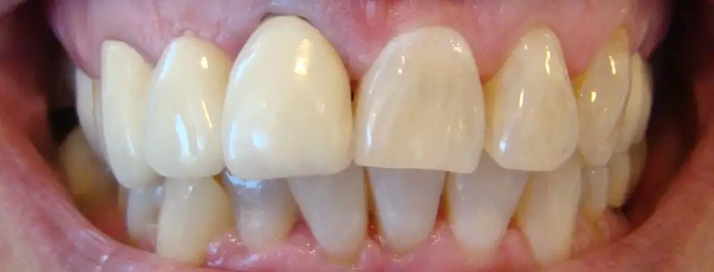
Hakkaten fotoda fena gözükmüyor:)) Ama yanlardan bakıldığında yan iki dişlerim ön dişlerimin önüne yamuk bir şekilde geliyorlardı ön dişlerimde gerideydi. Dikkat edersen sonraki halinde yan dişler olması gereken yerdeler.özetle beni rahatsız eden durum ortadan kalktı.[/QUOTE
seinfeld senin dişlerinde hiçbir problem yokmuş. dişlerini kesen doktor bence suç işlemiş.
süreç şöyle işliyor , kim ne kadar yapma etme dese de gidip yaptıracaksınız. garip bir psikoloji kesim bittikten sonra anestezi geçemeye başlayınca aynaya bakıcaksın ne yaptım ben diceksin. hayatının pişmanlığı olacak. asla geri gelmeyecek. dişlerin güzel olacak gülüşün parlak olacak ama asla eskisi gibi konforlu rahat ısıramayacaksın , konuşmanı sıkacak. çok memnunum yazmışlar tavsiye etmişler ama hiç biri gidip 1 tane daha dişini kestirmez bir daha asla. çok üzüldüm kafa yordum aradım sordum. tel tedavisi kompozit dolgu ile yapılamayacak diş kırık çürük çarpık yokmuş. bunu kendinize yapmayın yol yakınken vazgeçin. SARI ÇÜRÜK ÇARPIK DİŞLERİM GÖRÜNMEZİN DİYE GÜLEMEMEK , 25 YALINDA SAHTE AKMA DİŞLERİM GÖRÜNMESİN DİYE GÜLEMEMEKTEN 1000 KAT DAHA İYİDİR