• Merhaba, Kadınlar Kulübü'ne ÜCRETSİZ üye olarak yorumlar ile katkıda bulunabilir veya aklınıza takılan soruları sorabilirsiniz.

zirkon diş.. dişlerim nasıl olucak

selam canim, dislerin de cok caprasiklik var miydi ve tam olarak duzeldi mi? Bitmis sayilir cok gecmis olsun:)

çapraşıklık hiç yoktu canım kapanma sorunum vardı alttan üstten 2 şer diş çekildi şimdi düzeldi çok şükür..eğer telle düzelicek bir durumunuz varsa zirkon falan yaptırmayın..böyle bile sağlam diş çektirmek çok dokundu bana şahsen...
 
merhabalar, zirkonyum hospitadentte suan kampanyadaymis 189euro yerine 149euroya dusmus subat 28'e kadar gecerli diyolardi ama sureyi uzatma gibi bi durum olur mu bilmem. Yine bakirkoyde dentadent var orda 900tl dediler tek dis icin, cok ucuk geldi fiyati bana. Ist tip fakultesinin karsisinda capadent var orda da zirkonyum 600tl. Medipol uni dis hastanesi var unkapaninda oraya muayeneye gitmedim arayip fiyat sordum zirkonyum icin 350tl dedi cok sasirdim. Ama iste uni hastanesi ve fiyati da digerlerinden baya ucuz diye bastan savma yaparlar mi diye de dusunuyorum acikcasi. Benim aldigim fiyatlar bunlar canim, bilgin olsun.

merhaba canım bilgilerin için teşekkürederim.bu fiyatlar nasıl bukadar farklılılk gösteriyor hayret birşey kimi 900 kimi 350 demiş halbuki bu nun heryerde aynı olması yada en fazla 100-200 tl farklı olması gerekmiyormu sonuçta yapılan işlem aynı kaplanacak madde belli neyse senin dişlerin nekadar çapraşık merak ettim tel taktırıcakmısın yoksa direkt zirkon işlemine başlıcakmısın kararını verdinmi.gelişmelerden benide haberdar edersen sevinirim bana biraz cesaret gerekiyor ve güven tabiki şansıma pek güvenmediğimden kötü bi doktora giderim istediğim gibi olmaz özellikle doğal durmaz diye çok korkuyorum sonuçta bikere yaptırdıktan sonra geri dönüşü yok onun için doğru karar vermeliyiz.
 
merhaba canım bilgilerin için teşekkürederim.bu fiyatlar nasıl bukadar farklılılk gösteriyor hayret birşey kimi 900 kimi 350 demiş halbuki bu nun heryerde aynı olması yada en fazla 100-200 tl farklı olması gerekmiyormu sonuçta yapılan işlem aynı kaplanacak madde belli neyse senin dişlerin nekadar çapraşık merak ettim tel taktırıcakmısın yoksa direkt zirkon işlemine başlıcakmısın kararını verdinmi.gelişmelerden benide haberdar edersen sevinirim bana biraz cesaret gerekiyor ve güven tabiki şansıma pek güvenmediğimden kötü bi doktora giderim istediğim gibi olmaz özellikle doğal durmaz diye çok korkuyorum sonuçta bikere yaptırdıktan sonra geri dönüşü yok onun için doğru karar vermeliyiz.
Cnm metal destekli zirkonlar var 250 diolar ucuz diolar porselen gibi metal destekli yapıolar ama gerçk zirkon bildiğim kadarıyla full porselen... Buyüzden fiyat olarak 500 denilio zaten bu nette bktım standart fiyat gb..dişçinin insiyatifine kalıyo bnce indirim ypmk.ama full porselen olan 500 en fazlada 50-100 düşüyolar,diş sayısına göre değişio hekime bağlı...zirkon diolar ama içeriğini mutlaka sorun derim
 
Cnm metal destekli zirkonlar var 250 diolar ucuz diolar porselen gibi metal destekli yapıolar ama gerçk zirkon bildiğim kadarıyla full porselen... Buyüzden fiyat olarak 500 denilio zaten bu nette bktım standart fiyat gb..dişçinin insiyatifine kalıyo bnce indirim ypmk.ama full porselen olan 500 en fazlada 50-100 düşüyolar,diş sayısına göre değişio hekime bağlı...zirkon diolar ama içeriğini mutlaka sorun derim

canım sen memnunmusun dişlerinden şuan rahatmı ? kimiside zirkon ile porselen arasında fark yok diyor.ne kadar çok araştırırsan okadar kafan karışıyor zaten.250 dediğinde çok ucuzmu ama zirkonların çin malı olanıda varmış.okadar ucuzsa fiyatı çin malı olur dikkat edin diyolar.onada dikkat etmek lazım ortalama fiyat dediğin gibi 500 tl civarı.mesela geçen ünlü bir doktoru aradım :) o da zirkonyum önermiyoruz biz dedi porselen daha iyi zaten alt desteği zirkon oluyor.onun için farketmiyor arka dişlere dayanıklılık açısından zirkon önerebiliriz ama önlere önermiyorz dedi tabi.yani ben bu işten bişey anlamadım karar vermek iyice zorlaşıyor.
 
canım sen memnunmusun dişlerinden şuan rahatmı ? kimiside zirkon ile porselen arasında fark yok diyor.ne kadar çok araştırırsan okadar kafan karışıyor zaten.250 dediğinde çok ucuzmu ama zirkonların çin malı olanıda varmış.okadar ucuzsa fiyatı çin malı olur dikkat edin diyolar.onada dikkat etmek lazım ortalama fiyat dediğin gibi 500 tl civarı.mesela geçen ünlü bir doktoru aradım :) o da zirkonyum önermiyoruz biz dedi porselen daha iyi zaten alt desteği zirkon oluyor.onun için farketmiyor arka dişlere dayanıklılık açısından zirkon önerebiliriz ama önlere önermiyorz dedi tabi.yani ben bu işten bişey anlamadım karar vermek iyice zorlaşıyor.

canim haklisin arastirdikca insanin kafasi daha cok karisiyo. Bana da gorustugum hekimler onlere zirkon, arka dislere metal destekli porselen oneriyoruz dediler. Arka dislere isirma cigneme kuvveti falan gerektigi icin metal destekli daha saglam olur dedi. Zirkonyum estetik olarak daha iyi duruyo isigi yansitiyo ve metaldeki gibi disetinin oldugu kisimda morarma yapmiyomus arasindaki fark buymus. Bu arada hospitadentte metal destekli porselen 250 tl, capadentte 300tl. Ben daha karar vermedim haftasonu ortodonti uzmaniyla gorusucem detaylari yazarim zaten karar verince. Ben de senin gibi cok korkuyorum yanlis karar vermekten de bakalim canim.
 
canım sen memnunmusun dişlerinden şuan rahatmı ? kimiside zirkon ile porselen arasında fark yok diyor.ne kadar çok araştırırsan okadar kafan karışıyor zaten.250 dediğinde çok ucuzmu ama zirkonların çin malı olanıda varmış.okadar ucuzsa fiyatı çin malı olur dikkat edin diyolar.onada dikkat etmek lazım ortalama fiyat dediğin gibi 500 tl civarı.mesela geçen ünlü bir doktoru aradım :) o da zirkonyum önermiyoruz biz dedi porselen daha iyi zaten alt desteği zirkon oluyor.onun için farketmiyor arka dişlere dayanıklılık açısından zirkon önerebiliriz ama önlere önermiyorz dedi tabi.yani ben bu işten bişey anlamadım karar vermek iyice zorlaşıyor.
cnm bn zirkon yaptırmadan önce araştırmıştım.porselenin fiyatı daha uygundu hatta porselen yaptırıcaktım ama porselende diş diplerinde kararma oluyomuş bikaç yıl sonra..zirkonda öyle bi sorun oluşmazmış..annemin alt dişleri porselen yaklaşık 8 yıldır ve dikkat etmiştim doğru demişler.fiyatı yükseltmek için diilmiş yani..porseleni oyüzden yaptırmamıştım.bnm bu hafta içerisinde takılıcak dişlerim.çok fazla kanalım oldu oyüzden işlemlerim uzadı..bu hafta yeni dişlermle güzel bi resim çekilip koymayı umut ediyorum :) geçicilerleyse bi sıkıntım yok ama ilk 10 gün aşırı derecede rahatsızlık vermişti.zonklama yapmıştı altındaki dişler kanal istediği içindi oda...bide görsel olarak rahatsız olmuştum haricinde bi derdim yok geçicilerle.bide aynaya bakınca kendimi hala garipsiyorum çünkü dişlerim kapanmıyodu çok çarpıktı ben nooldum diorum :D kazma gb çok kaba üstelik bu geçiciler asıllarıda böylemi olucak endişesi yaşıyodum..geçti..şimdi tek derdim şu geçicilerden sıyrılıp temiz düzgün dişlere kavuşmak
 
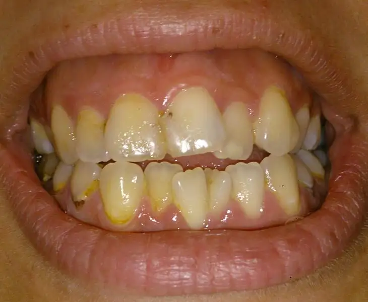
arkadaşlar şuan ki ilk halim ve sonrakim bu...üst 7 alt 7 şeklinde yapıldı dişlerim..geçicilerleyim.önümüzdeki hafta içi yeni halimide koyucam inşallah...işlemlerimde karar verme aşaması dolgular kanallar derken uzadı işlemlerim neyse ki bu hafta biticek
$IMG_20140131_184953.webp
 

Eklentiler

  • $IMG_20140227_205858.webp
    $IMG_20140227_205858.webp
    6,3 KB · Görüntüleme: 580
cnm bn zirkon yaptırmadan önce araştırmıştım.porselenin fiyatı daha uygundu hatta porselen yaptırıcaktım ama porselende diş diplerinde kararma oluyomuş bikaç yıl sonra..zirkonda öyle bi sorun oluşmazmış..annemin alt dişleri porselen yaklaşık 8 yıldır ve dikkat etmiştim doğru demişler.fiyatı yükseltmek için diilmiş yani..porseleni oyüzden yaptırmamıştım.bnm bu hafta içerisinde takılıcak dişlerim.çok fazla kanalım oldu oyüzden işlemlerim uzadı..bu hafta yeni dişlermle güzel bi resim çekilip koymayı umut ediyorum :) geçicilerleyse bi sıkıntım yok ama ilk 10 gün aşırı derecede rahatsızlık vermişti.zonklama yapmıştı altındaki dişler kanal istediği içindi oda...bide görsel olarak rahatsız olmuştum haricinde bi derdim yok geçicilerle.bide aynaya bakınca kendimi hala garipsiyorum çünkü dişlerim kapanmıyodu çok çarpıktı ben nooldum diorum :D kazma gb çok kaba üstelik bu geçiciler asıllarıda böylemi olucak endişesi yaşıyodum..geçti..şimdi tek derdim şu geçicilerden sıyrılıp temiz düzgün dişlere kavuşmak

canım bende aynen zirkonyum yaptırıcam da bende doktora karar veremedim güven sorunum var sanırım :) sana birşey daha sormak istiyorum doktoruna nasıl karar verdin birinin tavsiyesimi küçük biyermi yoksa büyük biryerde diş hastenesinde bir doktoramı yaptırıyorsun.birde kanal tedavisinde canın acıyormu.belki banada gerekebilir ön dişimin arka tarafı hafiften çürümeye başladı sızı yapıyor.herşeyi yaptırdım ama bir tek kanal tedavisini bilmiyorum.altta gördüm geçici dişlerinde takılmış artık az kaldı zor kısmı atlattın yakında güzel dişlerine kavuşacaksın inşallah hadi hayırlısı canım yeni fotoyu bekliyorum artık :40:
 
arkadaşlar şuan ki ilk halim ve sonrakim bu...üst 7 alt 7 şeklinde yapıldı dişlerim..geçicilerleyim.önümüzdeki hafta içi yeni halimide koyucam inşallah...işlemlerimde karar verme aşaması dolgular kanallar derken uzadı işlemlerim neyse ki bu hafta biticek
Eki Görüntüle 999230

Canısı yaaa,bişiy soracam bu senin yaptığın kaplama mı yani dişler oyuldu mu yoksa üstüne yaprak şeklinde yapıştırıldı???
 
arkadaşlar herkes farklı birşey diyor demiştim zirkonmu porselenmi vs. konusunda.büyük bir diş hastenesine mail atmıştım zirkonyom hakkında bilgi ve fiyat verirmisiniz diye gelen cevap:Biz ozellikle on dislerde cok estetik bulmadigimiz icin zirkon tercih etmiyoruz. Onun yerine cok dogal gorunen emax kaplama yapiyoruz. Eger disetinizde problem yoksa islem 1 hafta icinde bitiyor. Zirkonunda emax'inde tanesi 550 euro ( kuru 2.7'den sabitledik)
yani hem çok pahalı hemde zirkon doğal durmaz diyorlar.emax kaplamayı da ilk defa duyuyorum.neyse bunlar işte hep kafa karışıklığı :26:
 
canım bende aynen zirkonyum yaptırıcam da bende doktora karar veremedim güven sorunum var sanırım :) sana birşey daha sormak istiyorum doktoruna nasıl karar verdin birinin tavsiyesimi küçük biyermi yoksa büyük biryerde diş hastenesinde bir doktoramı yaptırıyorsun.birde kanal tedavisinde canın acıyormu.belki banada gerekebilir ön dişimin arka tarafı hafiften çürümeye başladı sızı yapıyor.herşeyi yaptırdım ama bir tek kanal tedavisini bilmiyorum.altta gördüm geçici dişlerinde takılmış artık az kaldı zor kısmı atlattın yakında güzel dişlerine kavuşacaksın inşallah hadi hayırlısı canım yeni fotoyu bekliyorum artık :40:
Canım bn özel bi diş hastanesinde yaptırıyorum...kanal tedavisi hiç acımıyor gerçekten söylüyorum.bnm bi dişime iğne bile yapmadan kanal yaptı zonklama oldu biraz..diğer iğneyle yaptıklarını hissetmedim ayağım bile kıpırdamadı.açtım ağzımı kapayıncaya kadar geçti öyle söyliim :) gözünü korkutma mükemmel dişlerin için razı olman gerekiyor, acısı da yok..inşallah seninde işlemlerin çok çabuk biteer.buarada ben tavsiye üzerine diilde kendi kararımla doktormu seçtim.okuduğu okul fln araştırmştm görüşmeye gittiğimdede iyi izlenim bırakmştı.çalıştığı kurumunda adı olunca tamamdır demiştim.saolsun yanıltmadıda.hem işinde iyi hemde kişilik olarak iyi biri belli
 
merhaba canım bilgilerin için teşekkürederim.bu fiyatlar nasıl bukadar farklılılk gösteriyor hayret birşey kimi 900 kimi 350 demiş halbuki bu nun heryerde aynı olması yada en fazla 100-200 tl farklı olması gerekmiyormu sonuçta yapılan işlem aynı kaplanacak madde belli neyse senin dişlerin nekadar çapraşık merak ettim tel taktırıcakmısın yoksa direkt zirkon işlemine başlıcakmısın kararını verdinmi.gelişmelerden benide haberdar edersen sevinirim bana biraz cesaret gerekiyor ve güven tabiki şansıma pek güvenmediğimden kötü bi doktora giderim istediğim gibi olmaz özellikle doğal durmaz diye çok korkuyorum sonuçta bikere yaptırdıktan sonra geri dönüşü yok onun için doğru karar vermeliyiz.

selam canim, bugun ortodonti uzmaniyla gorustum ve tel taktirmaya karar verdim. Gorustugum kisi prof ve gercekten de guven verdi ben de kaplamadan vazgectim. 7 8ayda uzarsa da max 1yilda tedavinin bitecegini soyledi. Caprasiklik icin ortodonti gormeden estetik dis hekimligine basvurursam cok sacma ve sagliksiz bisey yapmis olurmusum. Mesela benim ust dislerim cikolataninkinden kotu, onun sadece uc kismi digerinin ustune binmis ama benim daha fazlasi. Bu yuzden de kaplama dusunsem iki disi esitlemek icin ya birine kapkalin kaplama yapilcak digerine daha ince yani biri 4mm ise digeri 2mm olacak, ya da diger dis de baya bi kucultulecek boyle olunca da sinir ortaya cikacagi icin ona da once kanal yapilacak, kanal yapmak da disi oldurmek demektir dedi. Tel takip disler yerine oturduktan sonra curuk olup da dolgu yapilmis disim var ona zirkonyum yaptirabilecegimi soyledi. Dis cekimi yaptigim cerrah ve hastane yonetiminden bikac kisiyle daha konustum kesinlikle ortodonti dediler ben de kaplatmaktan vazgectim. Paylasiim dedim. Sen de en dogtu karari birkac yerle gorustukten sonra verebilirsin bence canim, herkesin agiz cene yapisi disleri birbirinden farkli. Bana tel gerekirken belki sana gerekmeyebilir. Gecmis olsun herkese guzel gulusler diliyorum:)
 
Canım bn özel bi diş hastanesinde yaptırıyorum...kanal tedavisi hiç acımıyor gerçekten söylüyorum.bnm bi dişime iğne bile yapmadan kanal yaptı zonklama oldu biraz..diğer iğneyle yaptıklarını hissetmedim ayağım bile kıpırdamadı.açtım ağzımı kapayıncaya kadar geçti öyle söyliim :) gözünü korkutma mükemmel dişlerin için razı olman gerekiyor, acısı da yok..inşallah seninde işlemlerin çok çabuk biteer.buarada ben tavsiye üzerine diilde kendi kararımla doktormu seçtim.okuduğu okul fln araştırmştm görüşmeye gittiğimdede iyi izlenim bırakmştı.çalıştığı kurumunda adı olunca tamamdır demiştim.saolsun yanıltmadıda.hem işinde iyi hemde kişilik olarak iyi biri belli

canım çok sağol inşallah seninde istediğin gibi olur.az kaldı zaten artık yeni dişlerin yapılınca bir fotoğraf bekliyoruz.
 
selam canim, bugun ortodonti uzmaniyla gorustum ve tel taktirmaya karar verdim. Gorustugum kisi prof ve gercekten de guven verdi ben de kaplamadan vazgectim. 7 8ayda uzarsa da max 1yilda tedavinin bitecegini soyledi. Caprasiklik icin ortodonti gormeden estetik dis hekimligine basvurursam cok sacma ve sagliksiz bisey yapmis olurmusum. Mesela benim ust dislerim cikolataninkinden kotu, onun sadece uc kismi digerinin ustune binmis ama benim daha fazlasi. Bu yuzden de kaplama dusunsem iki disi esitlemek icin ya birine kapkalin kaplama yapilcak digerine daha ince yani biri 4mm ise digeri 2mm olacak, ya da diger dis de baya bi kucultulecek boyle olunca da sinir ortaya cikacagi icin ona da once kanal yapilacak, kanal yapmak da disi oldurmek demektir dedi. Tel takip disler yerine oturduktan sonra curuk olup da dolgu yapilmis disim var ona zirkonyum yaptirabilecegimi soyledi. Dis cekimi yaptigim cerrah ve hastane yonetiminden bikac kisiyle daha konustum kesinlikle ortodonti dediler ben de kaplatmaktan vazgectim. Paylasiim dedim. Sen de en dogtu karari birkac yerle gorustukten sonra verebilirsin bence canim, herkesin agiz cene yapisi disleri birbirinden farkli. Bana tel gerekirken belki sana gerekmeyebilir. Gecmis olsun herkese guzel gulusler diliyorum:)

günaydın canım :3: görüştüğün ortodonti uzmanı nerde acaba. peki taktıracağın tel normalmi yoksa şeffafmı.aslında en doğrusunu yapıyorsun zirkonyumda olsa kendi dişin gibi olmayacak.daha önce sormuşmuydum hatırlamıyorum ama kaç yaşındaydın ? tedavi süreci 1 yıl iyiymiş ben okumuştum tel tedavisi 2-5 yıl arasında bitiyormuş.tabi yaşa göre değişiyormuş.aslında senden bişey rica etsem dişlerinin fotoğrafını çekip yükleyebilirmisin,bende yeniyiym beceremedim bi türlü fotoğraf yüklemeyi.yüklesek aslında konuşurken daha iyi olur en azından bir fikrimiz olur.
 
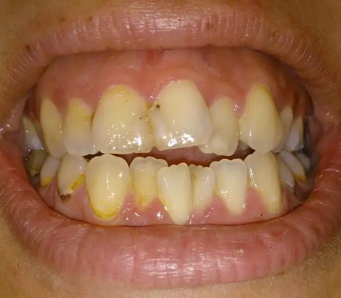
canım ortalama 15-20 dakika sürer.ücret olarakta bnm doktorum ön dişlere 230 arka dişlere 270 lira demişti kanal tedavisi için.buarada üst dişlerime geçicilerde takıldı.on gün içerisinde bitmiş olucakmış.bunlar geçici olduğu için özenilmiyo biliyosun kaba sabalar.ama gerçekler bu şekilde olmicakmış arasında büyük fark oluyomuş.şuanki öncem ve sonram bu.yarın alttan iki dişime daha zirkon yapılacak.üst 6 alt 8 dişim yapılıyor.yine üstte eğiklik falan var ama onlar düzelicekmiş.yinede büyük şekil değişikliği olduğu için mutluyum
Eki Görüntüle 984448 Eki Görüntüle 984449

Canım sen zirkon yapıldığına eminmisin? Bu verdiğin fiyata metal destekli yapılıyo. Zirkonyumun genlde fiyatı 250$ falan. Tekini 500den falan hesaplıyolar


iPhone 'den Kadınlar Kulübü aracılığı ile gönderildi
 
Back
X