- 22 Mayıs 2007
- 939
- 153
- 658
- 44
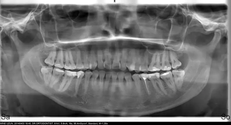
dişime tel takılmadan önce cekılen panaromık röntgen ve 2 sene sonra cekılen röntgende aradaki fark cok belli ..
ilk resimde diş kökum kıvrıkken sonradan o kıvrıklıkta öteye gecınce duzleştiğini görüyorum :) iki resmide ekliyorum :)
ilk resimde diş kökum kıvrıkken sonradan o kıvrıklıkta öteye gecınce duzleştiğini görüyorum :) iki resmide ekliyorum :)