• Merhaba, Kadınlar Kulübü'ne ÜCRETSİZ üye olarak yorumlar ile katkıda bulunabilir veya aklınıza takılan soruları sorabilirsiniz.

Diş teli ile ilgili soru, sorun ve deneyimleri paylaşalım

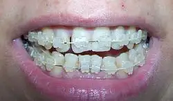
kızlar bu lastiklerin ne sıklıkta değişmesi gerekiyor? benim tel takılalı 40 gün oldu,baya sarardı lastikler.ilk kontrolde değiştirmedi doktor.bende merak ediyorum arada değişse fena olmucak çünkü şuan sapsarı oldular :S
 
yaklaşık 6 ay önce foto çekip koymuştum tekrar koyayayım

Eki Görüntüle 287292 Eki Görüntüle 287293

bu 6 öy önceki hali

bu fotolardan yaklaşık 4 ay sonra çift çene ameliyatı oldum

ameliyatımın üzerinden 2 aya yakın bir zaman geçti

Eki Görüntüle 287294

[Eki Görüntüle 287295

bunlarda ilk çektiğim fotoğraflardan yaklaşık 6 ay sonra ameliyattantanda yaklaşık 2 ay sonra

şuan bu durumdalar ilk haline göre çok çok iyi ben bile görünce mutlu oluyorum:))))
canım dişlerin süper olmuş..çene ameliyatını neden olmuştun? bende açık kapanış var ayrıca alt çenem geride.tel tedavisinden sonra birde çene taktırsam fena olmucak çünkü hiç çenem yok :S ameliyat derken ne yaptılar merak ettim.çünkü ben çene ameliyatının zor olduğunu duymuştum.
 
hayırlı olsun canım. alt çenen falan geriye çekildi heralde.
ilk resimlerde senin de teflon telin soyulmuş. ne kadar zamanda soyulmaya başlıyor? ben ilk seferde teflon takmak istiyorum ilk gün okulda herkes ağzımın içine bakacağı için ne kadar estetik görünürse insanları başımdan savmam o kadar kolay olucak.


alt çenem ileri üst çenem geri alındı
teflon tel 10 günde soyuluyor yaaa; braketlerin porselensee telin teflon olmasının çok etkisi olmuyo zaten
bence soyulunca daha bir gıcık görünüuoo
 
kızlar bu lastiklerin ne sıklıkta değişmesi gerekiyor? benim tel takılalı 40 gün oldu,baya sarardı lastikler.ilk kontrolde değiştirmedi doktor.bende merak ediyorum arada değişse fena olmucak çünkü şuan sapsarı oldular :S


ilk zamanlar çok sık kontrole gidiyordum ben 2 haftada bir değiştiriyordu şimdi 1 ayda gidiyorum kontrole
her kontrolümde o lastikleri değiştiryor
 
canım dişlerin süper olmuş..çene ameliyatını neden olmuştun? bende açık kapanış var ayrıca alt çenem geride.tel tedavisinden sonra birde çene taktırsam fena olmucak çünkü hiç çenem yok :S ameliyat derken ne yaptılar merak ettim.çünkü ben çene ameliyatının zor olduğunu duymuştum.

canım fark ettiysen benimde açık kapanışım var resimlerde
zaten ben açık kapanıştan rahatsız olduğum için tel taktırmaya karar verdimm
ortodontistlerin kapısını o kadar çok aşındırdım ki hepsi çene amliyatı olman lazım dedi
bende çok çok zor bir ameliyat olduğu için yaklaşık 5 yıl erteledim ve sonunda karar verdim telleri taktırdımm
tel takılmadan önceki halinde açık kapanışım daha fazlaydı teller takılınca biraz azaldı ama yinede açık kapanış vardı
üstelik enin dediğin gibi benim alt çenem gerideysi ve çok küçüktü
ortodontistim tedaviye başlarken çift çene ameliyatı olamn lazım dedi ve ona göre başladım tedaviye
tel takıldıktan 8 ay sonra ameliyat oldum
alt çenem ileri alındı ve çene ucuma protez konuldu
üst çenemde geri alındı
ameliyatım yaklaşık 6 saat sürdü; söylediğin givi gerçekten çok zorr çünkü yaklaşık 1 ayda kendini ancak toparlıyorsun ve ödemlerin ancak iniyor
bidee çiğnemek ısırmak yasak 2,5 ay boyunca
benim ameliyat olalı 7 hafta oldu şuan dişlerim bu durumdaa ilk zamanına göre çok fark varr ve ben dişlerimi gördükçe çok mutlu oluyorumm
inan ameliyat olduğuma değdi:))))
 
canım fark ettiysen benimde açık kapanışım var resimlerde
zaten ben açık kapanıştan rahatsız olduğum için tel taktırmaya karar verdimm
ortodontistlerin kapısını o kadar çok aşındırdım ki hepsi çene amliyatı olman lazım dedi
bende çok çok zor bir ameliyat olduğu için yaklaşık 5 yıl erteledim ve sonunda karar verdim telleri taktırdımm
tel takılmadan önceki halinde açık kapanışım daha fazlaydı teller takılınca biraz azaldı ama yinede açık kapanış vardı
üstelik enin dediğin gibi benim alt çenem gerideysi ve çok küçüktü
ortodontistim tedaviye başlarken çift çene ameliyatı olamn lazım dedi ve ona göre başladım tedaviye
tel takıldıktan 8 ay sonra ameliyat oldum
alt çenem ileri alındı ve çene ucuma protez konuldu
üst çenemde geri alındı
ameliyatım yaklaşık 6 saat sürdü; söylediğin givi gerçekten çok zorr çünkü yaklaşık 1 ayda kendini ancak toparlıyorsun ve ödemlerin ancak iniyor
bidee çiğnemek ısırmak yasak 2,5 ay boyunca
benim ameliyat olalı 7 hafta oldu şuan dişlerim bu durumdaa ilk zamanına göre çok fark varr ve ben dişlerimi gördükçe çok mutlu oluyorumm
inan ameliyat olduğuma değdi:))))

canım senin adına çok sevindim.Böyle zor bir ameliyatı göze almışsın ve çok şükür ki her şey yolunda..ama bende o cesaret yok :( resmen bird face(kuş yüzü) durumu benimki.dişlerde açık kapanış,alt çene de geride olunca.çene kısmım kendimi bildim bileli kırışık ve içe çökmüş vaziyette.fotoğraflarda falan çok belli oluyor.en son görüştüğüm plastik cerahi uzmanı.ortodonti tedavin bittikten sonra çene ucuna ufak bi protez ile hallederiz demişti.şuan dişlerim düzeldikçe sanki çenem de az da olsa düzeldi.bende ortodonti tedavimin bitmesini beklicem mecburen.
 
yaklaşık 6 ay önce foto çekip koymuştum tekrar koyayayım

Eki Görüntüle 287292 Eki Görüntüle 287293

bu 6 öy önceki hali

bu fotolardan yaklaşık 4 ay sonra çift çene ameliyatı oldum

ameliyatımın üzerinden 2 aya yakın bir zaman geçti

Eki Görüntüle 287294

[Eki Görüntüle 287295

bunlarda ilk çektiğim fotoğraflardan yaklaşık 6 ay sonra ameliyattantanda yaklaşık 2 ay sonra

şuan bu durumdalar ilk haline göre çok çok iyi ben bile görünce mutlu oluyorum:))))


oldukca zor tedaviler geçirmişsin ama sonucta çok guzel olmus dişlerin. ne kadar daha surecek tedavin?
 
dolgunun genel olarak fiyatı sabittir 80 lira. tel fiyatıysa tamamen dişlerin durumuna, yapılacak işlemlere göre değişiyor o da ortalama 3000 diyebilirim tabi eğer metal değil şeffaf malzeme istiyorsan 500 dolar gibi bir oynama oluyor fiyatta. benim doktorum 12 ay taksit yapıyor. bence forumda falan hiç vakit kaybetme direk bir dişçiye gidip onunla konuş. öğrenci olduğunu maddi durumunu paylaş yardımcı olmaya çalışır o da.

ben de 18 yaşındayım internette araştıra araştıra kafayı yedim ama arkadaşım dürte dürte babana söyle bize dişçi bulsun beraber taktıralım diyene kadar harekete geçmedim. arkadaşımınkini taktılar benimkine yirmilikler çekilecek dediler 1 ay öyle kaybettim. bugün gittim aa senin tartarları temizlememişiz dediler şimdi 1 hafta da ordan kaybedicem. :(

çok teşekkür ederim yardımcı olduğun için. :3: bende öğrenciye yardımcı olurlar diye düşünüyorum açıkçası :17: çarşamba günü bir randavum var araştırmalara başladım iyice. güvenebileceğim bir doktor arıyorum şu sıralar.. umarım seninde en kısa zamanda takılır tellerin
 
Sarı ampullerden sarımsı gibi duruyor,maksat yenilere ve tedavisi devam edenlere moral olsun..Hepinizin ki umarım daha iyi olur benim en baştaki halimi düşününce inci gibi olsun düşüncem olmadı doğal durması yeterliydi..İkincisinin ne olduğunu söylemeyim şuan iğrendim..:/:(
Eki Görüntüle 284321 Eki Görüntüle 284322 [/QUO



olağan üstü birşy bu ya.. harika olmuş dişlerin canım güle güle gülümse :)))
 
kızlar bugün takıldı tellerim inanılmaz bir şey! aynayla aramda 3 ayak mesafe var ve ben bile farkedemiyorum dişimde tel olduğunu. düşünmeyiin bir an önce yaptırın.
 
benim damağımın içinde köpek dişim var.bunu dışarıya getirmek için takıp çıkarabileceğim bi damaklık yaptılar.ilk defa taktım ve çok zıorlandım:(( konuşman berbat oldu.tellerimi çok seviyorum ama bundan nefret ettim.bu apereyden kullanan varmı?çok üzgünüm
 
o damaklıktan bende de var ve benim konuşmam da çok komik :D onu boşver ya şöyle düşün 2 ay 2 yıl neyse çekceksin ondan sonra hem sağlığına hem güzelliğine kavuşmuş olacaksın =)
 
kızlar ice braket kullananlara bir sorum olcek. siz braket için ekstra ne kadar ödediniz?
 
kızlar 22 yaşındayom.dişlerim üst üste sizce ortodontiste gitsemm bunun bi tedavisi varmıdır ameliyatsızzz
 
Back
X