• Merhaba, Kadınlar Kulübü'ne ÜCRETSİZ üye olarak yorumlar ile katkıda bulunabilir veya aklınıza takılan soruları sorabilirsiniz.

Diş teli ile ilgili soru, sorun ve deneyimleri paylaşalım

Firforcum nasıl gidiyo durumlar? Alıştın mı minişlerine..:8:

alıştım valla nenacım. aman diim, acaip sorunsuz geçio şu günlerim. çarpık olan dişim de epey ilerleme kaydetti. helal olsun diyorum kendisine:)
güldükten sonra ağzımı toplayamama gibi bi sorunum vardı :1: dudaklarım tellere takılıodu falan, çok komik bi görüntü oluodu. yamuluodum resmen :27: neyse ki onu da rayına koydum biraz, insan gibi gülebiliorum artık. ama bunlar iyi günlerim tabi. haftaya alt dişlerime de tel takılacak. bi de sanırım üst dişlerdeki teli de değiştirecek. neyle karşılaşacağımı bilmedim için tırsıyorum tabi biraz :18:

sen ne zaman kuğu olacaksın bakalım? :)
 
ilk bikaç ay benim de lastikler vardı her brakette..takılması ölüm olan lastikler!!!

sonra bi muyaneden sonra bi baktım lastikler gitmiş yerlerine incecik teller gelmiş, tellerle sabitlemiş teli brakete.. aylardır da onlar duruyor her dişimde...

hareket için çektirip duran zincir lastikler var şimdi de alt dişlerde. onlar da yine çok çabuk sararıyorlar..

ay evet çok sinir şu lastikler. ben kahveyi çok tüketirim. o yüzden de lastikler çok sararıo malesef, hele de telle birleştiği yerler. bi ara kafaya taktım, ben bu lastikleri çıkarayıp temizleyip tekrar takayım dedim (nası dahiyane bi fikir di mi?) amanın lastikler yerinden fırladı. evde kerpeten, kargaburun ne varsa soktum ağzımın içine. sonuç hüsran tabi. 1-2 tane lastiğim braketlerin çevresinden geçeceğine ortasından geçio şu anda. valla doktora kontrole gittiğimde de hiç bozuntuya vermicem."aa nası olmuş onlar ööle, demek ki iyi takamamışsınız" bile diyebilirm :1:
çektirip duran lastikler demişsin. biz daha o konuya gelmedik. bakalım onlar takıldığında nası meceralar yaşicam :26:
 
alıştım valla nenacım. aman diim, acaip sorunsuz geçio şu günlerim. çarpık olan dişim de epey ilerleme kaydetti. helal olsun diyorum kendisine:)
güldükten sonra ağzımı toplayamama gibi bi sorunum vardı :1: dudaklarım tellere takılıodu falan, çok komik bi görüntü oluodu. yamuluodum resmen :27: neyse ki onu da rayına koydum biraz, insan gibi gülebiliorum artık. ama bunlar iyi günlerim tabi. haftaya alt dişlerime de tel takılacak. bi de sanırım üst dişlerdeki teli de değiştirecek. neyle karşılaşacağımı bilmedim için tırsıyorum tabi biraz :18:

sen ne zaman kuğu olacaksın bakalım? :)

Bende ilk ay ellerimle düzeltiyodum kalıyodu telin üstünde bi de botoxlu gibi olunca sıkıntı..Çok sevindim ya teli ilk aylarda değiştirmez diye düşünüyorum seviye seviye.. Tırsma hiç bolca soru sor ben burdan sitelerden okuduklarımı hep soruyodum yasakladı sonunda :30: 2 mayısta kontrol var bakalım yayı çıkarıcak yine lastik takıcak sanırım biraz inatçı çıktı köpekle ön diş arasındaki zibidi bakalım ekimde bitsinde bişey istemiyorum şartlandım deli gibi gırarım kafasını:41:
 
ay evet çok sinir şu lastikler. ben kahveyi çok tüketirim. o yüzden de lastikler çok sararıo malesef, hele de telle birleştiği yerler. bi ara kafaya taktım, ben bu lastikleri çıkarayıp temizleyip tekrar takayım dedim (nası dahiyane bi fikir di mi?) amanın lastikler yerinden fırladı. evde kerpeten, kargaburun ne varsa soktum ağzımın içine. sonuç hüsran tabi. 1-2 tane lastiğim braketlerin çevresinden geçeceğine ortasından geçio şu anda. valla doktora kontrole gittiğimde de hiç bozuntuya vermicem."aa nası olmuş onlar ööle, demek ki iyi takamamışsınız" bile diyebilirm :1:
çektirip duran lastikler demişsin. biz daha o konuya gelmedik. bakalım onlar takıldığında nası meceralar yaşicam :26:


kerpetenin ne işi var kız ağzının içinde :))))

bi iki köşesi çıkan lastiklerle ben de uğraştım. ama başarılı oldum yani :)) ucu sivri olmayan ince metal bişeylerle denedim. filkete vardı evde, topuza takıştırılan tepesi falan taşlı maşlı .. :))) sen daha kerpetenle kargaburunla uğraş bak eller neler yapıyor :66:

dişleri yanlamasına kaydırmak için zincir lastik kullanılıyor. fazla sorunlu şeyler değiller. sadece üst köpek dişlerime takılırken çok acı veriyordu, doktorum ellerini bile tuttum dursun diye kaç kez...

alttaki dişler önceden fazla yerinden oynatılmadıgı için sanırım çok acımıyor takarken lastigi. ama alt dişlere ilk tel takıldıgında çok ağrı veriyor. aşt çene kemiği daha yoğunmuş. ve alt baya yavaş ilerliyor..
 
kızlar metal e alışamadım gülemiyorum hiç. ya şeffafa mı cevirsem teli. off çok kararsızım :(

ben tellerimi çıkaralı çok oldu :16: ben metal takmıştım :51: bence tel çok sempatik gösteriyor insanı neden gülemiyosun ya gül gitsin ne olacak :1: hatta dişlerin iiyice düzeldikten sonra tel gayet hoş duruyor :27: bırak parlasın metaller :46: daha geçen gün dedim arkadaşıma tellerimi özledim diye :27: şeffafların hem fiyatı pahalıdır hem temizliğine metale göre 2kat dikket etmelisin hem de metallerden dayanıksızlardır braketler çabuk kırılır benden söylemesi :33:
 
Bende ilk ay ellerimle düzeltiyodum kalıyodu telin üstünde bi de botoxlu gibi olunca sıkıntı..Çok sevindim ya teli ilk aylarda değiştirmez diye düşünüyorum seviye seviye.. Tırsma hiç bolca soru sor ben burdan sitelerden okuduklarımı hep soruyodum yasakladı sonunda :30: 2 mayısta kontrol var bakalım yayı çıkarıcak yine lastik takıcak sanırım biraz inatçı çıktı köpekle ön diş arasındaki zibidi bakalım ekimde bitsinde bişey istemiyorum şartlandım deli gibi gırarım kafasını:41:

yasakladı mı? sansürcü doktor. benim daha ilk zamanlarım olduğu için adamın başını yemiim diorum, yoksa soracak çok şeyim var. ağzıma taktığı o garip şeyle de konuşmak pek mümkün olmuo zaten. randevularım genelde monolog şeklinde geçio. doktor konuşuo, ben kaş göz yapıorum sadece :) allahtan her yaptığı şeyi tek tek açıklıo. ama tabi soraki aşamalarda ne yapacağını tam söylemio. siz olmasanız başıma neler gelecek bilemicem yani :)
ekime ne kaldı ki şurada, 6 ay bi şey. çoğu gitmiş azı kalmış nenacım. darısı başımıza
 
kerpetenin ne işi var kız ağzının içinde :))))

bi iki köşesi çıkan lastiklerle ben de uğraştım. ama başarılı oldum yani :)) ucu sivri olmayan ince metal bişeylerle denedim. filkete vardı evde, topuza takıştırılan tepesi falan taşlı maşlı .. :))) sen daha kerpetenle kargaburunla uğraş bak eller neler yapıyor :66:

dişleri yanlamasına kaydırmak için zincir lastik kullanılıyor. fazla sorunlu şeyler değiller. sadece üst köpek dişlerime takılırken çok acı veriyordu, doktorum ellerini bile tuttum dursun diye kaç kez...

alttaki dişler önceden fazla yerinden oynatılmadıgı için sanırım çok acımıyor takarken lastigi. ama alt dişlere ilk tel takıldıgında çok ağrı veriyor. aşt çene kemiği daha yoğunmuş. ve alt baya yavaş ilerliyor..

hehe, evet işte cahillik. sararan lastiklere mario bros bağlamında yaklaşiim dedim, yemedi :9: o kazma kadar kargaburunlar narin braketlerime göre değilmiş. valla sen de pek yaratıcısın. saç tokası da iyi fikir. denicem bunu bak.

benim dişlerimde çarpıklıktan çok kayma var (eksik dişlerimin olduğu yerlere doğru). demek ki ben o dediğin dişleri yanlamasına kaydıran lastiklerle pek bi haşır neşir olacağım. hatta ağzımın içi örümcek ağı gibi bile olabilir. oooo şenliğe gel :64:

ayy herkes alt dişler daha çok ağrı yapar dio. çok tırsıyorum :18:
 
hehe, evet işte cahillik. sararan lastiklere mario bros bağlamında yaklaşiim dedim, yemedi :9: o kazma kadar kargaburunlar narin braketlerime göre değilmiş. valla sen de pek yaratıcısın. saç tokası da iyi fikir. denicem bunu bak.

benim dişlerimde çarpıklıktan çok kayma var (eksik dişlerimin olduğu yerlere doğru). demek ki ben o dediğin dişleri yanlamasına kaydıran lastiklerle pek bi haşır neşir olacağım. hatta ağzımın içi örümcek ağı gibi bile olabilir. oooo şenliğe gel :64:

ayy herkes alt dişler daha çok ağrı yapar dio. çok tırsıyorum :18:

evet zincir lastiklerle kanka olucaksın gibi duruyo :))

alt dişler evet inatçılar da... zor ilerliyor. ilk iki gün ağrıdı sonra ağrımadı benim dişler. çok da korkucak bişey yok. olmadı ağrı kesici alırsın, ben almicam diye inatlaştıgım için öyle oldu biraz da...:51:
 
bana henüz lastik vermedi doktor ama bi kaç ay sonra damağımdan geçen bir yay takacağını söyledi. onuda bosluğu doldurmak amaclı yapacakmıs. ayın 26 sındada alt dişlerimin telleri takılacak. ama daha gidip su yirmilik dişlerimi cektirmem lazım. kızlar umarm düzelir dişlerim ya. iki gündür öyle gerildilerki arada zonkluyo ve dişlerim sallanıyor gibi oluyor. sanırım bu işe yaradığını gösteriyor diş tellerinin. arada korkuyorum arkadaki yüzükler cıkacak diye dişten ama inşallah öyle birşey basıma gelmez. bu arada aşırı fırcalama hastalığı geldi. günde yedi sekiz kez fırcalıyorum dişlerimi ve artık bunaldım az yiyorum mümkün olduğunca zaten yoğurt ve corbadan olusuyor menulerim cünkü dişlerim zonkluyor birsey yerken. temizliğede cok dikkat etmek gerekiyor cürük olusumuna sbep oluyor ayrıca temizlemediğiniz zaman masallah yediğiniz menü gözüküyor karsı tarafa. yani ne yedin diye sormaya gerek kalmıyor :D:66::68::56:
 
3 gün önceki randevuda, alt dişlerimdeki lastigi değişti. orta dişleri uzatmıştı, birini törpüledi, dolgu makinasıyla sanırım. diğerini de törpüleyecekmiş sonra.

törpüleme olayını yaşayanlar;

törpülenen yere pamukla bişey sürdü, florlama olabilir. ama dişimin o yüzeyi pürüzsüz değil. acaba düzelir mi zamanla, ya da bi uygulama daha olacak mı sonra, oraya mine tabakası gibi sert ve pürüzsüz bi tabaka oluşturulabilecek mi?

eğer böyle olacaksa çok pişman olurum. çünkü diş resmen yıpratılmış oluyor. o yüzey sararır da, çürür de, yan minenin yerini alacak bi uygulama lazım. ya da bikaç ayda bir florlanması mı gerekecek???
 
önce mutluluklar diliyorum:) mahsuru yoksa yaşını öğrenebilir miyim? ben 28 yaşındayım ve çok kararsızım , 7 ayda gözle görülür değişiklik oldu mu ?

canım teşekkürler yaşım 23 ...

evet gözle görülür değişim oldu tabikide benim gördüğüm bi dişim aldı başını gtti tıpış tıpış yerine:)

benim çapraz kapanış sorunum filan vardı doktorum her gttiğimde güzel şeyler söylüyor...

ben metalde yapamazdım ne yalan söyleyim çünkü şeffata bile zor alıştım yapı meselsi tabi...kendimden başka herkese yakıştırıyorum teli:)

resim isteyen arkadaşlar için küçük bir resim ekliycem ama uzaktan görünümü için...inanın şeffta insann rahatsız olmuyır...sadece 2 diş eksiğim var onlar belli oluyor...boşluklar yani...

takılması gerekse lütfen takdırın yaşı yok bu işin artık...sayılı zamanda çabuk geciyor....insanoglu nelere alışmıyor ki...

$DSC03189d.webp
 
Arkadaşlar ben de diş teli taktırdım 1.5 yıl önce çok iyi şu an hatta önümüzdeki hafta çıkaracağız sanırım benim sorum şu teller çıktıktan sonra takılan şeffaf şeyler var ya hani tekrar kaymasın diye takıyomuşuz onu ne kadar takmam gerek bi de yeniden doktoruma görünmeli miyim çünkü bu şehirden taşınıyorumm ve bi daha gelmeyi düşünmüyordum ama şimdi ne olacak hiç bilmiyorum doktora gitmem gerekiyor mu bi bilen söyleyebilir mi yoksa zaten alıp kendi kendime takmaya devam mı edeceğim??
 
disin arkasına takilan telleri kullanan var mi? veya invisalign denilen gorunmez dis telini kullanan var mi?
 
Son düzenleme:
Arkadaşlar ben de diş teli taktırdım 1.5 yıl önce çok iyi şu an hatta önümüzdeki hafta çıkaracağız sanırım benim sorum şu teller çıktıktan sonra takılan şeffaf şeyler var ya hani tekrar kaymasın diye takıyomuşuz onu ne kadar takmam gerek bi de yeniden doktoruma görünmeli miyim çünkü bu şehirden taşınıyorumm ve bi daha gelmeyi düşünmüyordum ama şimdi ne olacak hiç bilmiyorum doktora gitmem gerekiyor mu bi bilen söyleyebilir mi yoksa zaten alıp kendi kendime takmaya devam mı edeceğim??

Benim bildiğim 6 ay kadar bir süre sadece yemek dışında çıkarılıyor diğer 6 ay sadece uyurken ..Bi de alttan tel takacağı için onu diğer dişçilerle de halledebilirsin
 
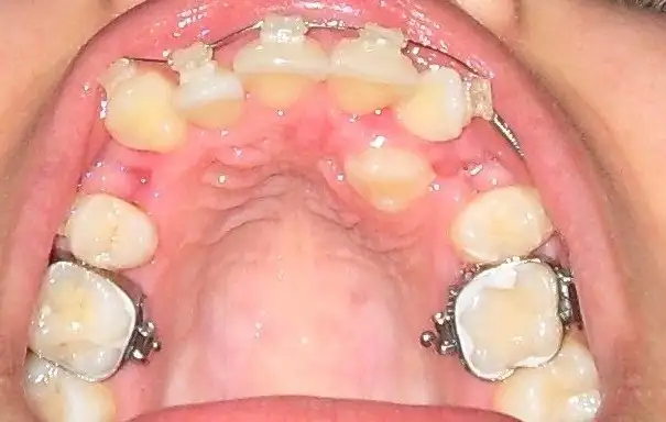
İlklerden olayım dedim.benim tedavim başlayalı 10 gün oldu.çoook yeni çünkü ortalama sürem 2,5 seneymiş.beni yalnız bırakmayın sizde ekleyin. $11.webp $15.webp :29:
 
Arkadaşlar ben de diş teli taktırdım 1.5 yıl önce çok iyi şu an hatta önümüzdeki hafta çıkaracağız sanırım benim sorum şu teller çıktıktan sonra takılan şeffaf şeyler var ya hani tekrar kaymasın diye takıyomuşuz onu ne kadar takmam gerek bi de yeniden doktoruma görünmeli miyim çünkü bu şehirden taşınıyorumm ve bi daha gelmeyi düşünmüyordum ama şimdi ne olacak hiç bilmiyorum doktora gitmem gerekiyor mu bi bilen söyleyebilir mi yoksa zaten alıp kendi kendime takmaya devam mı edeceğim??


geçmiş olsun, bitirmişsin :)
kalıplarda fazla kontrol olmaz sanırım, doktoruna sor istersen..

tel de takıcak mı doktorun?
 
geçmiş olsun, bitirmişsin :)
kalıplarda fazla kontrol olmaz sanırım, doktoruna sor istersen..

tel de takıcak mı doktorun?

sanırım takmıycak yani ben artık bitmesini istediğimi söyledim haziranda mezuniyet var da ;) o da biraz daha kalsın diyo ama olmuş diyo çıkarsak çıkar ama lastikleri kullanalım dedi teli hiç söylemedi benim de kafam karıştı şimdi burda tel kalıp diye okuyunca.Benmkiler inanılmaz düzeldi şu an süperler doktorum da beğeniyo ama bakalım artık bi sonraki randevumda sorayım bari .Of ya kontrol olmıycak olsaydı 15000km uzakta olcam nasıl gidip geleyim :(
 
sanırım takmıycak yani ben artık bitmesini istediğimi söyledim haziranda mezuniyet var da ;) o da biraz daha kalsın diyo ama olmuş diyo çıkarsak çıkar ama lastikleri kullanalım dedi teli hiç söylemedi benim de kafam karıştı şimdi burda tel kalıp diye okuyunca.Benmkiler inanılmaz düzeldi şu an süperler doktorum da beğeniyo ama bakalım artık bi sonraki randevumda sorayım bari .Of ya kontrol olmıycak olsaydı 15000km uzakta olcam nasıl gidip geleyim :(

o teller de sabitleyici zaten.. kalıyo yıllarca
 
İlklerden olayım dedim.benim tedavim başlayalı 10 gün oldu.çoook yeni çünkü ortalama sürem 2,5 seneymiş.beni yalnız bırakmayın sizde ekleyin.Eki Görüntüle 188683 Eki Görüntüle 188684 :29:

geçmiş olsun canım resimler için teşekkürler bende devamlı ekliyorum resim aşağı yukarı aynı gibi dişlerimiz benim 4 ay bitti 5 aya girdim köşeli tel taktı bana dişleri ileri itmek için inatçılar gitmiyorlar yerlerine :(
 
geçmiş olsun canım resimler için teşekkürler bende devamlı ekliyorum resim aşağı yukarı aynı gibi dişlerimiz benim 4 ay bitti 5 aya girdim köşeli tel taktı bana dişleri ileri itmek için inatçılar gitmiyorlar yerlerine :(

Giderler giderler.. benim dün kontrolüm vardı sol köpek dişimin önünde diş yayla genişletilip yerine girmesi beklendi ama girmedi dün yay çıktı ara açıktı küçük bir lastik taktı ve bir gece içinde şuan dille hissedilir şekilde olması gereken yere giriyor.. Herkese sabırlar ve emin ol gitsede gitmesede şuan ki sürecin harika.:34:
 
Back
X