• Merhaba, Kadınlar Kulübü'ne ÜCRETSİZ üye olarak yorumlar ile katkıda bulunabilir veya aklınıza takılan soruları sorabilirsiniz.

Diş teli ile ilgili soru, sorun ve deneyimleri paylaşalım

benda ilk taktırdgımda cok feci agrılar yuzunden yazmıstım ilk mesajımı:)
herkesin dedigi gibi kesinlikle geciyor. ilk 1 hafta zor. sonrasında yaralarda yavas yavas iyileşiyor. 15-20 gun içinde alışmıs oluyorsun. şu an agzımda var mı yokmu onu bile hissetmiyorum ben. düzelicektir mutlaka calışırsın sende rahat rahat vizelerine..

Canım ağrısı acısı kalmadı Allah'ıma çok şükür.Sadece yemek problemim var.Onuda halledersem hiç sorun kalmayacak.:)


sakın vazgeçme bence. ben 28 yaşındayım ve keşke taktırsaydım diyorum daha önce.kendimi sıkar katlanırdım o sıkıntıya.sonunu düşünsene.harika bir ağız yapısı

Canım sen şeffaf istiyormuşsun bende şeffaf taktırdım.Hiç belli olmuyor.Ağrısı sadece ilk gün oldu.Şimdi gayet iyiyim.Bir an önce taktırsan iyi edersin.Ben doktorda 32 yaşında tel taktıran bile gördüm.Yaşı çok sorun etme bence.Bende 20 yaşındayım yeni taktırdım daha.
 
nena _ ewet maleseff yeni taktırdım keske daha önceden taktırmıs olsaydım iş basvurusunda eksi bir etkenmiş onu anladım :(
 
slm kizlar bende dis teli taktirmak istiyorum ama burda bayaaa pahali bana 2300 euro ya mal olacak seffafi ise 2700 ne yapacagim ben ? dr bana dis cekilmesine gerek yok ben cekmiyorum dedi acaba dis cekilse hemen yerine oturur mu disler cekilmedigi zaman uzun zamanda duzelir gibi geliyor benim yukarda ana disimin yanindaki dis ic tarafta diger dislerimde hafif carpiklik var yani ucundan kiyisindan :) dumduz degil okuduklarimda hep dis cekimi olmus acaba baska dr a mi gitsemki ?bana dr niye ben cekmiyorum dedi ki? bu arada ben 26 yasindayim:3::3::3:
 
ya kızlar bu şeffaf dediğinizin teli de seffaf mı yoksa sadece braketleri mi? sigara kullanıp şeffaf taktıran var mı ayrıca??
 
Merhabalar,ben ilkay (:
benim şöyle bir sorunum var fotoğrafı ekliyorum sizler daha iyi görürsünüz
ben de diş teli taktırmak istiyorum 21 yaşın içindeyim
fakat iki doktora gittim birisi 4 yıl muhakkak kalmalı dedi ama bence ihtiyacın yok bir tek diş için değmez dedi
diğeri de en fazla 1 yıl kalır dedi
kafamı çok karıştırdılar
çevreme soruyorum hiç gereği yok bence taktırma diyorlar
ve sorunlu sadece 1 diş .s
sizlerinde görüşünü almak istedim
 
Merhabalar,ben ilkay (:
benim şöyle bir sorunum var fotoğrafı ekliyorum sizler daha iyi görürsünüz
ben de diş teli taktırmak istiyorum 21 yaşın içindeyim
fakat iki doktora gittim birisi 4 yıl muhakkak kalmalı dedi ama bence ihtiyacın yok bir tek diş için değmez dedi
diğeri de en fazla 1 yıl kalır dedi
kafamı çok karıştırdılar
çevreme soruyorum hiç gereği yok bence taktırma diyorlar
ve sorunlu sadece 1 diş .s
sizlerinde görüşünü almak istedim
Kesinlikle 4 yıl falan kalmaz abartmış bence o doktor.Ben de 1yıla yakın bir süre kalacağını düşünüyorum.Aslında hiç sorun yok dişinin ama sen mutsuzsan ve rahatsız oluyorsan ozaman taktır derim.
 
şeffaf diş telinin sadece braketleri mi şeffaf normal teli de şeffaf mı? lütfen birisi cevap versin çok telaşlanmış durumdayım yarın 4de randevum var :'(
 
şeffaf diş telinin sadece braketleri mi şeffaf normal teli de şeffaf mı? lütfen birisi cevap versin çok telaşlanmış durumdayım yarın 4de randevum var :'(

sadece braketleri şeffaf canım doğada renksiz metal olmadıgı için tel kısmı normal metal tel..ama il takıldıgında o tellerde diş rengine yakın bı renge boyanmış oluyor sen fırcaladıkca tel rengi ortaya cıkıyor sadece braket şeffaf kalıyr ama bence hiç rahatsız edıcı bır göruntusu yok.bende şeffaf kullanıyrm 6 ay oldu.
 
bahsettiğin teflon kaplı tel mi? diş renginde dediğin? benim doktorum onlar soyuluyor çok çirkin görünür normal takalım teli dedi. ya ben bir arkadaşımla birlikte taktıracaktım aynı gün randevumuzu aldık gittik ama benim yirmilikler çıktı meydana :( o takalı 1 ay oluyo ve pişman gibi (metal taktırdı o) sürekli ne zaman çıkacak? erken çıkar mı acaba deyip duruyor. rahatsız mı oluyosun diye sordum evet dedi. herkes dişlerin düzgündü gerek yoktu diyor diye morali bozulmuş. benim dişlerimin de bakınca rahatsız eden bir yanı yok. bana arkadaşlarım taktırma diyor sürekli ama bir dişim yamuk ve ben acayip rahatsız oluyorum. sigarayı da bırakmaya çalışıyorum şimdi bir de sararmış braketlerle uğraşamıycam :/
 
Benimde üste iki köpek dişim yukarıda özel hisar hastanesinde diş teli taktırıcam özel ölçü aldılar bu diş telleri dişin iç kısmına takılcak gözükmicek gülerken veya konuşurken 10 milyar istediler ölçü içinde 2500 tl aldılar normalmi bu ücretler ?
 
lingual diş telleri normale göre pahalı oluyor evet. 10 bin normal bence. ama onlarla tedavi daha uzun sürüyormuş sanırım. benim arkadaşımın erkek arkadaşı takıyor ama o normal ortodontik tedavi gördükten sonra erkeklerin alt dişleri çabuk bozuluyor diye koruma amaçlı takıyor.
 
herkese merhaba.. hanımlar bana yardım ederseniz çok sevinicem.
ben 18 yaşımdayım ve yıllardır bu tedavimi yaptırmak istiyorum ama malesef maddi imkansızlıklar ve ailemin hiç önem vermemesi nedeniyle yaptıramadım. bu yıl üniversiteye başladım ve sanırım hisettiklerimi ben söylemeden anlıyosunuzdur. :43:
sormak istediğim sorular var. İstanbulda avrupa yakasında tedavisine devam eden ve memnun olan var mı aranızda?

birde işin maddi boyutu var tabi... benim dolgularımında yapılması lazım ama ortalama bir fiyat verebilir misiniz?
ben öğrenci olduğum için kendim ödeme yapıcam yani taksit durumu çok önemli ve devletten aldığım kredimi kullanıcam. deli olduğumu düşünenler var ama insanın psikolojisini nasıl etkilediğini anlatamıyorum onlara.. kendime güvenim kalmadı artık. bir ortama girdiğimde ağzımı açamamaktan bıktım :43:

lütfen biraz bilgilendirin beni.. şimdiden teşekkürler.. :30:
 
Kızlar doktordan geldim damağımdaki yer tutucu çıktı çok rahatladım yan kesici dişim yukarı çıkarılmaya başlandı 3 ayda çıksa diyorum 2 ayda alt üst ayarlaması olsa 5 ayda bu diş mevzusu biter diye düşünüyorum çok mutluyum şimdilik en azından damağımdakinden kurtuldum
 
herkese merhaba.. hanımlar bana yardım ederseniz çok sevinicem.
ben 18 yaşımdayım ve yıllardır bu tedavimi yaptırmak istiyorum ama malesef maddi imkansızlıklar ve ailemin hiç önem vermemesi nedeniyle yaptıramadım. bu yıl üniversiteye başladım ve sanırım hisettiklerimi ben söylemeden anlıyosunuzdur. :43:
sormak istediğim sorular var. İstanbulda avrupa yakasında tedavisine devam eden ve memnun olan var mı aranızda?

birde işin maddi boyutu var tabi... benim dolgularımında yapılması lazım ama ortalama bir fiyat verebilir misiniz?
ben öğrenci olduğum için kendim ödeme yapıcam yani taksit durumu çok önemli ve devletten aldığım kredimi kullanıcam. deli olduğumu düşünenler var ama insanın psikolojisini nasıl etkilediğini anlatamıyorum onlara.. kendime güvenim kalmadı artık. bir ortama girdiğimde ağzımı açamamaktan bıktım :43:

lütfen biraz bilgilendirin beni.. şimdiden teşekkürler.. :30:

dolgunun genel olarak fiyatı sabittir 80 lira. tel fiyatıysa tamamen dişlerin durumuna, yapılacak işlemlere göre değişiyor o da ortalama 3000 diyebilirim tabi eğer metal değil şeffaf malzeme istiyorsan 500 dolar gibi bir oynama oluyor fiyatta. benim doktorum 12 ay taksit yapıyor. bence forumda falan hiç vakit kaybetme direk bir dişçiye gidip onunla konuş. öğrenci olduğunu maddi durumunu paylaş yardımcı olmaya çalışır o da.

ben de 18 yaşındayım internette araştıra araştıra kafayı yedim ama arkadaşım dürte dürte babana söyle bize dişçi bulsun beraber taktıralım diyene kadar harekete geçmedim. arkadaşımınkini taktılar benimkine yirmilikler çekilecek dediler 1 ay öyle kaybettim. bugün gittim aa senin tartarları temizlememişiz dediler şimdi 1 hafta da ordan kaybedicem. :(
 
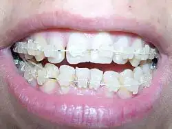
ayy hayırlı olsun :D hiç üzgün surat yapma çok güzel görünüyorlar :)
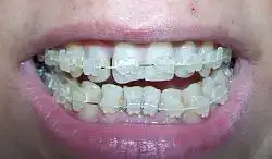
benimki de aynen böyle takılacaktı bugün ama olmadı :( ice değil mi bu? doktor bana telini de teflon takıcaz ama 2 haftaya kalmaz teflon soyulur metal kısmı kalır dedi. bakalım eğer soyulunca çirkin görünürse bir dahaki değişimde normal metal taktırırım.
 
ayy hayırlı olsun :D hiç üzgün surat yapma çok güzel görünüyorlar :)
benimki de aynen böyle takılacaktı bugün ama olmadı :( ice değil mi bu? doktor bana telini de teflon takıcaz ama 2 haftaya kalmaz teflon soyulur metal kısmı kalır dedi. bakalım eğer soyulunca çirkin görünürse bir dahaki değişimde normal metal taktırırım.

Canımm çok teşekkür ederim.Benim direk metal taktılar teli.Sende öyle taktır.Şeffaf olması çok iyi oldu.Ben söylemeden pek çok kişi farketmiyor.Anca yakınıma gelince belli oluyor.Umarım hepimiz istediğimiz dişlere kavuşuruz!:)
 
Eki Görüntüle 201217 Eki Görüntüle 201216

umarım becerebilmişimdir diye düşünüyorumm
sabah sabah çektim fotoları
fotoda daha kötü görünüyoo bide çok yakından çektiğim içinnn;; ben bile ürktüm bu kadar kötü mü görünüyor diyee
gerçi benim açık kapanışım vardıı ve çok ileri derecedeydi şimdi sol taraf kapandı sağ taraf hala açık kapanıoo; bunu için çene ameliyatı olacam zaten tellerimden bu nedenle takıldı
ama üst dişerim tel takıldıktan sonra daha kötü çarpık oldu:((( ön iki dişimm daha iyi duruyodu şimdi birisi arkaya doğru kaydı umarım düzelir
gerçi ortodontidtin derdi alttaki dişeri hizaya sokmak onun için paket lastiği takıyorum bir tarafa
çene ameliyatımdan sonraaa kapanmış halinide koyarım inşalla
ve en son bitmiş halinii
ben bile merak ediyorumm
bu arada lastiklerim saramış baya fotoda onu farkettim :))) neyse yarın kontrole gidecem zaten değiştirir


yaklaşık 6 ay önce foto çekip koymuştum tekrar koyayayım

$100_2219.webp $100_2221.webp

bu 6 öy önceki hali

bu fotolardan yaklaşık 4 ay sonra çift çene ameliyatı oldum

ameliyatımın üzerinden 2 aya yakın bir zaman geçti

$SAM_0209.webp

[ $SAM_0215.webp

bunlarda ilk çektiğim fotoğraflardan yaklaşık 6 ay sonra ameliyattantanda yaklaşık 2 ay sonra

şuan bu durumdalar ilk haline göre çok çok iyi ben bile görünce mutlu oluyorum:))))
 
hayırlı olsun canım. alt çenen falan geriye çekildi heralde.
ilk resimlerde senin de teflon telin soyulmuş. ne kadar zamanda soyulmaya başlıyor? ben ilk seferde teflon takmak istiyorum ilk gün okulda herkes ağzımın içine bakacağı için ne kadar estetik görünürse insanları başımdan savmam o kadar kolay olucak.
 
Back
X