Günaydın canım. Allah bağışlasın. Kız gibi geldi banaBenimde bakarmısınıs 9haftalık gebelik
Dun doktora gitimde erkeye benziyor dedi inşallah allah gonlumuze gore verirGünaydın canım. Allah bağışlasın. Kız gibi geldi bana
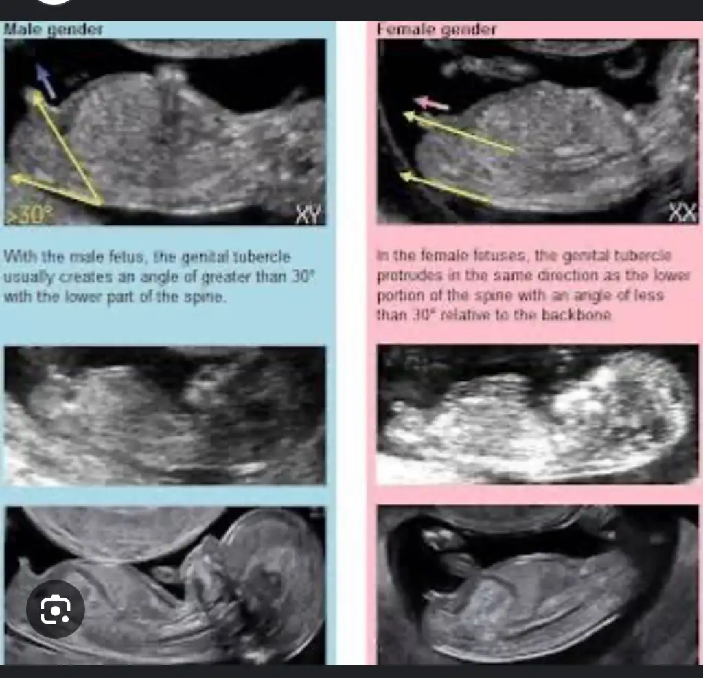
Bana da yorum yapar mısınız ? Arada gibi sanki erkeğin 1. Fotosuna da benziyor kızın 3.fotosuna da ben anlayamadımİnternetten nub teorisi diye arastır sende tahminde bulunabilirsin :)
Merhaba benim de yorum yapar mısınızGünaydın canım. Allah bağışlasın. Kız gibi geldi bana
Kız gibi duruyor canım. Allah bağışlasınMerhaba benim de yorum yapar mısınız
Teşekkür ederim canımKız gibi duruyor canım. Allah bağışlasın
Canım artık öğrenmişsindir cinsiyeti ne bebeğinin?Bana da yorum yapar mısınız ? Arada gibi sanki erkeğin 1. Fotosuna da benziyor kızın 3.fotosuna da ben anlayamadım
Erkek canımCanım artık öğrenmişsindir cinsiyeti ne bebeğinin?
Demek yuvarlak kese her zaman kiz degil)Bana da yorum yapar mısınız ? Arada gibi sanki erkeğin 1. Fotosuna da benziyor kızın 3.fotosuna da ben anlayamadım
Kese şekliyle ilgisi yok bence ama nub doğruDemek yuvarlak kese her zaman kiz degil)
Nub nasil oluyorki? Hala anlayamadim. 30 derecelik aciya gore dimi? Ben en son 10+2de ultrason muayenesinde oldum. Bi fark olur mu 2 haftada?Kese şekliyle ilgisi yok bence ama nub doğru
We use cookies and similar technologies for the following purposes:
Do you accept cookies and these technologies?
We use cookies and similar technologies for the following purposes:
Do you accept cookies and these technologies?