Diş eti çekilmesi:(

zelihakocyigit

karamsar
Kayıtlı Üye
3 Temmuz 2010
273
1
96
Ankara
merhaba,
Ben 26 yaşındayım, iki yıl önce bende diş eti çekilmesi başladı. Nedeni malum, düzenli ve düzgün fırçalamamam ve diş taşı oluşumu. Diş etlerim kanıyordu ve şişiyordu. Ben en başlarda önemsemedim ama diş etlerim çekilip, diş köklerim görünmeye başlayınca doktora gittim. Üniversite hastanesinde birer hafta arayla iki kez diş taşı temizliği yapıldı. Doktor ameliyata gerek olmadığını ama dişlerimi çok iyi fırçalamam gerektiğini söyledi. Bu iki yıl içinde ben dişlerime çok iyi baktım, sonradan aklım başıma geldi tabi.Ama Diş köklerim görünüyor, epey bi çekilme olmuş, greft -kemik kaybı var ve geri eski haline dönmesi mümkün değilmiş, çekilen diş eti eski halini almazmış. Öndeki dişimin birindede bir eğrilik , çapraşıklık var, onu düzeltmek için en öndeki 4-5 dişime porselen ( Laminate veneer ) yaptırmak istedim. Doktor diş köklerimin pek güçlü olmadığını söyledi ve bu yaşta porselen (laminate veneer) yaptırmamı tavsiye etti. İlerde durumu değerlendiririz dedi. Ortodontiyede gittim onlarda tel takma işinin iki yıl süreceğini söylediler, diş köklerimin zayıf olduğunuda belirttiler. ordanda vaz geçtim.Yaşımın ilerlemesiyle bu diş eti çekilmem daha fazla olursa ben ne yapabilirim? Diş eti çekilen hastalar Laminate Veneer Porselen yaptıramazlarmı? İlerde, benim bütün dişlerim ne kadar iyi baksamda dökülür mü(((((((Şu an hassasiyette var, hafif sıcak soğuk hiç bişey yiyemiyorum. Bunun bi çözümü yokmu?
 
Son düzenleme:

sıcak soğuk hassasiyetinizin sebebi açığa çıkan kök yüzeyindeki sement tabakasından kaynaklanıyor.calgate nin yeni çıkan sensitive pro relief macununu deneyebilirsiniz.diş kökleriniz çekilmeden dolayı zayıflıyor.belli bir süre sonra çekilnin sonucu bu dişleri kaybedeceksiniz.bu süreyi iyi bir bakımla uzatabildiğiniz kadar uzatmanızı tavsiye ederim
 

bu çekilme sadece bi kaç dişimi değil, hemen hemen bütün dişlerimi etkiliyor.Yani bütün dişlerimi kaybedersem , ne olacak? Takma diş falanmı kullanmam gerekecek?Herhalde bütün dişleri implant yaptırmam çok zor olur değilmi?
 
kardeş bendede çocuklugumdan beri var.. bunun fırçalamayla alakası oldugunu zanetmiyorum.. bnm kadar dişlerine özen gösteren bi insan olamaz herhalde:S
öğlen tatilinde şirkette fırçalıyorum yani...

ben ortodonti tedavisi gördüm.. 1bçk yı tel taktı ama hayatımın en doğru tercihiydi..dişlerinde yamukluk varsa ve rahatsız oluyorsan mutlka taktır..

1 2 hafta sonra dişciye gitcem diş eti için bakalım ne dicem.. diş taşı var dediler gittim temizlettim yine aynı yine aynı
 

eğer yeterli kemiğiniz olursa istediğiniz implant planlaması yapılailir.mutlaka bir panaromik rontgen alınması lazım
 
aynı sorun bendede var dişlerimi temizletirim ,bakım yaparım ama yinede çekilme devam ediyorr..diş aralarım açıldı ve şimdi yemek dahi değil gülümsemek bile içimden gelmiyor..resmen psikolojim bozulmaya başladı..başka neler yapılabilirr( yakındaaa takma diş kullanmaya başlayacagımmm
 
Son düzenleme:

geçen hafta yine bir diş eti uzmanına gittim. Panaromik film de çekildi. Diş eti çekilmem durmuş durumda ama ne yararki, diş köklerim görünüyor zaten(( Süreekli fırçalıyorum. Günde en az 3 defa.5 dakika falan rahat sürüyor fırçalama işimBeni gören ne yapıyorsun? Fırçalamak bukadar uzun sürermi diyor Zaten sadece 3 öğün yemek yiyorum. Arada abur cubur falan kesinlikle yemiiyorum sırf diş taşı oluşmasın diye.Sert fırçalamıyorum ama zaman zaman diş etlerimde ufak yaralar oluşuyor, diş fırçası o kısımlara deyince çok acıyo, normalde diş etlerimide fırçalarım ama bu yaralar yüzünde diş etlerimi fırçalıyamıyorumbunaldım artık ya
 
benim eşimde de aynı sorun var. diş etleri çok çekilmiş. ve aşırı dercede çarpışıklık var. tel taktırmaya karar vermiştik. ortodont diş etlerinde çekilme olduğunu ve periodontist tarafından detaylı bir temizlik yapılmasını söyledi. 4 işlemde bölüm bölüm diş etleri ile diş arası bol kanlı olarak temizlendi. tabi çekilme düzelmiyor. şimdi bizim sorunumuz o kadar para verip tel taktırırsak üstüne bu dişler bide dökülürse diye korkuyoruz. sizde de aynı problem varmış anladığım kadarıyla sonuç nasıl oldu anlatırsanız seviniirim...
:26:
 
merhaba
diş eti çekilmesi tedavisi için istanbul anadolu yakasında önerebileceğiniz bir doktor hastane var mı acaba?
 
Son durumun ne oldu cnm ayni sorun bendede var merak ettim
 
Merhabalar. Bende de aynı sorun vardı. Çapa da greft ameliyatı oldum. Damaktan parça alinip diş köklerine dikiliyor. Tabii öncesinde çekilen dişin kökü temizleniyor. Sonucu iyi ama sonrasında da çok dikkat etmek gerekiyor.
 
Arkadaslar ben bu dis eti iltihabindan nefret ettim 4 sene sonra tekrarladi yine ameliyat olucam sonrasinda dis teli insallah sorun olmaz bu disler butun zamanimi caliyor verdigi aci ayri maddi olarak ayri bakim vs degil bu genetik sorun teknoloji ilerlesede su rahatsizliga kesmeden cozum bulsalar
 
Merhabalar, ben de sizin gibi greft ameliyati oldum. 2gun once de dikislerim alindi. Bugun tam 14. Gun. Fakat alt dislerime dikilen parca hafif şiş. Eski haline gore bir tumseklik olustu. Sizde de boyle bir durum oldu mu.. Sehir disinda oldugum icin doktoruma da soramadim. Ama moralim cok bozuldu.
 
Ayni sorun benim annemdede var anlattığın ayni ozelliklerde oda hic fircalamamis gencliginde en iyi hastanelerde muayne oldu çözüm bulmak için sende cok erken başlamış ne yaparsaniz yapin artik eski dişlerinize sahip olamayacağınızı bilin sonralarda ileri derecede baş ve burun ağrısı çekeceğini bilmeni isterim umarım bir şekilde iyileşirsin ama kesin bir çözümü yok bildiğim kadariyla neden fırçalamadınız bakmadinizki cok zor birşey değil aslında üzüldüm şahsen hem sağlık icin hem görünüş için çok önemlidir dişler ve siz çok gençsiniz
 
Merhabalar. Kusura bakmayın geç gördüm mesajınızı. O şişlik için hiç endişelenmeyin. Birkaç aya normal görüntüsüne kavuşuyor. Şimdi benimki hiç belli değil.
 
Merhabalar. Kusura bakmayın geç gördüm mesajınızı. O şişlik için hiç endişelenmeyin. Birkaç aya normal görüntüsüne kavuşuyor. Şimdi benimki hiç belli değil.
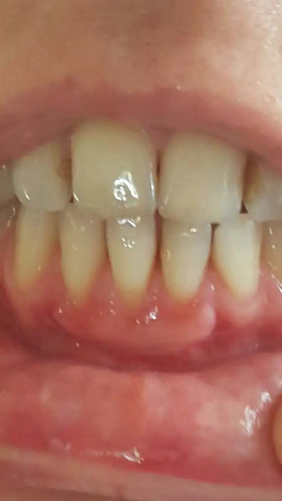
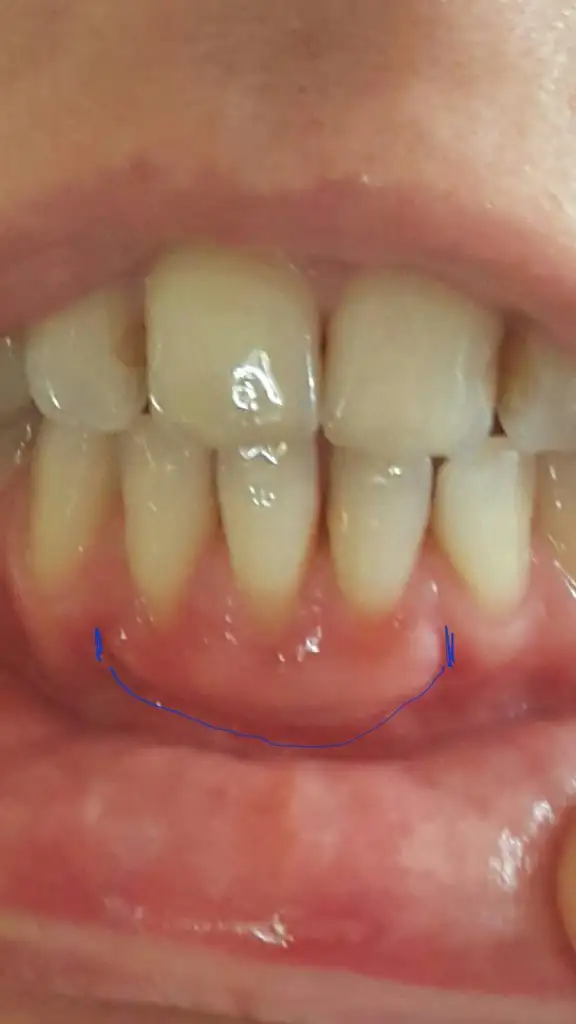
Çok teşekkur ederim, cevabiniz için.. sizin icin sevindim hic belli degil demissiniz.ama benim hayatim kabusa dondu malesef bu operasyon yuzunden.. Ameliyat olali tam 6 hafta gecti, islem yapilan dişlerim surekli agriyor.. Doktor 3disi birden kapatacak sekilde parca yama yapti.Yani eklenen kucuk bir parca degil.. Tumsek oldu demistim ya o tumsekligi surekli hissediyorum konusurken bile zorluyor.Kaldi ki ogretmenim cok konusuyorum 2hafta once baska bir doktora gittim derdimi anlattim daha yeni biraz zaman gecsin eti keser inceltirim dedi, o an olabilir gibi geldi ama simdi ondan da korkuyorum daha beter olursa diye...Sizde de agri oldu mu sonrasinda.. sizin kac disinize yama yapildi? O kadar mutsuz ve zor durumdayim ki sizin operasyonlarin ayrintilarini yazarsaniz cok cok minnettar olurum. Hatta foto da ekliyorum, bakar misiniz sizinkinden cok mu farkli.Simdiden cok cok tesekkurler..
 

Eklentiler

  • Screenshot_2020-02-22-21-29-53.webp
    10,5 KB · Görüntüleme: 4.231
  • Screenshot_2020-02-22-21-29-21.webp
    11,4 KB · Görüntüleme: 3.724
Merhaba benimde ön dişlerimde çekilme var. Küretaj yaptık. Doktorum greft için daha erken dedi. Ama ben ısrarla yapmasını istiyorum. Size sormak istediğim yaptırdıktan ne kadar süre sonra normal hayata döndünüz. Yaptırdıktan sonra yutkunurken damağınızda acı hissettiniz mi, ameliyat sonrası gerçekten memnun kalıp iyiki yaptırmışım dediniz mi? Ben çok korkuyorum ve sürekli tansiyonum düşüyor dişçi de. Ama artık mecburen yaptırmam gerekiyor. Çünkü sallanıyor artık dişlerim
 
Dişleriniz çok güzelbenim çekilen dişi görseniz kökleri görünüyor
 
Merhaba benimde ön dişlerimde çekilme var. Küretaj yaptık. Doktorum greft için daha erken dedi. Ama ben ısrarla yapmasını istiyorum. Size sormak istediğim yaptırdıktan ne kadar süre sonra normal hayata döndünüz. Yaptırdıktan sonra yutkunurken damağınızda acı hissettiniz mi, ameliyat sonrası gerçekten memnun kalıp iyiki yaptırmışım dediniz mi? Ben çok korkuyorum ve sürekli tansiyonum düşüyor dişçi de. Ama artık mecburen yaptırmam gerekiyor. Çünkü sallanıyor artık dişlerim
 
Merhaba benimde ön dişlerimde çekilme var. Küretaj yaptık. Doktorum greft için daha erken dedi. Ama ben ısrarla yapmasını istiyorum. Size sormak istediğim yaptırdıktan ne kadar süre sonra normal hayata döndünüz. Yaptırdıktan sonra yutkunurken damağınızda acı hissettiniz mi, ameliyat sonrası gerçekten memnun kalıp iyiki yaptırmışım dediniz mi? Ben çok korkuyorum ve sürekli tansiyonum düşüyor dişçi de. Ama artık mecburen yaptırmam gerekiyor. Çünkü sallanıyor artık dişlerim
 
Bu siteyi kullanmak için çerezler gereklidir. Siteyi kullanmaya devam etmek için onları kabul etmelisiniz. Daha Fazlasını Öğren.…