Ayağım sizce kırık mı?

emml00

Yeni Üye
Kayıtlı Üye
11 Temmuz 2023
2
0
1
27
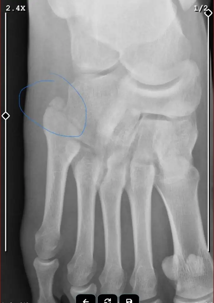
Selamlar herkese, geçen günlerde ayağım'a darbe aldığım için şişti ve morardı acile gittiğimde röntgen çektiler ve çatlak olduğunu söylediler sonra ortopedi doktoruna yönlendirdiler. Ortopedi doktoru röntgene bakarak kırık değil yumşak doku zedelenmesi alçıya alacağız en az 20 gün kalacak dedi. Acildeki doktorun dediği kafamı karıştırdı ve röntgen de çatlak olduğunu düşündüğüm bir yer var. Aşağıya röntgeni ekliyorum sizce çatlak mı?
 

Eklentiler

  • 21c40909-c3d4-4425-8039-779fb3b921b6.webp
    15,7 KB · Görüntüleme: 493
  • teletip_1688928969346.webp
    6,5 KB · Görüntüleme: 395
Valla bilemiyorum, kalça kırığıma ortopedi doktoru "evde dinler geçer" demişti de arkadaki asistan görmüştü. Yoksa yanlış kaynayacaktı. Kemikler beni korkutuyor bence başka doktora gidin şansınız varsa
 
Cokta yoruma acik degil sonucta rontgen var cok garip olmus farkli konusmalari ama benim oyun acildekilerden yana
 
Yumuşak dokuyu alçıya alıyorlarmıymış... benim bildiğim krem verip hasas bölgeye dikkat et derler.
Zaten çatlak da olsa alçakları 2 haftalık atel alçı o yüzden içiniz rahat olsun ama aklınızda şüphe varsa tekrar gidin tabii başka doktora.
 
yani adam doktor sonucta, biz ondan daha iyi bilecek değiliz ya ( burda ki doktorları ayırarak söylüyorum )
 
çok şişme ve morarma varsa röntgende görülemeyebiliyor kırık. tomografi çektirin bence.
 

benim oğlan çatlattı ayağını atel matel takmadılar üstüne basma dediler koltuk değneği kullandı. kaldı ki yumuşak doku zedelenmesi alçıya alınsın.
çok saçma.
 
Doktora guvenmeyerek buraya sormak ilginç doktor boşuna okuyup doktor olmus
2 doktordan da farklı cevap gelince kafama karıştı. Ortopedi doktorunun tabii ki alanı ona daha fazla güvenebiliriz ama acilden gelenlere bakan doktor ilgisizdi ayağıma bile bakmadı ve doku zedelenmesi röntgenden anlaşılıamıyormuş. O yüzden burada doktor olan ya da daha önce böyle bir şey yaşayan var mı diye merak ettim.
 
benim oğlan çatlattı ayağını atel matel takmadılar üstüne basma dediler koltuk değneği kullandı. kaldı ki yumuşak doku zedelenmesi alçıya alınsın.
çok saçma.
Aa o da temelli sorumsuzmuş. Ben 2 defa catlattim bir kolumu bir ayağımı ikisinde de atele aldılar.
Hatta kolum dirsektendi 2 hafta başımın üstünde taşıdım.
Sonra ikinci gittiğim doktor senin ilk filminde ki çatlağı doktor iyi görmüş ya ben pek göremedim iyileşmiştir herhalde dedi açtı alçıyı
 
Röntgenin raporu yazmıyor mu? Radyologlar daha iyi bilir. Klinisyen bilmeyebilir, gözünden kaçabilir.
 
Ortopedi doktorunu onaylıyorum. Çatlak veya kırık yok. İşaretlediğin alan anatomik olarak böyle parçalıdır.
 
Ben sağlam ayak kemiği nasıl olur bilmediğim için işaretlediğini yer normal mi değil mi bilemedim. Tıp diplomam olaydı keşke
 
Açılın çapanın gururu Birgaripinsan geldi. Evet dostum femur kemiği kırılmış. Bildiğim tek kemik adı bu, kesin odur kırılan.
 
Bir ayrılma görüyorum ama ayağın orijinal hali öyle mi bilmiyorum.Siz bence ikinci bir doktora gösterin.Kardesime yumuşak doku ezilmesi dediler kız sabaha kadar agladi sabah tekrardan hastaneye gittik meğer kırıkmış.
 
Bu siteyi kullanmak için çerezler gereklidir. Siteyi kullanmaya devam etmek için onları kabul etmelisiniz. Daha Fazlasını Öğren.…