• Merhaba, Kadınlar Kulübü'ne ÜCRETSİZ üye olarak yorumlar ile katkıda bulunabilir veya aklınıza takılan soruları sorabilirsiniz.

Doğuma Hazırlık Bebeğinizin Cinsiyetini Erkenden Söyleyeyim - Cinsiyet Tahmini

Bebeklerimize aldığımız eşyalar, hastane çantası, ürünler için tavsiye ve öneriler....
Selam Kızlar :KK9:bir çok kişi gruplardan beni bilir. Yine yetiştim imdatlara :KK36:

Çoook uzun bir süre araştırma okuma yaptıktan sonra sizlere bu başlığı açtım çevremde tüm gebelere de denedim. Bunun sırrını çözen İnstagramda (isim vermeyim) işi ticarete dökmüş bile. :halay:Nub, Ramzi,Çin Rus Japon Takvimleri, Yüzük Yöntemi bir çok şey size sayabilirim.

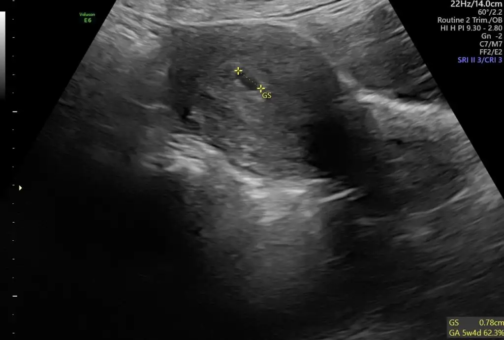
5 ve 14. haftaya kadar olan ultrason fotolarınızı paylaşın. Vajinadan mı yoksa karından mı çekildiğini ve kaç haftalık olduğunu da mutlaka belirtin.:anneadayı:

Not: Tahmin yaptığım anneler cinsiyet öğrendikten sonra lütfen bana geri dönüş yapın :KK200::emir_bebek:
Aya göre cinsiyet tahminim de bulunuyor musunuz peki
 
11+3 karından ultrason banada tahminde bulunabilirmisiniz
 

Eklentiler

  • 7964E4B1-29EB-4A5B-B563-9DE3D236F9A7.webp
    7964E4B1-29EB-4A5B-B563-9DE3D236F9A7.webp
    20,8 KB · Görüntüleme: 85
  • image.webp
    image.webp
    24,2 KB · Görüntüleme: 82
Selam Kızlar :KK9:bir çok kişi gruplardan beni bilir. Yine yetiştim imdatlara :KK36:

Çoook uzun bir süre araştırma okuma yaptıktan sonra sizlere bu başlığı açtım çevremde tüm gebelere de denedim. Bunun sırrını çözen İnstagramda (isim vermeyim) işi ticarete dökmüş bile. :halay:Nub, Ramzi,Çin Rus Japon Takvimleri, Yüzük Yöntemi bir çok şey size sayabilirim.

5 ve 14. haftaya kadar olan ultrason fotolarınızı paylaşın. Vajinadan mı yoksa karından mı çekildiğini ve kaç haftalık olduğunu da mutlaka belirtin.:anneadayı:

Not: Tahmin yaptığım anneler cinsiyet öğrendikten sonra lütfen bana geri dönüş yapın
Selam Kızlar :KK9:bir çok kişi gruplardan beni bilir. Yine yetiştim imdatlara :KK36:

Çoook uzun bir süre araştırma okuma yaptıktan sonra sizlere bu başlığı açtım çevremde tüm gebelere de denedim. Bunun sırrını çözen İnstagramda (isim vermeyim) işi ticarete dökmüş bile. :halay:Nub, Ramzi,Çin Rus Japon Takvimleri, Yüzük Yöntemi bir çok şey size sayabilirim.

5 ve 14. haftaya kadar olan ultrason fotolarınızı paylaşın. Vajinadan mı yoksa karından mı çekildiğini ve kaç haftalık olduğunu da mutlaka belirtin.:anneadayı:

Not: Tahmin yaptığım anneler cinsiyet öğrendikten sonra lütfen bana geri dönüş yapın :KK200::emir_bebek:
H
:KK200:

Selam Kızlar :KK9:bir çok kişi gruplardan beni bilir. Yine yetiştim imdatlara :KK36:

Çoook uzun bir süre araştırma okuma yaptıktan sonra sizlere bu başlığı açtım çevremde tüm gebelere de denedim. Bunun sırrını çözen İnstagramda (isim vermeyim) işi ticarete dökmüş bile. :halay:Nub, Ramzi,Çin Rus Japon Takvimleri, Yüzük Yöntemi bir çok şey size sayabilirim.

5 ve 14. haftaya kadar olan ultrason fotolarınızı paylaşın. Vajinadan mı yoksa karından mı çekildiğini ve kaç haftalık olduğunu da mutlaka belirtin.:anneadayı:

Not: Tahmin yaptığım anneler cinsiyet öğrendikten sonra lütfen bana geri dönüş yapın :KK200::emir_bebek:
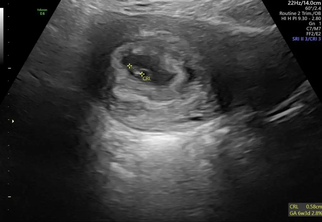
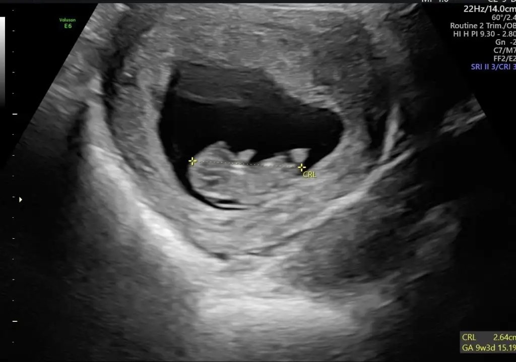
Hepsi karından çekim. Sizden yorum bekliyorum. 1 ay sonra net belli olacak inşallah. 6 haftalık ultrason, 11 haftalık ultrason ve 14 haftalık var. 16 da kendini göstermedi bacakları kapalıydı. Ayrıntılı ultrasonda belli olur artık dedi doktorum. Sizlerin de tahminini bekliyorum.
 

Eklentiler

  • 20230602_222610.webp
    20230602_222610.webp
    21,8 KB · Görüntüleme: 74
  • Screenshot_20230605-223036_Video Player.webp
    Screenshot_20230605-223036_Video Player.webp
    10,7 KB · Görüntüleme: 72
  • 20230607_171943.webp
    20230607_171943.webp
    14,4 KB · Görüntüleme: 66
  • 20230607_171953.webp
    20230607_171953.webp
    17,4 KB · Görüntüleme: 71
  • 20230607_172017.webp
    20230607_172017.webp
    16 KB · Görüntüleme: 70
  • Screenshot_20230608-014250_Gallery.webp
    Screenshot_20230608-014250_Gallery.webp
    9,3 KB · Görüntüleme: 72
  • Screenshot_20230615-231340_Gallery.webp
    Screenshot_20230615-231340_Gallery.webp
    18,8 KB · Görüntüleme: 77

Eklentiler

  • C3775C1B-B2B7-4EDB-989D-EDD1A87D6CF3.webp
    C3775C1B-B2B7-4EDB-989D-EDD1A87D6CF3.webp
    27,8 KB · Görüntüleme: 93
  • D542B5D4-0F9F-430B-9B3F-E18654069585.webp
    D542B5D4-0F9F-430B-9B3F-E18654069585.webp
    26,5 KB · Görüntüleme: 111
  • A3F34458-AB39-42ED-B9EF-B01B4EE00480.webp
    A3F34458-AB39-42ED-B9EF-B01B4EE00480.webp
    24,4 KB · Görüntüleme: 83
Selam Kızlar :KK9:bir çok kişi gruplardan beni bilir. Yine yetiştim imdatlara :KK36:

Çoook uzun bir süre araştırma okuma yaptıktan sonra sizlere bu başlığı açtım çevremde tüm gebelere de denedim. Bunun sırrını çözen İnstagramda (isim vermeyim) işi ticarete dökmüş bile. :halay:Nub, Ramzi,Çin Rus Japon Takvimleri, Yüzük Yöntemi bir çok şey size sayabilirim.

5 ve 14. haftaya kadar olan ultrason fotolarınızı paylaşın. Vajinadan mı yoksa karından mı çekildiğini ve kaç haftalık olduğunu da mutlaka belirtin.:anneadayı:

Not: Tahmin yaptığım anneler cinsiyet öğrendikten sonra lütfen bana geri dönüş yapın :KK200::emir_bebek:
A5D46991-6709-4843-9326-08F3F727EE2F.webp

sizce nedir 🙏🏽💖
 
Bana da tahminde bulunabilir misiniz lütfen ☺️
 

Eklentiler

  • 0AABC363-4AD8-4BFE-A85C-2F611751AB38.webp
    0AABC363-4AD8-4BFE-A85C-2F611751AB38.webp
    62,4 KB · Görüntüleme: 102
Bende merak ediyorum 6 haftalık karından çekildi 🥰
 

Eklentiler

  • IMG_20230706_155308.webp
    IMG_20230706_155308.webp
    26,1 KB · Görüntüleme: 98
Selam Kızlar :KK9:bir çok kişi gruplardan beni bilir. Yine yetiştim imdatlara :KK36:

Çoook uzun bir süre araştırma okuma yaptıktan sonra sizlere bu başlığı açtım çevremde tüm gebelere de denedim. Bunun sırrını çözen İnstagramda (isim vermeyim) işi ticarete dökmüş bile. :halay:Nub, Ramzi,Çin Rus Japon Takvimleri, Yüzük Yöntemi bir çok şey size sayabilirim.

5 ve 14. haftaya kadar olan ultrason fotolarınızı paylaşın. Vajinadan mı yoksa karından mı çekildiğini ve kaç haftalık olduğunu da mutlaka belirtin.:anneadayı:

Not: Tahmin yaptığım anneler cinsiyet öğrendikten sonra lütfen bana geri dönüş yapın :KK200::emir_bebek:
 

Eklentiler

  • 1000011252.webp
    1000011252.webp
    20,1 KB · Görüntüleme: 83
13+3 haftalık göstermedi bizimki tahmin yapabilir misiniz 🤣
 

Eklentiler

  • a12e5fab-c9b2-4b31-aece-74aeceb78358.webp
    a12e5fab-c9b2-4b31-aece-74aeceb78358.webp
    40,6 KB · Görüntüleme: 93
8 haftalık karından .Bana da tahminde bulunur musunuz 😊
 

Eklentiler

  • C3184BD6-722B-4266-82B7-9E0785459309.webp
    C3184BD6-722B-4266-82B7-9E0785459309.webp
    20,7 KB · Görüntüleme: 80
Back
X