Rahim filminden anlayanlar bakabilir mi

Zeynebinannesi46

Üye
Anneler Kulübü
Kayıtlı Üye
6 Haziran 2020
49
22
8
38
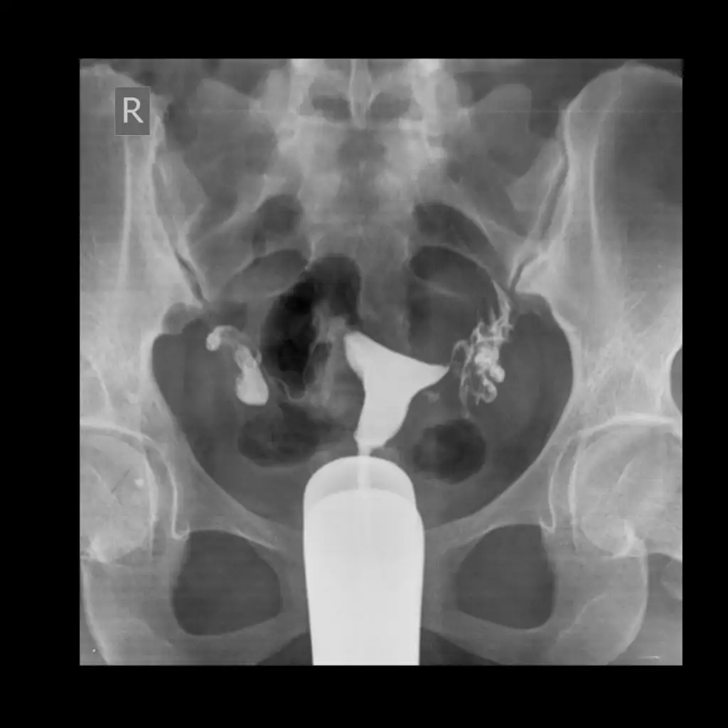
Dün rahim filmi çekildim resimleri ekliyorum arkadaslar anlayanlar varsa herhangi bir sorun görünüyor mu
 

Eklentiler

  • IMG-20201215-WA0020.webp
    15,7 KB · Görüntüleme: 55
  • IMG-20201214-WA0001.webp
    16,7 KB · Görüntüleme: 53
Bu siteyi kullanmak için çerezler gereklidir. Siteyi kullanmaya devam etmek için onları kabul etmelisiniz. Daha Fazlasını Öğren.…