- 9 Ekim 2020
- 5.946
- 7.991
- 198
- Konu Sahibi Catlak-kurabiye
-
- #341
Aynen kötü düşünme cnm nasip olacaksa herşey bahane inan.inşlh güzel sonuclar alıcazzzSağol canım. kist için tutunmaya engel olabiliyor dedi. o yüzden biraz huzursuzum ama bu sefer olacak inşallah kötü düşünmek yok.
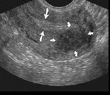
Evet rahim duvarıyla ilgili 3 çizgi sağ sol duvarın eşit ve belirgin şekilde oluşmasıyla oluyor geçen resim paylaşmıştım.zaman zaman olabiliyor kalıcı bir durum değil 3 çizgi olmaması .östrojen dağılımıyla ilgiliKızlar merhabalar son günlerde 3 çizgi olayını görür oldum bu sayfalarda. Rahim kalınlığıyla mı ilgili bu ilk kez duydum?
Herşey nasip canım hayırlı zaman bu zaman değilmiş demekki pes etmek yok kafanı rahatlat hayırlısı ile yeni tedavinde pozitifi görürsün inşallahMerhaba kızlar. Bu gün bam başka bir gün olabilirdi benim için eğer kan testinde pozitivi görebilseydimYaptığım 2 idrar testinde sonucu anlamış olsamda eşim yinede umutluydu. Yanımda hüngür hüngür agladı. Ona daha çok üzüldüm.a kalite 5. gün embriyosuydu neden tutmadı ki? 2 tane dondurulmuş embriyom var. 2. transferde 2 sinide koyarlarmı acaba?Bundn sonra beni neler bekliyor?tecrübeli olanlar varsa anlatabilitlermi
İnşallahh, yarın olsun hayrolsunCanim sen stres yapma bu çok kişide olmamış tek tük hep olcak die bişe yok o kadar aradım çok az kişide vardı lütfen endiselenme stres yapma hormonlarımx etkilenmesin binde bir olan bişe sende olcak die bişe yok kuzum
Yarın bakayım bakalım benımkı nasıl gorunecek1.resim dalgalı yani eşit şekilde kalınlaşmamıs bir tarafı ince bir tarafı kalın
2.3.çizgi oluşmamış fazla kalın rahim duvarı
3.3çizgi oluşmuş transfere uygun duvar
Evet malesef ben acı bı sekilde tanıştım hep okudum öncesinde kalınlık yüzünden iptal onu takmıştım bende ama onda bile bı sistem varmış1.resim dalgalı yani eşit şekilde kalınlaşmamıs bir tarafı ince bir tarafı kalın
2.3.çizgi oluşmamış fazla kalın rahim duvarı
3.3çizgi oluşmuş transfere uygun duvar
Dediğim gibi kuzum her ay aynı olacak die birşeyy yok için rahat olsunEvet malesef ben acı bı sekilde tanıştım hep okudum öncesinde kalınlık yüzünden iptal onu takmıştım bende ama onda bile bı sistem varmışbenim daginikti
İnşallah güzel olur bebeğim haber ver bizedeYarın bakayım bakalım benımkı nasıl gorunecek
Saol kuzummDediğim gibi kuzum her ay aynı olacak die birşeyy yok için rahat olsun
Canın sklmasn cnm 5aa olan herkes te pozitif görmedi yani kısmet işi sonucta blast embryo olusmus daha ne olsun.
Çok geçmiş olsun.Ne kadar üzülme nasip desek de üzüleceksin aynı şeyleri iki defa yaşadım senin gibi en çok eşime.uzuldum.ama gerçekten her nasip vaktine esir.Vakti zamanı gelince kavusacaksin kavuşacağız inşallah.Allah güç versin.Yasa göre veriyorlar genelde 35 yaş ve üzerine çift yapılıyor ama bazı doktorlar cift yapıp evrak üzerinde tek gösteriyorMerhaba kızlar. Bu gün bam başka bir gün olabilirdi benim için eğer kan testinde pozitivi görebilseydimYaptığım 2 idrar testinde sonucu anlamış olsamda eşim yinede umutluydu. Yanımda hüngür hüngür agladı. Ona daha çok üzüldüm.a kalite 5. gün embriyosuydu neden tutmadı ki? 2 tane dondurulmuş embriyom var. 2. transferde 2 sinide koyarlarmı acaba?Bundn sonra beni neler bekliyor?tecrübeli olanlar varsa anlatabilitlermi
Çok takılma kaliteye ben iki ke 5a yani birinci kalite verildi ama tutmadı.Arkadasin en kötü kalitede vardı doktor yapmayalim boşuna tutmayacak dedi ama arkadas olsun yapın dedi ve tuttu kucağına aldı bile.Nasipte varsa kalite en iyi olmasa da tutar kendine stres yapma sonuç belli sadece biz bilmiyoruzMerhabalar herkese sabahtan beri baya stresliydim.
5. gün bugün embriyolar gelişmeye başlayalı yeni aradı embriyolog.
Bir embriyom 3bb kaliteymiş, diğerleri için yarın bilgi verecekmiş.
Embriyo kalitelerinden zerre anlamıyorum dış kaynaklar da moralimi bozuyor. Bana moral verin nolur.
Rahat ol stres yapma genelde aksi bir durum olmadıkça herkeste oluşuyor.Olmayan çok nadirYaa ben bu 3 cızgı olayını burdan ogrendim, ilk kez dondurulmus transfer olcam, yarın son kontrolum var, stres bastı ıyice benı de bu yuzden
Umarım önümüzdeki ay hersey yolunda ilerler, hakkınızda hayırlısı olsun
31 yaşindayım ama son 2 embriyo olduğundan Şans artsın diye 2 sinide koymalarını istedidiğimi söyleyecem. maddi gücümde bitti artık. Hiç yoksa birinden biri tutar diye düşünüyorum.Hakkimizda hayırlısı olsunÇok geçmiş olsun.Ne kadar üzülme nasip desek de üzüleceksin aynı şeyleri iki defa yaşadım senin gibi en çok eşime.uzuldum.ama gerçekten her nasip vaktine esir.Vakti zamanı gelince kavusacaksin kavuşacağız inşallah.Allah güç versin.Yasa göre veriyorlar genelde 35 yaş ve üzerine çift yapılıyor ama bazı doktorlar cift yapıp evrak üzerinde tek gösteriyor
Mantıklı tabi şans biraz daha artıyor.Nasipte yoksa yine olmuyor.Benim ilk deneme çift ikinci tek verildi.simdi yine çift verilecek.Doktorun yasal değil derse evrak Üzerinde tek gösterin diye teklif et inşallah kabul eder ve mutlu sona ulasirsin31 yaşindayım ama son 2 embriyo olduğundan Şans artsın diye 2 sinide koymalarını istedidiğimi söyleyecem. maddi gücümde bitti artık. Hiç yoksa birinden biri tutar diye düşünüyorum.Hakkimizda hayırlısı olsun
Ben de gittim bugün kontrole çok şükür 10.4 dedi doktor çatlatma iğnemi oldum hormonlar da iyi çıktı haftaya salı transferim var inşallahSelam kızlar
Kontrole gıttım bugun estrofemın 6.günü bugun endometrıum 9.2, doktor cok guzel dedı hatta Hemsıreye emın mısın 6.gun oldugunda dedı, sonra ılac dozunu düşürdüler, bir gün sabah aksam, diğer gün sabah ikindi gece, çarşambaya kadar boyle olacak.. Kontrol çarşamaba gunu
Transfer günü de çarşamba gunu kesınlesecek buyuk ıhtımal haftaya carsamaba olur dedı doktor
İnsallah canım ya, valla transfere kadar bısey okumasam mı dıyorumRahat ol stres yapma genelde aksi bir durum olmadıkça herkeste oluşuyor.Olmayan çok nadir
Çatlatma ıgnesı ne ıcın canım?Ben de gittim bugün kontrole çok şükür 10.4 dedi doktor çatlatma iğnemi oldum hormonlar da iyi çıktı haftaya salı transferim var inşallah
We use cookies and similar technologies for the following purposes:
Do you accept cookies and these technologies?
We use cookies and similar technologies for the following purposes:
Do you accept cookies and these technologies?