• Merhaba, Kadınlar Kulübü'ne ÜCRETSİZ üye olarak yorumlar ile katkıda bulunabilir veya aklınıza takılan soruları sorabilirsiniz.

20'lik ve gömük Dişlerle ilgili paylaşım alanı

kızlar alttaki dişimi çektireli bugun tam 7. günüm şişi indi ama agrısı hala devam ediyor .benim dişim üste dogru degilde paralel ve kemiğin içindeymiş.
şuan agrı kesicinin etkisi geçti ve felaket sızlamaya başladı normalmidir acaba:(
 
benim de şuan yanağım şiş ve özellikle yazmak istedim kızlar kesinlikle dişçiden korkup sağlığınızı ihmal etmeyin. bu benim 2. 20 lik diş ameliyatım diğeri de sorunluydu ağrı yapıodu bu dişim de yan çıkmıştı. ikisinden de bir ay arayla kurtuldum.. küçük bi sivri ıssırığı gibi iğneden sonra zaten herhangi bir acı hissetmiyorsunuz, işlem bittikten sonra doktorun dediklerini yapıp bir de ilaçları düzenli alınca hiçbir problem olmuyorr, ben gülerek oturdum o koltuğa kalkarken de gayet neşeliydim, sağlığınız önemli olan, hem bu dilden dile dolaşan bir korku. Gercekten korkulcak hiç bişi yok :34:
 
benimde sol çene dişim gömük ve sizler gibi netten videoyu izledim moralim bozuldu. çok korktum ama felaket ağrı yapıyor. daha önce 20 lil diş çektirmiştim ama bunun gibi gömük değildi bi kaç saniyede kurtulmuştum.
ankarada tavsiye edebileceğiniz bi yer varmı acaba?
 
benimde sol çene dişim gömük ve sizler gibi netten videoyu izledim moralim bozuldu. çok korktum ama felaket ağrı yapıyor. daha önce 20 lil diş çektirmiştim ama bunun gibi gömük değildi bi kaç saniyede kurtulmuştum.
ankarada tavsiye edebileceğiniz bi yer varmı acaba?

Canım ben ilk dişimi mayıs ayında gatada çektirmiştim,hatta bu sayfaya da yazdım ama gerilerde kaldı yazdığım.Sadece iğnenin acısını hissetmiştim ve çok korkarım ben iğneden de dişçiden de.Sonra 5 dk sürdü işlem,dişim gömülüydü.Ama ben çekime gitmeden 10 gün boyunca antibiyotik yuttum diş için,ağız gargarası yaptım dişimi hazırladım yani çekime.Ama gatada tanıdığımız vasıtasıyla gitmiştim,ücret alınmadı o yüzden.Şimdi kendim gideceğim çünkü sol alt ağrıyor ve daha önce tecrübem olmasına rağmen yine korkmaya başladım ve dişçi arıyorum kendime.İyi bir yer tavsiye edecek olan varsa ankarada ben de bekliyorum tavsiyelerinizi.
 
Bende yakında tedaviye başlayacağım benim 20 lik dişlerimin 3 ü sorunsuz çıktı ama biri hala içerde doktor yan büyüyor ve muhtemelen diğer dişine dayanmış oyüzden çıkamıyor veya üstündeki deri çok kalın o tutuyor dedi ama 1. ihtimal daha yüksek tabii..
4 ünüde çektiricem 1 ay içinde sonra başlangıç seviyesinde olan periodontit tedavim yapılacak ve üst dişlerimin biri diğerinden çok az önce onu eşitlemek için şeffaf kalıp takılacak bakalım tedavi süreci nasıl işliycek :)
 
Merhaba Arkadaşlar
2 tane yirmilik dişimi çektirdim ...ikisini de farklı dişçiler çekti.benim size tavsiyelerim şunlardır

1-gömülü ve zorlu bir dişiniz var ise bence dişçiniz bayan olmasın.yanlış anlamayın nedeni bu dişlerin çekiminde ciddi bir güç gerekiyo.Benim iki yirmilik dişimde çok zorlu dişlerdi.ilkini bayan dişçi yaptı.o kadar uzun süre sürdü ki anlatamam dişi çekiyor çekiyor diş gelmiyor ve gücü yetmiyor
2-Gömülü diş ameliyatı kesinlikle izlemeyin.Kendinizi boşu boşuna korkutmuş olursunuz.Hadi yaptınız bir hata :)) sakın korkmayın canınız hiç acımayacak.Biraz uzun sürdüğü için sadece çeneniz yorulacak
3-Yaşayacağınız sorunlar dişi çektirdikten sonra olacaktır(şişme,ağrı vb )Dişi çektirdikten yaklaşık yarım saat kadar sonra (uyuşukluk geçmeye başlarken) ağrı kesici alın
4-Sakın tükürmeyin tükürdükçe kanamanız artacaktır
5-Yemek yerken çekilen kısımla yemek yemeyin dikişler zarar görebilir.
6-Alkol,sigara bi süre yasak :)
7-Dişçinizin verdiği antibiyotiği bitene kadar düzenli kullanın
8-Gömülü diş operasyonundan sonra ortaya çıkan sıkıntılar kişiden kişiye değişiklik gösteriyor.Bazı insanlarda pek ağrı olmuyor fakat beim ağrılarım tam 15 gün sürdü :( Benim her iki dişimdede inanılmaz ağrılar oldu...yüzüm,gözüm,başım komple ağrıyordu ve tüm ağrı kesicileri denedim.en iyi ve güçlüleri bile işe yaramadı.En sonunda evime yakın olan eczaneye gittim ve eczanenin sahibi olan bayan bana bir öneri verdi.2 adet ağrı kesici verdi.Advil ve Minoset.ben bu ağrı kesicileri hayatta içmem :) çok hafifler:)) fakat bayanın anlatması şu şekilde oldu.Bu iki ilacı tek tek değerlendirdiğimizde ikisininde etkinlik gücünü 1 sayarsak ikisinin etken maddeleri ike bu etki toplam iki değil 4 etki yapar dedi ve beni ikna etti.evet eczacı bayanın dediği gibi uyguladım ve inanlılmaz bir sonuçla resmen ağrım kesildi.Kullanımları şu şekilde Advili alıyorsunuz 1,5 saat sonra da minoset içiyorsunuz
Yaşadığım deneyimlerden işinize yarayacak bilgileri yazmaya çalıştım.umarım yardımcı olmuşumdur
şimdiden geçmiş olsun
 
23 yaşındayım 20 lık dişim dağa çıkmadı 2 yıl önce bi ara ağrı yapmıştı ama bidağa ses seda çıkmadı..nezmna çıkar acaba
 
23 yaşındayım 20 lık dişim dağa çıkmadı 2 yıl önce bi ara ağrı yapmıştı ama bidağa ses seda çıkmadı..nezmna çıkar acaba
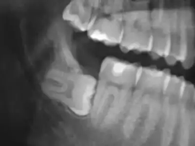
Hiç mi görünmüyor yoksa bi kısmı çıkmış mı?


$gomulu_dis_agrisi.webp $GML-DI~2.webp
1.resimde dişin bir kısmı çıkmış
ikincisi ise nerdeyse tamamı gömülü bazende damak içinde kalıyor sen farketmiyorsun
farketmediğin bu diş ilerde diğer dişlerine baskı yapıyor ve çürüdüğü zaman sıkıntı yaratıyor bu gibi dişleri çekiyorlar zaten
varsa bir şüphen bence doktora git geç olmadan öğren röntgenini çekerler zaten
bazı kişilerde diş sorunsuz çıkabiliyor belki sende de sıkıntı yoktur... çıkma süresi uzun bu dişlerin 25 yaşına kadar zamanı var diye biliyorum
 
arkadaşlar birşey sorucam . ben diş röntgeni çektrmiştim diş ağrısı sebebiyle 20lik dişimden şüphelenerek al çenemde deçarpıklıklar oluşmaya başlamıştı dedim gömük falansa diş aldırayım. röntgen sonucu alt çenedeki 2 yirmilik dşşimde oluşmaya başlamamış ama sağ üstte bitane var gözüküyo. yaşım 22 bu arada. acaba 20 lik dişleri hiç çıkmıycak olan sanslı insanlardan mıyım yoksa çene kemğnde olşmaya başlamamış olan dişlerimn oluşp çıkma ihtimali var mı?
 
ben sağ alt ve üst 20liklerimi çektirdim ikiside kolay çıktı..
sol alt üst kaldı, üstte problem yokta alt dişim çıkmış fakat üstünde et var zamanla o da sıyrılır mı ?
deri beyazlıyor gittikçe bekleyeyim diyorum ama..
doktorlara kalsa hemen alcaklar sanki kolay bişey köklü diş çektirmek..
acı yok ama o baskı ve iğrenç kemik sesleri psikolojik olarak yoruyor insanı..
 
ben üstteki iki 20 liği çktirdim doktorum hamile alttakileri çekemedi.bende güçlü kuvvetli bi dr arıyorum ilk fırsatta çektiricem ağrı falan yoktu ara ara oluyodu ama o dişler beni o kadar rahatsız ediyomuş ki çekilince anladım
 
ben üstteki iki 20 liği çktirdim doktorum hamile alttakileri çekemedi.bende güçlü kuvvetli bi dr arıyorum ilk fırsatta çektiricem ağrı falan yoktu ara ara oluyodu ama o dişler beni o kadar rahatsız ediyomuş ki çekilince anladım

evet ya doktor çok önemli hakkaten güçlü kuvvetli olması şart allahtan benimki o konuda iyiydi :1:
 
17 yaşındayım ve film sonucuma göre 20lik dişlerimin 4ü birden geliyor ve gömülü olarak :14:
yarın cerraha gideceğim ameliyat günü almak için..
Bu ağrıları çekmekten çok yoruldum bir an önce ameliyat olsun bitsin istiyorum:14::14:
 
17 yaşındayım ve film sonucuma göre 20lik dişlerimin 4ü birden geliyor ve gömülü olarak :14:
yarın cerraha gideceğim ameliyat günü almak için..
Bu ağrıları çekmekten çok yoruldum bir an önce ameliyat olsun bitsin istiyorum:14::14:

çok erken değilmii, çok şükür benim ağrım olmadı ya..
ve gömülü değiller..
 
cesaretimi toplarsam bende çektiricem inşallah gömülü dişlerimi:52: benimde 4 tane:26:

işin komiği çene cerrahisi doktora öğrencisiyim yüzlerce gömülü vakası gördüm, günde 4-5 gömülü diş çektiğim oluyor, lakin üniversite dönemlerinden bu yana kendi ameliyatımı erteliyorum
 
cesaretimi toplarsam bende çektiricem inşallah gömülü dişlerimi:52: benimde 4 tane:26:

işin komiği çene cerrahisi doktora öğrencisiyim yüzlerce gömülü vakası gördüm, günde 4-5 gömülü diş çektiğim oluyor, lakin üniversite dönemlerinden bu yana kendi ameliyatımı erteliyorum

Ben de hemşireyim amaa dikiş atılacak diye korkuyorum şimdi:18: off bilmiyorum bakıcaz artık yarın:61:
 
geçmiş olsun şimdiden canım:) sanırım olayın işleyişini bildiğimizden bize kötü geliyor. halbuki başkalarına yapmak ne kadar kolay dimi:52::52:
 
geçmiş olsun şimdiden canım:) sanırım olayın işleyişini bildiğimizden bize kötü geliyor. halbuki başkalarına yapmak ne kadar kolay dimi:52::52:

Teşekkürler güzel diliklerin için birazdan çıkacağım evden umarım çabuk biterr :61:
 
Back
X