- 22 Haziran 2021
- 83
- 18
- 38
- 28
- Konu Sahibi ezgilililiili
-
- #1
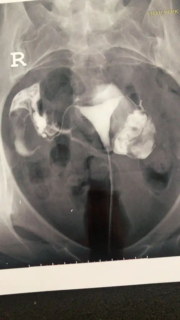
Yumurta değil bence canım. Adet sonrası hemen yumurta olmaz ki. Bu arada canın acıdı mı nasıl çektirdin hsg. Bende Cumartesi gidicem çektirmeye çok korkuyorumKızlar dün hsg çektirdim bu küçük şeyler yumurta olabilir mi
Büyük ihtimal dağılıyor ya ilaç o yüzden öyle çıkmış görüntü. Bende de şöyle bişey var ne ki acaba hiç kimsenin filminde de böyle bişey görmedim küçük top gibiKızlar dün hsg çektirdim bu küçük şeyler yumurta olabilir mi
Anestezili mi çektireceksinizYumurta değil bence canım. Adet sonrası hemen yumurta olmaz ki. Bu arada canın acıdı mı nasıl çektirdin hsg. Bende Cumartesi gidicem çektirmeye çok korkuyorum
Hiç hiç acımadı sadece sperm geçiş yolunu temizlerken minik bi ağrı oldu o kadar.Yumurta değil bence canım. Adet sonrası hemen yumurta olmaz ki. Bu arada canın acıdı mı nasıl çektirdin hsg. Bende Cumartesi gidicem çektirmeye çok korkuyorum
Hsg yumurta görülmüyor diye biliyorum amaKızlar dün hsg çektirdim bu küçük şeyler yumurta olabilir mi
Sperm geçiş yoku ne oluyor canım ilk defa duyuyorum. Hsg çekenlere onu da mı yapıyorlarHiç hiç acımadı sadece sperm geçiş yolunu temizlerken minik bi ağrı oldu o kadar.
Bana hsg çeken kişi öyle demişti rahim filminin en zor kısmı burası aslında ben sperm geçiş yolunu açıyorum herhangi bi bakteri enfeksiyon temizleniyorSperm geçiş yoku ne oluyor canım ilk defa duyuyorum. Hsg çekenlere onu da mı yapıyorlar
Ben bunu sorayım yarın hsg çekilirkenBana hsg çeken kişi öyle demişti rahim filminin en zor kısmı burası aslında ben sperm geçiş yolunu açıyorum herhangi bi bakteri enfeksiyon temizleniyor
Tabiki nerede çektireceksiniz şehir olarakBen bunu sorayım yarın hsg çekilirken
İstanbul Şişli echomarda canım. Az acıtıyormuş orası duyduğuma göre. Yarın görüncezTabiki nerede çektireceksiniz şehir olarak
Ben Bakırköy’de çektirdim emarparkta o kadar ilgili o kadar naifti kiİstanbul Şişli echomarda canım. Az acıtıyormuş orası duyduğuma göre. Yarın görüncez
Canım hsgden sonra rapor kağıdı veriyorlar ya orda ne yazıyorKızlar dün hsg çektirdim bu küçük şeyler yumurta olabilir mi
Canım hsgde
Canım hsgden sonra rapor kağıdı veriyorlar ya orda ne yazıyor
Direk yumurta değil ama yumurtalık onlar çift taraflı. O Yumurtaligin içinde yumurtalar var. Yumurtalarında azalma varsa hsg de boyutları daha küçük görünüyor. Senin gayet iyi büyük yumurtalik.Kızlar dün hsg çektirdim bu küçük şeyler yumurta olabilir mi
Her iki tubalarda açık yazıyorCanım hsgden sonra rapor kağıdı veriyorlar ya orda ne yazıyor
Çektirdinz mi bende echomar gideceğimİstanbul Şişli echomarda canım. Az acıtıyormuş orası duyduğuma göre. Yarın görüncez
Evet canım çektirdim. Bende oraya gittim, bir sorun yapmadım. Regle sancısı gibi ağrı oluyor o an geçiyor sonraÇektirdinz mi bende echomar gideceğim
merhaba, geçmiş olsun.Evet canım çektirdim. Bende oraya gittim, bir sorun yapmadım. Regle sancısı gibi ağrı oluyor o an geçiyor sonra
We use cookies and similar technologies for the following purposes:
Do you accept cookies and these technologies?
We use cookies and similar technologies for the following purposes:
Do you accept cookies and these technologies?