Evet şukur görundu bebeğide görduk cok kucuk daha 2 mm doktor bebeğin kalbini duymamız icin en az 4 mm olması lazım dediÇok norevet gorundu mal endişelenmeyin yolk sac gözüktü mü fotosu var mı
Ultrasonda 5+4se kalp.atisi duymazsin. En erken 6+1de falan duyuluyor canım. 1 hafta sonra tekrar git kontrole :) hayirli olsunSelam kızlar 6+2 haftalık hamileyim
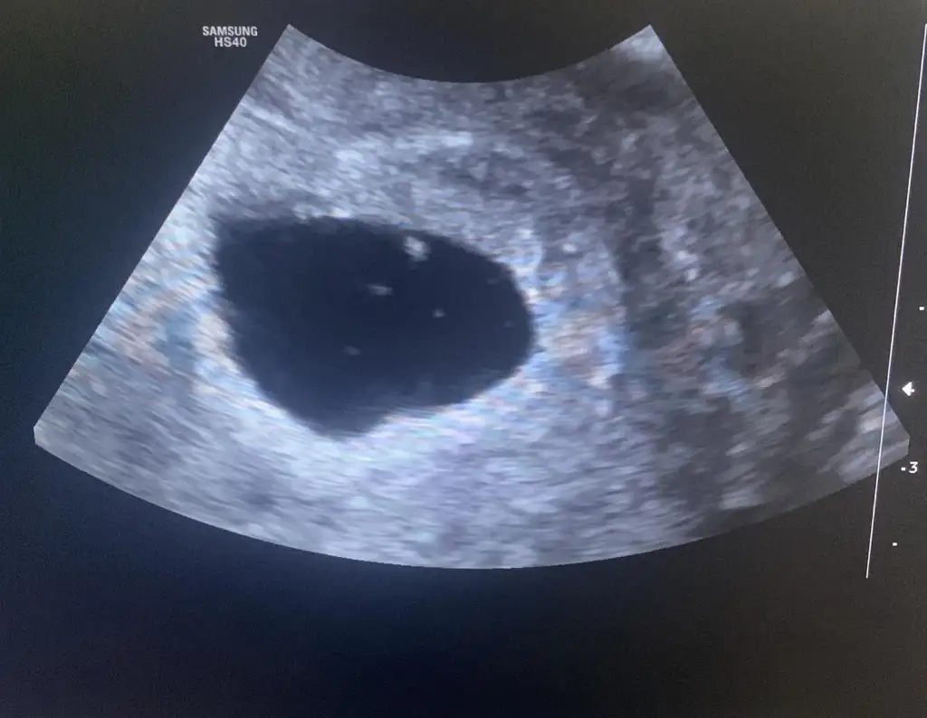
Ultrasonda 5+4 görunuyo bebeği görduk 2 mm ama daha kalp atışı yok normal mi sizce ben cok korkuyorum
Gördum şukur cok kuçuk daha 2 mmBebegi gördüyseniz kalp atışını da 1 2 güne atmaya başlar. Belliki geç döllenme.
Ben de 5+2 deyim perşembe günü gideceğim zor ama inşallah görürüm kalp atışınıEvet şukur görundu bebeğide görduk cok kucuk daha 2 mm doktor bebeğin kalbini duymamız icin en az 4 mm olması lazım dedi
Kayit olurun canım cok sagol rahatladım sayendeBende bu gun 6+2 yim dün Dr gittim. 6+1 ken 6+3 gözüküyor dedi kalbi atıyor dedi benimki geç döllenme değilmiş. Daha onceki gebeliklerim geç dollenmeydi. 2025 ekim anneleri diye konu var istersen oraya kayıt ol bizim gibi arkadaşlar var bir birimize destek oluyoruz.
Oyle yapicam zaten canım doktor da kesin bidahaki gelişinde duyulur dedi inşallahUltrasonda 5+4se kalp.atisi duymazsin. En erken 6+1de falan duyuluyor canım. 1 hafta sonra tekrar git kontrole :) hayirli olsun
İnşallahBen de 5+2 deyim perşembe günü gideceğim zor ama inşallah görürüm kalp atışını
Kac haftalık sın canım at tabi yardimci olabiliyosam.ne mutlu banaBen ulturason atsam bakabilir misiniz acaba benimde kalp atışı duyulmadı
Ben de dün doktora gittim. 5+5de. Kalp atışını haftaya duyarız dedi doktor. Kese 13mmBen de 5+2 deyim perşembe günü gideceğim zor ama inşallah görürüm kalp atışını
Rabbim sağlıcakla kucağınıza almayı nasip etsin inşallahBen de dün doktora gittim. 5+5de. Kalp atışını haftaya duyarız dedi doktor. Kese 13mm
Amin nerde varsa inşallah. Sizin süreciniz nasıl ilerliyor? Kalp atışını ne zaman duydunuz? Bir de progesteron a bakmış mıydı doktor?Rabbim sağlıcakla kucağınıza almayı nasip etsin inşallah
Kuzum naptin sen merak etim haber de vermedim bebeği gördun mu,kalp atışını.duydun muCanım son iki ulturason başka doktora ait acaba durmuş mu gelişim
Progestan bakılmadı sat göre 6+5de duyduk kalp atışını doktor 6+1 demişti duyulduğunda 4 gün fark varAmin nerde varsa inşallah. Sizin süreciniz nasıl ilerliyor? Kalp atışını ne zaman duydunuz? Bir de progesteron a bakmış mıydı doktor?
Merhaba aynı durumdayım kalp atışını duydunuz mu acaba çok korkuyorum ben deSelam kızlar 6+2 haftalık hamileyim
Ultrasonda 5+4 görunuyo bebeği görduk 2 mm ama daha kalp atışı yok normal mi sizce ben cok korkuyorum
We use cookies and similar technologies for the following purposes:
Do you accept cookies and these technologies?
We use cookies and similar technologies for the following purposes:
Do you accept cookies and these technologies?