- 7 Nisan 2022
- 4.300
- 4.668
- 63
Aşağıdaki videoyu izleyerek sitemizi ana ekranınıza web uygulaması olarak nasıl kuracağınızı öğrenebilirsiniz.
Not: Bu özellik bazı tarayıcılarda mevcut olmayabilir.
Bende geçen hafta çekildim 1 hafta ilişki yasak dendi bugün sabah gittim sonuçlarım temiz çıktı tüpler açıkmış ama bana 1 ay korun demedi kendimi iyi hissedersem akşam ilişki istiyorum yumurtama günlerimdeyim kaçırmak istemiyorumKızlar merhaba herkese. Hsg sonra ilk ilişkiniz ne zaman oldu bana 1 hafta ilişki olmasin 1 ay korun dedi ama benim ağrım sizim yok korunmak istemiyorum

anim cok tatlidir belirteyim. Bende agri oldu, kuzenimin hic umrunda bile olmamisti mesela. Agri dedigimiz sey maksimum 2-3 dakika suren bir sey, o surede doktorun yaninda kim varsa elinizi tutabilir sizi konusturabilir, oyle olunca hemen gecip gidiyor zaten. Gebelikte o agrinin bilmem kac katini yasadim ilk 1-2 hafta. O yuzden abartilmasini ben de anlamiyorum.Rahim filmini neden abartıyorlar anlamadım . Ben de çekildim ama özelde . Anestesizye gerek yok . Eğer çok darsa acır çok aşırı dar olması lazım vajinanızın.
Korkulacak hiç bişey yok o kadar rahat sakin gittim ki . Sizde gözünüzde büyümesin
Aynen öyle kzuum bunu demek istemiştim 2-3 dakika ilaç verirken karında aşırı bi ağrı oluyor ilaçtan dolayı . Sonrası geçiyor . Ben de kimse korkmasın diye yaşadığımı yazdım . Ama bazen vajinası dar olanlar oluyor belki ondan acıyabilir hassas olanlar varanim cok tatlidir belirteyim. Bende agri oldu, kuzenimin hic umrunda bile olmamisti mesela. Agri dedigimiz sey maksimum 2-3 dakika suren bir sey, o surede doktorun yaninda kim varsa elinizi tutabilir sizi konusturabilir, oyle olunca hemen gecip gidiyor zaten. Gebelikte o agrinin bilmem kac katini yasadim ilk 1-2 hafta. O yuzden abartilmasini ben de anlamiyorum.
Adet sancısının biraz üzerinde ağrı oluyo ama anlık sonra geçiyor. 3 ay önce çektirdim.Arkadaşlar rehim filmi cektirmem gerekiyor fakat jinekologumu genel anestezi için ikna edemedim:çok üzgünüm: Yaptığım araştırmalar son derece gözümü korkuttu.Bu konuda tecrübesi olan arkadaslar paylasırsanız cok mutlu olurum.Şimdiden tesekkürler.
Canım bence özel bir yerde anestezili çektirdim ben rezil perişan oldum tam Bi felaketti heleki tüplerin tıkalıysa eyvah 1ay kendine gelemezsin Bende öyle oldu ama herkesin bünyesi farklı tabiki bunuda belirteyimArkadaşlar rehim filmi cektirmem gerekiyor fakat jinekologumu genel anestezi için ikna edemedim:çok üzgünüm: Yaptığım araştırmalar son derece gözümü korkuttu.Bu konuda tecrübesi olan arkadaslar paylasırsanız cok mutlu olurum.Şimdiden tesekkürler.
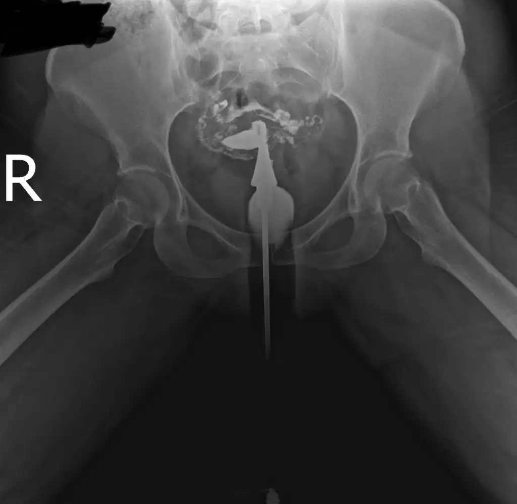
İlaç karın boşluğuna yayılmış tüplerin açık olduğu anlamına geliyor. Farklı bi görüntü var mı tek taraflı gibi duruyor gibi geldi banaHerkese merhaba bana da yardımcı olursanız çok sevinirim. Dün hsg çektirdim doktorum tüplerimin açık olduğunu söyledi. Fakat ben görüntülerden bir şey anlamadım. Bilgisi olan yorumlarsa çok sevinirim görüntüleri yüklüyorum.
Sadece bu görüntüleri yüklemişlerdi e nabıza maalesef teşekkür ederim cevabınız için şüpheye düştüm görüntüden anlamayıncaİlaç karın boşluğuna yayılmış tüplerin açık olduğu anlamına geliyor. Farklı bi görüntü var mı tek taraflı gibi duruyor gibi geldi bana
Ben anestezili çektirdim iyi ki ama sonrasında birkaç saat şiddetli sancı yaşadım bana herhangi bir antibiyotik ya da başka ilaç vermedi kanamam da ilk gün vardı sadeceBen de bu ay çektirdim çok ağrılı oldu benimki. Anestezi yoktu ne yazık ki. Ağrı eşiğim oldukça düşük ve canım da tatlıdır ondan da ağrım oldu büyük ihtimalle. Ama kısa sürdü tek pozitif yanı o. Basınçlı ilaç verildiği için normal. Doktor tüpler açık dedi. Antibiyotik ve ağrı kesici verdi ilişki konusunda bir şey demedi sonrasında görüşmeye gitmedim zaten. Kanamam lekelenme şeklinde 4 gün sürdü.
Anestezili olması çok iyi olmuş o anki ağrı çok fenaydı cidden. Bende de yarım saat sancı olmuştu filmden sonra o da çabucak geçmişti. Antibiyotik her doktor yazmıyor evet kanamanız da az sürmüş neyse kiBen anestezili çektirdim iyi ki ama sonrasında birkaç saat şiddetli sancı yaşadım bana herhangi bir antibiyotik ya da başka ilaç vermedi kanamam da ilk gün vardı sadece
Peki sizin tüpleriniz açık mı çıktı acaba benim görüntülerden bir şey anladınız mıAnestezili olması çok iyi olmuş o anki ağrı çok fenaydı cidden. Bende de yarım saat sancı olmuştu filmden sonra o da çabucak geçmişti. Antibiyotik her doktor yazmıyor evet kanamanız da az sürmüş neyse ki
Açık dedi doktor raporda da açık yazıyordu. Benim de görüntüm böyleydi karın boşluğuna ilaç yayılmış şekildePeki sizin tüpleriniz açık mı çıktı acaba benim görüntülerden bir şey anladınız mı
Anladım teşekkür ederim bende rapor olmayınca kafam karışmıştıAçık dedi doktor raporda da açık yazıyordu. Benim de görüntüm böyleydi karın boşluğuna ilaç yayılmış şekilde
Normal görünüyor rapora göreMerhaba kızlar film sonucum bu. Bilenler bakabilir mi?
