- 7 Eylül 2014
- 2.389
- 3.715
- 208
- 39
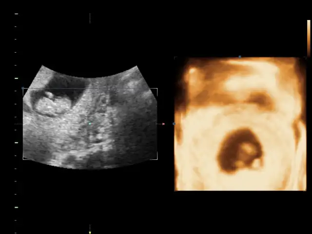
sağol canım ağzına sağlıkCanım seninkini erkek bebeğe benzettim ikinci Fotoğrafın alt kısmında bir şeyler var gibi. Ama bebek arkasını dönmüş bu teori için yandan ya da önden olması lazım Fotoğrafın.
Aşağıdaki videoyu izleyerek sitemizi ana ekranınıza web uygulaması olarak nasıl kuracağınızı öğrenebilirsiniz.
Not: Bu özellik bazı tarayıcılarda mevcut olmayabilir.
sağol canım ağzına sağlıkCanım seninkini erkek bebeğe benzettim ikinci Fotoğrafın alt kısmında bir şeyler var gibi. Ama bebek arkasını dönmüş bu teori için yandan ya da önden olması lazım Fotoğrafın.
Canım nub teorisi için 12-13 haftalar en ideal haftalar. Kese teorisine koy istersen ama bence o teori nub teorisi gibi bilimsel değil.
Tamam canım inşAllah. Ikili teste gittiğinde Bebeğin yandan fotoğrafını iste. O hafta en uygun zaman.Cevabin için tesekkur ederim canım kismet olursa 4 hafta sonra koyarım o zmn yorumlarsin insallah
ben nub göremedim. yani anlamadım fotodan
Kiz canimama bende yorum istiyorummmmmlütfen
Bu bebek durusu degisik geldi goremedim bisey canim
Bacakları açık aslında hiç çıkıntı yok gibiBu bebek durusu degisik geldi goremedim bisey canim
Kıza benziyor bence.Fikri olan var mı acabaEki Görüntüle 1530236
Kiz bence cikinti yokFikri olan var mı acabaEki Görüntüle 1530236
Canım kıza daha çok benzettim ben :)
Canım doktorun erkek dediği resmi de koyar mısın?Bebeğimin cinsiyeti belli oldu ERKEK