Oncelikle çok teşekür ederim doğru ve samimi yorumladıgin için. Şuan ki dişlerimi begenmene de sevindim

Senin durumuna gelirsek, inan çok geçmiş olsun üzüldüm. Çünkü başıma gelmesinden en çok korktuğum şey.
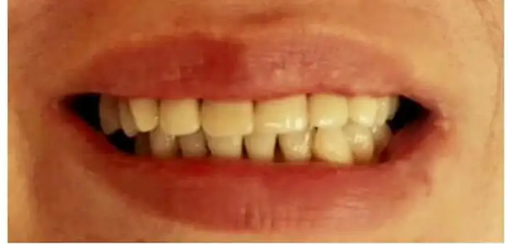
Yükseklik olmaması gerek yapan doktorun buna özen göstermesi gerekiyordu.
Iltihap var ki evet yüzünde ödem olmuş.
Röntgen de görünmez evet ama panaromik film de görünür hersey.
Panaromik film çekildimi acaba ?
Tek tek mi yapıldı kaplamaların yoksa köprü şeklinde mi ?
Eger tek tek se hangi dişte sorun varsa mecburen sökülüp müdahale edilir.
Tabi ki inşallah böyle bir şeye gerek kalmasın. Ama büyük ihtimal kanal yapılması gerek.
Antibiyotik falan başlattımı doktor belki ilaç tedavisi fayda eder.