- 5 Eylül 2021
- 1.585
- 992
- 73
Aynen öyle Allah nasip ederde verirse pamuklara sararız vermezse de pamuk bezlerle gözlerimizi sileriz napalımBen de umut etmeyi bıraktım daha doğrusu akışına bıraktımelbette olacağı bir zaman vardır diyerek o günü bekliyorum
ya hamilesindir yada ikinci kez yumurtladın bir yerde okumuştum sozde baka bilirsiniz bazen iki yumurta olgunlaşıyor bir daha geç atılıyor Muş nadirde olsa hafta veya günlük farkı olan çift yumurta ikizleri öyle olusuyor Muş... bu testler hamilelikte gösterdi oluyor sen bir test yap eşinin onuna bırakKızlar ben 18 aralıkta yumurtladım sanıyordum bugün tekrar pik yaptı hemde T çizgisi C den önce belirdi şimdi ben ne yapacağım nasıl hesaplıycam eşimlede iki gündür küsüs konuşmuyoruz, galiba asıl yumurtlama bugün oldu döngüm yine değişti
Valla arkadaş sana çok güzel açıkladı boşuna kendini sıkıyor bu stresle kendini ve en çokta eşini uzuyorsun gibi geliyor.. Gebelik için birtane yetiyor test yapanda aldıkları numunenin hepsini kontrol etmiyor bir kısmına bakıyor ki ikinci test çok iyi çıkmış demiştin bide böyle düşün o testi verdinizde eşin çok sitreslidi "tasiniyoruz" dedin ya.. erkekler kadınlar gibi değil bir bir konuya takılır ona stres ederiz erkekler daha 5-6 konuya aynı anda düşünür halletmeya çalışır ve belli bile etmezler biz kadinlarda onlara Gamsız derizGittik doktora bugün yine aynı şeyleri söyleyip ürolojiye yönlendirdi.Eşim de tekrar örnek verdi.ilk sonuçla alakasız sonuç aldık yüksek çıktı değerleri.İyice kafamız karıştı hangisi doğru hiç bilmiyoruz.Eşim tabi ilk sonucu kendine yediremediği için ikinciyi benimsedi ben daha gerçekçiyim ama emin olana kadar da adama habire test yaptırmak istemiyorum o da hırpalanıcak zamanla.Ne yapıcam hiç bilmiyorum Ocak sonu yurtdışına yerleşiyoruz burda ne olacaksa olucak gittikten sonra geçmiş olsun artık.Panik haldeyim ağlıyorum sürekli istemsiz aklımdan da atamıyorum bu konuyu.Kadın doğumdan önce psikiyatriye gitmem lazım sanırım benim
aslındaAhhh kuzum 5 aydır oişaretini görmekten artık kanka olduk o yüzden çok yadirgamiyorum artık inşallah sana bu ay işaretlerini ekleriz adının karşısına
canım doktorun tam bır d*ngozmuş. bu surecler ınsanın en hassas oldugu surecler senı anlaması gerekıyor.Su an hastanedeyim. Doktorun tavri cok canimi sıkti. Kargolariyla ilgilendi. Kendi kendine konusuyor, bisey anlamiyorum. Idrara sıkısık gelmemi soylemisti, ama saat erken oldugu icin degildim. Adetimin 5.gununde 2 folikul var demisti. Simdi 18mm birbyumurta var. Digeri kucuk sanirim. Biri buyuyunce digerini bastirir zaten dedi. Kac tane olmasi lazim dedim, bize bir tane yetiyor dedi. 5 gun klomen kullandim ama 1 dozu icmeyi unuttum. Her neyse 2gun sonra 29unda otri igne vurunacakmisim. 30, 1 ve 3 ocak iliski dedi. Sonra otur tutsun diye dua et dedi. Cok hizli agizinin icinden konustu. Gecen sefer sakin sakin konusmustu, tavri bana guven vermisti. Burada alttan muayene yapildigi soylenmisti. Benim karindan bakti. Yani catlamazsa ne olacak. Diger ufak, kiste donusur mu kafamda bir suru soruyla kalakaldim. Regl olursam 3-5.gununde gel, 3 ay bu sekilde klomen kullanicaz dedi. Yani ben klomen kullanmadan yumurtam buyuyor mu buyumuyor mu bilmiyorum ki. Şu kist konularindan cok korkuyorum. 1 yumurtanin buyumus olmasi kotu bisey mi. Cunku forumda insanlarin bisuru yumurtasi oldugunu okuyorum. Diger ufak olan ne olacak. Biri beni aydinlatabilir mi? Kesinlikle moral bozucu bir surec
takvıme bakma sen bu bır tedavı, doktorunu dınle dedıgı gunlerı degerlendırBir de takvime gore dogurganlik 30unda bitiyor. Dr. 30, 1, 3 ocak dedi iliski icin. Bat 9 ocak ???
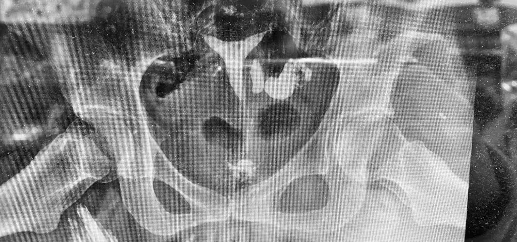
Sanki bir taraf kapalı gibi duruyor .sıvı geçişi olmamış gibi duruyor diğer tarafta tam net belli değil ama yakınlaştırıp bak bi incecik yerden geçiyorsa açıktır.bu benim fikrim doktorlar daha iyi bilir.bişey söylemedi mi doktorBenim tüpüm mü tıkalı bişeye benzetebilen var mı ?
Rapor çıkmamış daha.Çıkınca konuşuruz dedi.Yeminle ömrümden ömür çalıyo şu adamSanki bir taraf kapalı gibi duruyor .sıvı geçişi olmamış gibi duruyor diğer tarafta tam net belli değil ama yakınlaştırıp bak bi incecik yerden geçiyorsa açıktır.bu benim fikrim doktorlar daha iyi bilir.bişey söylemedi mi doktor
Yakınlaştırdım bi de böyle bak ben hiç anlamıyorumSanki bir taraf kapalı gibi duruyor .sıvı geçişi olmamış gibi duruyor diğer tarafta tam net belli değil ama yakınlaştırıp bak bi incecik yerden geçiyorsa açıktır.bu benim fikrim doktorlar daha iyi bilir.bişey söylemedi mi doktor
Öyleydi ama dün ovu testi tekrar pik yaptı bugün saat 4 te tekrar test yapıcam inş çatlamıştır şimdi yeni bat ikinci yumurtlamaya göre mi olacakKızçeee naptın ?? Senin bat 2 Ocak degilmiydi
Ayy tutsunda bende bir tanesine de razıyım dün eşimi kandırdım adam saba 4:30’da kalcaktı gece 2’de benimle uğraştıya hamilesindir yada ikinci kez yumurtladın bir yerde okumuştum sozde baka bilirsiniz bazen iki yumurta olgunlaşıyor bir daha geç atılıyor Muş nadirde olsa hafta veya günlük farkı olan çift yumurta ikizleri öyle olusuyor Muş... bu testler hamilelikte gösterdi oluyor sen bir test yap eşinin onuna bırak
Yani aceleye gelmesin diye ozele gidiyoruz. Elbette insanin bir gunu bir gunune uymaz ama ben de biraz gergindim alttan muayene olacak diye. Sonra birkac gun takip edecek filan saniyordum buradan okuduklarima gore. Igneden filanda haberim yoktu. Her neyse aklima takilan bazi seyler var henuz cvbini bulamadigim. Yeni yil herkese surprizleriyle gelsincanım doktorun tam bır d*ngozmuş. bu surecler ınsanın en hassas oldugu surecler senı anlaması gerekıyor.
bır suru yumurta konusunda kendını kasma stres yapma, cok olup tutmayanda var tek olup tutanda var. hersey nasıp.
ben klomen ıle ılk asılamamda bır yumurtam vardı 18mm ve ılk asılmamda tuttu kımyasal gecırdım.
ıkıncısınde 18,21 ıkı yumurtam vardı hıc bırı tutmadı.
Bence ikisi de açık fotoğrafa göre sağ tarafta ki zaten baya belli açık olduğu diğer tarafa şey diyebilirler yapışıklık vardı ilaçla açılmış flan diyebilir ama bence açık Bnm arkadaştaki de buna benziyorduYakınlaştırdım bi de böyle bak ben hiç anlamıyorum
Asi oldunuz mu aceba bende bugün gittim aslinda olmayı düşünmüyordum ama gene de yapmadılar gebelik düşünüyorsanız adet düzensizliği ve yumurtlamada sıkıntı çıkarıyor vs dediler yaotirmadimKızım anaokulu gidiyor şimdiye kadar evdeydi toplum içinde olunca getirirmi acaba diye.. ve gebelik düşünmüyordum
Şimdi hamilelik düşündüğüm için Allah korusun hamilelere dha zor geçiyor diye korkuyorum.
Ama ben aşı olmaktan korona olmak kadar çok korkuyorum
We use cookies and similar technologies for the following purposes:
Do you accept cookies and these technologies?
We use cookies and similar technologies for the following purposes:
Do you accept cookies and these technologies?