda üstteki 6dişimin yanındakiler daha sarartılı kalıcak.diğerleriyle uyum sağlasınlar die beyazlatma işlemi yapmıyorlarmı doktorlar ücretsiz yada ufak çaplıda olsa tek seanslık kadar bi işşlem olması gerekmezmi
 
buarada arkadaşlar dişlerim tamamen bu şekilde.altlı üstlü katledilmiş gibi..kesim çekilme geçici bütün aşamaları buraya koyucam.bu resimlere nazaran bnmkisinden berbatını burda görmedim.beterin beteri ben oluyorum
 



canım zirkonyum mu yaptıracaksın sen?

bu arada bende konudaki tüm yorumları okudum. benim ön dişlerim çok ayrık. 6 dişimi birden zirkonyum yaptırmayı düşünüyorum. Ne yazık ki antepdeyim. Kızlar Antepte bildiğiniz bir hekim var mı benimde psikolojim çok bozuk. dışarıya bile çıkamıyorum:26:
 
İnşallah canım ya yarın son provam var büyük ihtimalle haftaya takilcak

dişlerinizin son halini resimleyip koyabilirmisiniz ?? bnde dişlerimi yaptırmaya karar verdim.ölçü falan aldı.pazartesi başlicak,çok heyecanlanıyorum şu halinden kurtulacağım için :) bide bişidicem bu geçiciler ağızda ne kadar kalıyor ?
 
Bu siteyi kullanmak için çerezler gereklidir. Siteyi kullanmaya devam etmek için onları kabul etmelisiniz. Daha Fazlasını Öğren.…