- Konu Sahibi cikolata_88
-
- #1
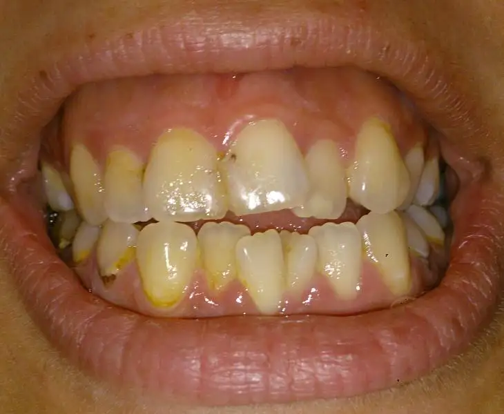
bende çok merak ediyorum :) hiç yapılmamış hali zaten tam bi içleracısıydı ama o dişler nasıl adam olucak çok merak ediyorum.o pis sarartı çarpışık çurpuşukluk geçer ve çok doğal olur tek temennim bugeçmiş olsun canım umarım istediğin gibi güzel dişlere kavuşursun. sonucunu merakla bekliyorum:)
İnşallah sağlıklı ve güzel dişlere kavuşuruz.ilk ve Son halini resimlerseniz çok memnun olurumGeçmiş olsun canım bende porselen köprü yaptırıyorum bugün 5 dişim küçültüldu ama geçiciler yarın takilacak bana 10 gün sonrada gerçekleri takılacak. Aslında alt dislerimde de eksik var alt tarafada köprü yapılacak ama onlar için daha bekleyeceğim çünkü bugün yapilan küçültme işlemi beni bayağı tirstirdi. Yoruldum ağzım açık beklemekten.
İnşallah sağlıklı ve güzel dişlere kavuşuruz.ilk ve Son halini resimlerseniz çok memnun olurum
bende çok merak ediyorum :) hiç yapılmamış hali zaten tam bi içleracısıydı ama o dişler nasıl adam olucak çok merak ediyorum.o pis sarartı çarpışık çurpuşukluk geçer ve çok doğal olur tek temennim bu
Msjını yeni okuyabildim cnm.bu saate kadar zaten taktırmışsındır,takılırken hiç acımıyo zaten yapıştırıp bırakıyor..yalnız bnde çekim işlemide olduğu için damağa tam oturtmadı.boşluk biraz havada kalıyor.rahatsızlık veriyo biraz başka sıkıntım yok.ağız kokusuda yaptı biraz.gargara yapıorum buyüzden.bi an önce kurtulsak keşke.ama bnm 5 gün sonra üst dişlerimde geçici olucak.onlarda küçültülücek.yani toplam 20 gün kadar geçiciyle kalmış olucam,o sürede çekim yaptığı diş etimde düzelirmişCanim ya bugun benim geçiciler takilacak ama acir mi acaba sonuçta iğne falan vurmayacak dişlerim çok hassas ağzımi acamiyorum hava alinca acı veriyor geçiciler takilirken nolcak acaba şimdi de bunu dert ettim kendime. Sen geçicilerle rahatmisin herhangi bi ağrı sızı oluyor mu ?
Msjını yeni okuyabildim cnm.bu saate kadar zaten taktırmışsındır,takılırken hiç acımıyo zaten yapıştırıp bırakıyor..yalnız bnde çekim işlemide olduğu için damağa tam oturtmadı.boşluk biraz havada kalıyor.rahatsızlık veriyo biraz başka sıkıntım yok.ağız kokusuda yaptı biraz.gargara yapıorum buyüzden.bi an önce kurtulsak keşke.ama bnm 5 gün sonra üst dişlerimde geçici olucak.onlarda küçültülücek.yani toplam 20 gün kadar geçiciyle kalmış olucam,o sürede çekim yaptığı diş etimde düzelirmişşu günlr çabuk geçsin başka bişi istemiyorum.geçiciler çok çirkin.keçi ağzı gb oldu :)
Msjını yeni okuyabildim cnm.bu saate kadar zaten taktırmışsındır,takılırken hiç acımıyo zaten yapıştırıp bırakıyor..yalnız bnde çekim işlemide olduğu için damağa tam oturtmadı.boşluk biraz havada kalıyor.rahatsızlık veriyo biraz başka sıkıntım yok.ağız kokusuda yaptı biraz.gargara yapıorum buyüzden.bi an önce kurtulsak keşke.ama bnm 5 gün sonra üst dişlerimde geçici olucak.onlarda küçültülücek.yani toplam 20 gün kadar geçiciyle kalmış olucam,o sürede çekim yaptığı diş etimde düzelirmişşu günlr çabuk geçsin başka bişi istemiyorum.geçiciler çok çirkin.keçi ağzı gb oldu :)
Merakla bekliiyorum.bende yeni resimlerimi 5gün sonra paylaşıcam.üstte olunca o çarpıklık ne hale gelicek birlikte görücez offf stres stresResimlerimi de sana özelden gondereyim canım.
cnm resimler açılmadı..50 tane yorum yapınca özel msj gönderiliyormuş.bn daha 35 konuya yazı yazdığım için özel msjda gönderemedim.merakla resimlerini bekliyorum ama...Resimlerimi de sana özelden gondereyim canım.
cnm resimler açılmadı..50 tane yorum yapınca özel msj gönderiliyormuş.bn daha 35 konuya yazı yazdığım için özel msjda gönderemedim.merakla resimlerini bekliyorum ama...
yükleyemezsen buraya yüklemeyi denermisin.yüzünü koyma bende sadece dişlerimi çekip eklemiştim :)
Evet sahiden öyle.ayakkabı küçük gelmişte sıkıyo gibi... Çok sinirim bozuldu.salı günü üstlerimde geçici olucak.asıl ozaman napıcam bilemiyorum.bi hafta daha alt üat geçici olnuş şekilde beklerim poffff.sanki sakız yapıştırmışsın gb duruyor bnmkisi,seninkiside öylemi??? Bide diş etim morardı.3 diş aynı anda çekildiği içindir diyorum inş.başka sebebi yoktur.sen nasıl yemek yiebiliosun! Ben bebe maması ve çorbayla besleniorumda iki gündür :)Eki Görüntüle 967376
dün hemen geçicileri takınca çekmiştim tutkalı üstünde :)) bu geçiciler çok rahatsız canım tutup çıkarmak istiyor sinirimi bozuyor umarım gerçekler böyle rahatsız etmez
Evet sahiden öyle.ayakkabı küçük gelmişte sıkıyo gibi... Çok sinirim bozuldu.salı günü üstlerimde geçici olucak.asıl ozaman napıcam bilemiyorum.bi hafta daha alt üat geçici olnuş şekilde beklerim poffff.sanki sakız yapıştırmışsın gb duruyor bnmkisi,seninkiside öylemi??? Bide diş etim morardı.3 diş aynı anda çekildiği içindir diyorum inş.başka sebebi yoktur.sen nasıl yemek yiebiliosun! Ben bebe maması ve çorbayla besleniorumda iki gündür :)
Benimde üst 6 dişimin yapılması gerekiyor devlet zirkonu yapıyor mu
Amin inşallah.bu geçicilerle sakıp sabancının dişleri gibi oldu dişlerim.gerçekleri umarım güzeldir.Sol arka dişlerle yiyorum canım ama ağzım tam kapanmıyor birbirine vuruyor dişler sinirim bozuluyor hepten. Işte yarım yamalak çiğneyip yutuyom benim için iyi zaten rejim yapiyorum ne kadar az yersem iyidir :)
Evet canim morarma ondan olabilir 3 diş aynı anda çekildiği için.
Evet benimkide sanki sakız yapismis gibi tutup cikarasim var dilim sürekli üstünde geziyor. Ama işte olmayincada hava alıyor acı veriyor. Ay inşallah gerçeklerinde sıkıntı yaşamayız canım
We use cookies and similar technologies for the following purposes:
Do you accept cookies and these technologies?
We use cookies and similar technologies for the following purposes:
Do you accept cookies and these technologies?