• Merhaba, Kadınlar Kulübü'ne ÜCRETSİZ üye olarak yorumlar ile katkıda bulunabilir veya aklınıza takılan soruları sorabilirsiniz.

Diş teli ile ilgili soru, sorun ve deneyimleri paylaşalım

arkadaşlar selam ;
gecen hafta ctesi günu dişime lastık takılmıstı biliyorsunuz.. ama 20 lık dişlerimin yarısı cıkıp yarısı cıkmadığı için ust dişlerim 20 lık diş etimi fazlası ile ezdiğinden canım cok acıdı .. dun aksam lastıklerı cıkardım ve sabah doktoruma gıttım.20 lık dişlerimin cekılmesi gerektiğini söyledi .. 20 lık dişlerin yarısı var yarısı yok .. 20 lık dişi olan yada cektıren varmı benım gibi tedavı ıcerısınde ?
 
Oy yarın doktora gidiyorum yakında bikaç aya çıkacak rahatça yemek gömebileceğime seviniyorum en çok :KK53: Telim ıspanak dolanmış mıdır korkusu olmadan oleyyyy ! :KK70::KK70:
 
röntgen çektirmeden diş teli takan var mı arkadaşlar? doktor 1 tane dişini çektir 1 ay sonra gel dedi. Bende boş durmayayım başka doktora gideyim dedim o röntgen çekti üst damaklarımda çıkmamış 20lik dişler var sıkıntı olur mu acaba? 2. gittiğim 20lik dişleri aldır öyle gel dedi. Valla şoka girdim onları aldıracak cesaretim yok yaracaklar öyle alacaklar çünkü hiç çıkmamışlar.

Merak ettiğim röntgen çektirmeden ve 20lik dişleri dururken tel taktıran var mı?
 
röntgen çektirmeden diş teli takan var mı arkadaşlar? doktor 1 tane dişini çektir 1 ay sonra gel dedi. Bende boş durmayayım başka doktora gideyim dedim o röntgen çekti üst damaklarımda çıkmamış 20lik dişler var sıkıntı olur mu acaba? 2. gittiğim 20lik dişleri aldır öyle gel dedi. Valla şoka girdim onları aldıracak cesaretim yok yaracaklar öyle alacaklar çünkü hiç çıkmamışlar.

Merak ettiğim röntgen çektirmeden ve 20lik dişleri dururken tel taktıran var mı?
 
Aman sakınnn!!!!röntgen ve kafa filmi çektirmeden ortodontik tedaviye başlama..ben öyle başladım alt ön diş kökümde lezyon oluştu tedavi sırasında hekim belki de başlarken vardı dedi hekimi şikayet ettim diş hekimleri odasına başlangıç filmim olmadığı için şikayetimi bile tam yapıp ispatlayamadım:((((((ödeme yaptıktan sonra faturanı almayı da unutma..3-4 hekimden fikir al ve hekim hakkında araştırma yap internetten mutlaka!!!!
 
Aman sakınnn!!!!röntgen ve kafa filmi çektirmeden ortodontik tedaviye başlama..ben öyle başladım alt ön diş kökümde lezyon oluştu tedavi sırasında hekim belki de başlarken vardı dedi hekimi şikayet ettim diş hekimleri odasına başlangıç filmim olmadığı için şikayetimi bile tam yapıp ispatlayamadım:KK43:(((((ödeme yaptıktan sonra faturanı almayı da unutma..3-4 hekimden fikir al ve hekim hakkında araştırma yap internetten mutlaka!!!!
teşekkürler cevap için. Peki 20 lik dişler bi sıkıntı oluyor mu? Üst dişlerimde pek problem yok ama üstte çıkmamış 20lik dişler var alt taraf çok kötü onda da diş çektirip başlayacam.
 
röntgen çektirmeden diş teli takan var mı arkadaşlar? doktor 1 tane dişini çektir 1 ay sonra gel dedi. Bende boş durmayayım başka doktora gideyim dedim o röntgen çekti üst damaklarımda çıkmamış 20lik dişler var sıkıntı olur mu acaba? 2. gittiğim 20lik dişleri aldır öyle gel dedi. Valla şoka girdim onları aldıracak cesaretim yok yaracaklar öyle alacaklar çünkü hiç çıkmamışlar.

Merak ettiğim röntgen çektirmeden ve 20lik dişleri dururken tel taktıran var mı?
:KK24:
 
teşekkürler cevap için. Peki 20 lik dişler bi sıkıntı oluyor mu? Üst dişlerimde pek problem yok ama üstte çıkmamış 20lik dişler var alt taraf çok kötü onda da diş çektirip başlayacam.
Tabiii bak film olmadığı için 20lik dişleri görmemiş hekim gömülü olduğu için:((((onları çektirmezsen eğer yer olmadığı için çıkarken düzelmiş dişlerini sıkıştırıp yani düzelmiş dişlerini bozarak yerleşir..sen panoromik filmini çektir hekim çektirmene gerek var yada yok dicektir..iyiki film çektirmeden başlamadın..alt dişini belki çektirmene gerek olmaz inş.dediğim gibi 3-4 ortodontiste sor..ve sabit ortodontist olsun..ööle bi gün orda bi gün burda olmasın..:)))))))))
 
evet altta çıkan 20lik dişim alt tarafı berbat etti. Üst taraftakiler çıkmadı ama çıkar mı kesin değil 1 tanesi düz duruyo öteki diğer dişimin üstünde. Valla karma karışık durumdayım acayip moralim bozuk bir şeye heveslendik başlayamadım bi türlü. Çok kolay sanıyodum tak telleri gez. Neler neler varmış.
 
evet altta çıkan 20lik dişim alt tarafı berbat etti. Üst taraftakiler çıkmadı ama çıkar mı kesin değil 1 tanesi düz duruyo öteki diğer dişimin üstünde. Valla karma karışık durumdayım acayip moralim bozuk bir şeye heveslendik başlayamadım bi türlü. Çok kolay sanıyodum tak telleri gez. Neler neler varmış.
canım gunaydın;
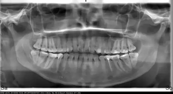
benımde 20 lık dişler alttakıler yarısı var yarısı yok .. ilk ortodontise gittiğimde cektı panoramık filmi .. 2 sene olucak nerdeyse ve çekılmesi lazım .. carsamba için cerrahtan alıcam randevu ınsallah.. diş kokunun nasıl oldugu önemli .. bak senın için röntgen resmini paylaşıorum .. sondan bir öncekı dişin kökü şemsiye ama allahtan o değil cekılcek olan :( kesilip eti yarıp cekıp dikış oluyormuş ama dr önemli bir faktör.. ve bencede cekılmelıkı ilerde sorun olmasın neticede kök diş ve agızda kullanılmıyor diş fırcasıda orayaı yeterlı temizleyemediği için çürüme yapıp yan dişlerede zarar verioo ..
 

Eklentiler

  • PANORAMİK.webp
    PANORAMİK.webp
    16,1 KB · Görüntüleme: 97
Merhaba arkadaşlar. Dış teli taktıralı 16 ay oldu.. Diş temizliğime dikkat etmeme rağmen, özellikle alt dislerim fark edilir sararma oldu. Doktorum tedavi aşamasında birsey yapamayacağını söyledi. Bu konuda bilgisi olan var mı ?
 
canım gunaydın;
benımde 20 lık dişler alttakıler yarısı var yarısı yok .. ilk ortodontise gittiğimde cektı panoramık filmi .. 2 sene olucak nerdeyse ve çekılmesi lazım .. carsamba için cerrahtan alıcam randevu ınsallah.. diş kokunun nasıl oldugu önemli .. bak senın için röntgen resmini paylaşıorum .. sondan bir öncekı dişin kökü şemsiye ama allahtan o değil cekılcek olan :KK43: kesilip eti yarıp cekıp dikış oluyormuş ama dr önemli bir faktör.. ve bencede cekılmelıkı ilerde sorun olmasın neticede kök diş ve agızda kullanılmıyor diş fırcasıda orayaı yeterlı temizleyemediği için çürüme yapıp yan dişlerede zarar verioo ..

senin çıkmış aslında dişler hemde düz. Benim üstteki 20lik dişlerden 1 tanesi senin gibi diğeri öteki azı dişinin tam üstünde. Belkide arkasında bilmiyorum sanki çok zor gibi geliyo.
 
Bide cerraha aldırılması gerektiğini duymuştum bende. Özel hastane mi iyi sence yoksa klinik mi?
 
senin çıkmış aslında dişler hemde düz. Benim üstteki 20lik dişlerden 1 tanesi senin gibi diğeri öteki azı dişinin tam üstünde. Belkide arkasında bilmiyorum sanki çok zor gibi geliyo.
aldıranlar cokzor değil..benım dişcı arakdasım ama cerrahı mudahele yapmıor oyuzden zaten cerraha gidicem .. srodum arkadasıma dedı ewet diğer diş ğibi değil cünkü köklu dişin ama en fazla 2 gun sorna normala dönersin cokta korma dedi.. dedı hatta hafta sonu alırsan ptesi işe bile ğidersin .. o yuzden kafam rahat .. tek sorun benım dişlerim cok köklu .. cıkan dişten korkmasam iyıdır :)
 
Merhaba arkadaşlar. Dış teli taktıralı 16 ay oldu.. Diş temizliğime dikkat etmeme rağmen, özellikle alt dislerim fark edilir sararma oldu. Doktorum tedavi aşamasında birsey yapamayacağını söyledi. Bu konuda bilgisi olan var mı ?
Merhaba canim beninde dis tellerim var Usttekileri cikarttirdim altta var. Dedigin gibi altta bende de sararma var. Ben 2 dr degistirdim yer degisikligi yuzunden ilk doktorum telleri degistirmek amacli cikardiginda her seferinde fircalatir sonra teli takardi ne sararma ne baska bisi olmazdi. Yeni doktorum direk degistiriyor bazen cok israr ediyorum o arada fircalatiyor ama mutlaka tel degisiminde fircala dislerini 5 dakika etkisi cok oluyor. Ama korkma telleri cikarinca o sarilik fln kalmiyor benim ust disler bembeyaz alttakilerde martta cikacak cikarinca temizligini yapiyor. Bir de mutlaka arayüz dis fircasi kullan.
 
Merhaba canim beninde dis tellerim var Usttekileri cikarttirdim altta var. Dedigin gibi altta bende de sararma var. Ben 2 dr degistirdim yer degisikligi yuzunden ilk doktorum telleri degistirmek amacli cikardiginda her seferinde fircalatir sonra teli takardi ne sararma ne baska bisi olmazdi. Yeni doktorum direk degistiriyor bazen cok israr ediyorum o arada fircalatiyor ama mutlaka tel degisiminde fircala dislerini 5 dakika etkisi cok oluyor. Ama korkma telleri cikarinca o sarilik fln kalmiyor benim ust disler bembeyaz alttakilerde martta cikacak cikarinca temizligini yapiyor. Bir de mutlaka arayüz dis fircasi kullan.
Bu dediğinizi ilk defa duyuyorum bunca zamandır hiç böyle birşey yaptırmadı en fazla çalkalatıyor o kadar. Ben Elatik kullandığım için teller ile bir işim kalmadı :( Tedavi ne zaman sonlanacak net birşey söylemeyince doktor, bu şekilde olmasıda çok can sıkıcı :(
 
kızlar telim bu cumartesi takılıyor korkuyorum acıkcası stres bastı cok agrım sızım olurmu birde nasıl diş fircası almalıyım ??
 
kızlar telim bu cumartesi takılıyor korkuyorum acıkcası stres bastı cok agrım sızım olurmu birde nasıl diş fircası almalıyım ??
Merhaba İstanbuldasınızz Ankaradan mı ortodontistiniz gelecek...panoromik filminizi ve faturanızı alın mutlaka hekiminizden...hekiminiz kim acaba??
 
Bu dediğinizi ilk defa duyuyorum bunca zamandır hiç böyle birşey yaptırmadı en fazla çalkalatıyor o kadar. Ben Elatik kullandığım için teller ile bir işim kalmadı :KK43: Tedavi ne zaman sonlanacak net birşey söylemeyince doktor, bu şekilde olmasıda çok can sıkıcı :KK43:
Bende ilk doktorumdan baska kimsenin yaptigini gormedim ama cok faydasini gordum. Aynen oyle usttekiler çıktı ama çıksada dert devam ediyor seffaf damaklik verdi takmadigim an dişim kayiyor takiyorum eski haline dönüyor onceden duzenli kullaniyordum artik tukendim bazen geceleri takiyorum ne zaman bitecek işkence bilmiyorum
 
Back
X