dişleriniz çok güzel göüküyor bende yaptırmayı dusunuyorum diş başına 1000 lire dediniz çok değil mi :44:
Çok beğendim gerçekten.. Diş mutluluk demek bir kez daha anladım
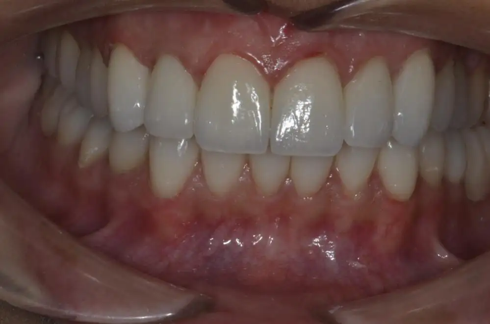
Arkadaşlar forum içerisinde bir çok arkadaşın konusunu okudum yaklaşık olarak 1 senedir forumu takip ediyorum ama üye olamamıştım. Yeni yeni öğreniyorum ve herkese merhabalar diyorum geçen sene dişlerimden çok şikayetçiydim bu forumda araştırırken bir öğretmen arkadaşın dişlerini ço beğendim biraz çarpışıktı dişleri ve cem beye dişlerini yaptırmış resimlerini koymuştu.. Bende diş resimlerimi sizlerle paylaşmak istiyorum. Yüzümün görünmesini istemiyorum onun için sadece dişlerimi kesip koydum. Ön dişlerim araları çok bitişik olduğu için zamanla çürümeler oldu bende onları çeşitli diş kliniklerinde dolgu yaptırdım ama o dolgular zamanla o kadar kötü oldular ki beni yaşlı ve çirkin gösteriyorlardı. İnanın ağzımı kapatarak gülüyordum şimdi çok güzel oldular diş başına 1000 tl ödedim ama deydi diyorum üniversitedeki arkadaşlarımdan şimdiye kadar kimse anlamadı :) sizlerin yorumları benim için çok ama çok önemli lütfen yorumlarınızı esirgemeyin..
Eki Görüntüle 557999 Eki Görüntüle 558001
sizinki empress mi zirkonyum mu ?
bu arada çok hoş görünüyor
gerçekten çok harika olmuş :) diş insanı çok değiştiriyo gerçekten.. güle güle hep gülünnnnn ehehehe
dişleriniz çok güzel göüküyor bende yaptırmayı dusunuyorum diş başına 1000 lire dediniz çok değil mi :44:
Arkadaşlar forum içerisinde bir çok arkadaşın konusunu okudum yaklaşık olarak 1 senedir forumu takip ediyorum ama üye olamamıştım. Yeni yeni öğreniyorum ve herkese merhabalar diyorum geçen sene dişlerimden çok şikayetçiydim bu forumda araştırırken bir öğretmen arkadaşın dişlerini ço beğendim biraz çarpışıktı dişleri ve cem beye dişlerini yaptırmış resimlerini koymuştu.. Bende diş resimlerimi sizlerle paylaşmak istiyorum. Yüzümün görünmesini istemiyorum onun için sadece dişlerimi kesip koydum. Ön dişlerim araları çok bitişik olduğu için zamanla çürümeler oldu bende onları çeşitli diş kliniklerinde dolgu yaptırdım ama o dolgular zamanla o kadar kötü oldular ki beni yaşlı ve çirkin gösteriyorlardı. İnanın ağzımı kapatarak gülüyordum şimdi çok güzel oldular diş başına 1000 tl ödedim ama deydi diyorum üniversitedeki arkadaşlarımdan şimdiye kadar kimse anlamadı :) sizlerin yorumları benim için çok ama çok önemli lütfen yorumlarınızı esirgemeyin..
Eki Görüntüle 557999 Eki Görüntüle 558001
Arkadaşlar forum içerisinde bir çok arkadaşın konusunu okudum yaklaşık olarak 1 senedir forumu takip ediyorum ama üye olamamıştım. Yeni yeni öğreniyorum ve herkese merhabalar diyorum geçen sene dişlerimden çok şikayetçiydim bu forumda araştırırken bir öğretmen arkadaşın dişlerini ço beğendim biraz çarpışıktı dişleri ve cem beye dişlerini yaptırmış resimlerini koymuştu.. Bende diş resimlerimi sizlerle paylaşmak istiyorum. Yüzümün görünmesini istemiyorum onun için sadece dişlerimi kesip koydum. Ön dişlerim araları çok bitişik olduğu için zamanla çürümeler oldu bende onları çeşitli diş kliniklerinde dolgu yaptırdım ama o dolgular zamanla o kadar kötü oldular ki beni yaşlı ve çirkin gösteriyorlardı. İnanın ağzımı kapatarak gülüyordum şimdi çok güzel oldular diş başına 1000 tl ödedim ama deydi diyorum üniversitedeki arkadaşlarımdan şimdiye kadar kimse anlamadı :) sizlerin yorumları benim için çok ama çok önemli lütfen yorumlarınızı esirgemeyin..
Eki Görüntüle 557999 Eki Görüntüle 558001
Arkadaşlar forum içerisinde bir çok arkadaşın konusunu okudum yaklaşık olarak 1 senedir forumu takip ediyorum ama üye olamamıştım. Yeni yeni öğreniyorum ve herkese merhabalar diyorum geçen sene dişlerimden çok şikayetçiydim bu forumda araştırırken bir öğretmen arkadaşın dişlerini ço beğendim biraz çarpışıktı dişleri ve cem beye dişlerini yaptırmış resimlerini koymuştu.. Bende diş resimlerimi sizlerle paylaşmak istiyorum. Yüzümün görünmesini istemiyorum onun için sadece dişlerimi kesip koydum. Ön dişlerim araları çok bitişik olduğu için zamanla çürümeler oldu bende onları çeşitli diş kliniklerinde dolgu yaptırdım ama o dolgular zamanla o kadar kötü oldular ki beni yaşlı ve çirkin gösteriyorlardı. İnanın ağzımı kapatarak gülüyordum şimdi çok güzel oldular diş başına 1000 tl ödedim ama deydi diyorum üniversitedeki arkadaşlarımdan şimdiye kadar kimse anlamadı :) sizlerin yorumları benim için çok ama çok önemli lütfen yorumlarınızı esirgemeyin..
Eki Görüntüle 557999 Eki Görüntüle 558001
We use cookies and similar technologies for the following purposes:
Do you accept cookies and these technologies?
We use cookies and similar technologies for the following purposes:
Do you accept cookies and these technologies?