Diş teli ile ilgili soru, sorun ve deneyimleri paylaşalım

Nasıl çıkarıldıklarını biri bi anlatsa herkes farklı söylüyor o zaman bende çıkarılmasını isteyebilirim mesela ama damaklık telden sıkıntılı onu biliyorum kullanmadığın an zırt zırt geri dönücek bozulcak sakız çiğneyip balon şişirebilen var mı aramızda
 
doktorum bana damaklık takmıycakmış arkadan takılan tel varya ondan takıcakmış o tel takanlar varsa nasıl takılıyor takarken acıyomu konuşmayı bozuyomu bilgi verirmi acaba
 
doktorum bana damaklık takmıycakmış arkadan takılan tel varya ondan takıcakmış o tel takanlar varsa nasıl takılıyor takarken acıyomu konuşmayı bozuyomu bilgi verirmi acaba

Merhaba. Bahsettiğiniz tel dişlerin arka yüzeyine yapıştırılan incecik bir teldir. Dişlerinizin yeni konumunu korumak için yerleştirilir. Benim ortodontistim tıp kitaplarında 5 yıl sonra çıkarılmasının uygun olduğunun yazıldığından fakat kendisinin bir ömür boyu kalmasını desteklediğinden bahsetmişti. Yerleştirilmesi sırasında acı verdiğini hiç ama hiç sanmıyorum. 2-3 aylık bir süre içinde inş. tecrübe edeceğim. Bana ayrıca essix apareyi verecek. 1 yıl boyunca geceleri takacağım. Yani hem sabitleyici tel, hem de essix aparey kullanımı olacak. Garantiye almak lazım, onca emek var işin içinde. Benim tedavim başlayalı 4 buçuk ay oldu. Eğer pekiştirme tedavisine başlayan arkadaşlarımız varsa deneyimlerini paylaşmalarını isterim.
 
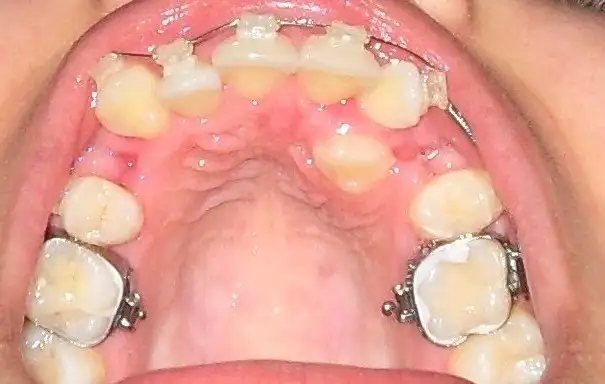
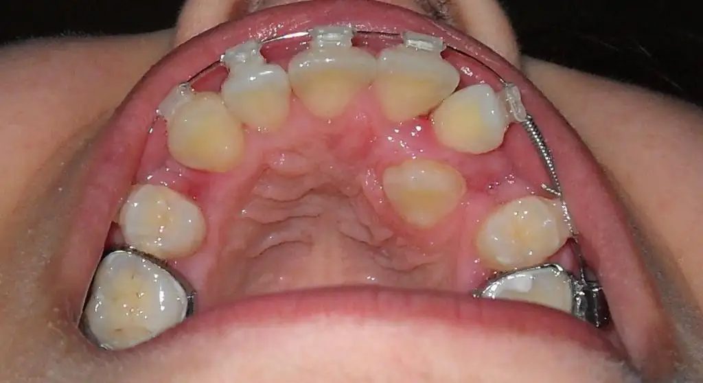
selam kızlar ben şuan pekiştirme aşamasındayım.. üst kısım resimdeki gibi alt kısım çıkan tellerden.. doktorum hafif yiyeceklerde bile çıkarmamamı söyledi.. şuan hareket halinde dislerim, yarım gün takmasam dönmeye başlıyor..Çok sinir bozucu...
 

Eklentiler

  • $diş.webp
    6,4 KB · Görüntüleme: 82

benim doktorumda taktığı hastaların fotoğraflartını göstermişti bana ; dişerin içi yüzüne takılıyor ve sadece ön taraftaki dişere molar dişlere kadar devam etmiyor yani. Dışarıdan görülmesi mümkün değil zatenn, ancak içerideb diline takılabilir oda zamanla alışır zaten. Benim tedavim bittiğindede takcak bana pekiştirme tedavisi olarak ve ömür boyu kalacak galiba:) rahatsız etmeyeceğini düşünüyorum
çünkü o kadar para verdikten sonra dişlerim eski haline dönsün istemem
hem şu şeffaf abaratlardan takmaktansa onu yapsın daha iyi
 

ömür boyu muuu???!?
 

doktorum bana yasak dedi ama ben pazarlık yaptım, çok dikkatli olcam dedim :)
çiğniyorum, bi sorun yok, ama bi kere balon yapınca braketlere yapıştı. zor çıkardım.
 
diş teliiçin kullandıgın diş fırcası markası ve modeli tavsiye edermısnz? b de diş macunu?

Oral-B nin BRAUN die otomatik bi diş fırçası var doktorum ondan önerdii;
diş tellerinin aralarına kadar giren ince başlığı varr; onu aldım kullanıyorum çokta memnunum
diş macunu olarak sensodyn kullanıyordumm; geçen biyerden bana ipana 3 boyutlu beyazlık yazıyo üstünde onun küçük bi promosyon ürününü verdiler onuda çok beğendimm
 
Doktoru zorlasam da, ben ille de arkadan tel isterim mi desem?

çünkü o kalıp ercem diye tutturdu..

ben uğraşmak istemiyorum onunla.. bi iki sene daha

hem tel ömür boyu kalıyo da kalıp 1 2 sene sonra herşeyi yerli yerine oturtabiliyo mu ki sonrasında bişey kullanılmıyo?? tel çok daha sağlam olmasına rağmen uzun süre takılı kalıyo.. bu kalıp hiç aklıma yatmıyo benim...
 
4 foto ekliyeyim dedim 6 tane olmuş.birbirinin aynılarınıda eklemişim

fotoğraflar için sağol canım bende genelde foto yüklüyorum ama seninle ben aynı gibiyiz ama senin damağında benim gibi tel yok yet tutucu tel diye söylenen telden var bende arkadaki dişler öne gelmesin diye takıldı sana takmamışlar sorunumun neredeyse aynı benimde 6 ayıma girdim ne çıkıcaklar ya off zor bişeymiş ya çok sabır istiyo
 

Merhaba. Pekiştirme tedavin nasıl gidiyor? :) Doktorun ön dişlerine arkadan ince bir tel yerleştirdi mi yoksa sadece bu essix apareyini mi verdi? Ben o aşamaya geldiğimde bir takım sorular yönelteceğim doktoruma. Sen de bu soruları kendi doktoruna sorup cevaplarını bizimle paylaşır mısın? İşte sorular :

- İnternetten okuduğum bir forumda ortodontik tedavi görmüş bir hasta, tel tedavisi bittikten sonra pekiştirme tedavisinde hiçbir aparey kullanmadığını, ortodontistinin ön dişlerinin arkasına sabitleyici tel yerleştirdiğini ve tedavi bittikten sonraki 1-2 yıl içinde de herhangi bir problemle karşılaşmadığını yazmış. Bir süre sabitleyici aparey kullanmadan doğrudan doğruya bu sabitleyici teli(Retainer) yerleştirmek sağlıklı mıdır? Bu sabitleyici tel (Retainer) dişlerin yeni konumunu korumakta kesin çözüm mü?

- Retainer tel takıldıktan sonra kontrolü nasıl yapılacak? Yani bu telin işlevselliğinde aksaklık oluşturabilecek durumları (kırılma, kopma gibi) nasıl kontrol altında tutabiliriz? Kendim bu telde bir aksaklık olup olmadığını anlayabilir miyim yoksa bunu ancak siz mi anlayabilirsiniz? Retainer telde bir problem olması durumunda dişlerin eski haline dönmeye meyilli hareketlerinin etkisi kendini ne kadar sürede belli eder? Yani teldeki olası bir problemde bunu düzelttirmek için ne kadar vaktimiz vardır?

- Pekiştirme tedavisine başladığımızda da düzenli kontrollerim olacak mı?

- Dislerin eskisi gibi yerlerine tamamen uyum saglamasi ve esnekligini kaybetmesi ne kadar zaman alir?

- Pekiştirme apareylerinin bir anda terkedilmesinin sağlıksız sonuçlar verdiği hakkında makaleler okudum. Bu makalelerde pekiştirme apareylerinin yavaş yavaş terkedilmesi gerektiği vurgulanmış. Önce iki günde bir, sonra üç günde bir, sonra haftada bir, daha sonra onbeş günde bir şeklinde kademeli olarak terkedilmesi gibi. Bu konu hakkında sizin düşünceleriniz nelerdir?

Eğer bu soruların cevaplarını paylaşırsan pek çok insan epey bilgi sahibi olacak. Saygılar..
 

Kimi ortodontistler hastalarının pekiştirme tedavisi başladığında bu bahsettiğimiz retainer teli kullanıyorlar ve kalıp vermiyorlar. Kimi ortodontistler ise yanlızca kalıp veriyorlar. Benim ortodontistim bununla alakalı olarak şöyle söylemişti : "Hasta 1 yıl bunu takıyor, 1 sene sonra çıkarıp atıyor. Sonra dişler yavaş yavaş başlıyor yerinden oynamaya". Yani o kesinlikle retainer teli destekliyor ve ayrıca 1 yıl süre boyunca da bununla beraber essix apareyini kullanacağımı söyledi. Double pekiştirme yani :) Bir de okuduğum bir bilimsel makalede pekiştirme apareylerinin aşamalı olarak terkedilmesi gerektiği yazıyordu. Diyelim ki 1 yıl her gece taktın. 1 yıl sonra 2 gecede 1 takmaya başlıyorsun. Bunu yaparken aparey dişlerine kolaylıkla geçebiliyorsa 3 gecede 1 takmaya başlıyorsun. Fakat 3 gecede 1 takmaya başladığında aparey dişlere zor oturuyorsa tekrar 2 gecede 1 aşamasına geri dönüyorsun. 3 gecede 1 aşamasına geçiş yaptığında da apareyin rahatlıkla yerine oturması gerekiyor. Sonra bu şekilde haftada 1 gece, 2 haftada 1 gece şeklinde devam ediyor. Burda en önemli soru şu:Retainer tel tek başına bu diş hareketlerini engelleyebiliyor mu? Eğer cevap evet ise kalıbı yanlızca teldeki olası problemlerde kullanmak üzere muhafaza etmemiz yeterli olacaktır. Doktora ne yapacağını söylemek ayıp da olsa bir şekilde onu bu teli kullanmaya ikna etmeni tavsiye ederim. Bir de şu soruyu yönelt bakalım, ne diyecek?
 

merhaba cnm pekiştirmem nasıl gidiyor hmm idare eder diyim takmadığım zaman zorlama oluyor o yüzden devamlı takıyorum..Doktorum ön diş arkasına herhangi bir tel takmadı..Üst kısım şeffaf aparey alt kısım damaklı çıkan tel..Üst ön dişimde hafif bir bozulma olmuştu bunu doktoruma söylediğimde şeffafı hiç çıkarma 1 ay sonra bakalım sorun devam ediyorsa alt kısımdaki damaklı telden takıcaz dedi..Şeffaf benim diş oynamama yeterli gelmiyorda olabilir bilemiyorum.Retainer le ilgili hiçbirşey söylemedi bana benimde sormak aklıma gelmedi o zaman açıkcası.. Apareyin ilk aşamasında olduğum için aysa 1 kontrole gidiyorum yine..Apareyleri şuan sürekli kullanıyorum,bir süre sonra sadece geceleri takıcam..bu apareyleri 1 kaç yıl kullandıktan sonra retainer yapılacak diyip kötü bir süprizde yapabilir bana :18: gidince sorarım onu.. yardımcı olabilmişsem ne mutlu bana
 

daha yolun başındasın yılmak yok sakın teller yüzünden stres yapmayın..Stres bütün hastalıkların nedeni kendimden biliyorum :78: Nasıl olsa bitecek.. ben eski dişlerime bakınca iyiki yaptırmışım diyorum.. billmediğim o kadar çok sorunumu öğrendim ki bu tedavide.. En baştada sabırlı olmayı...
 
Bu siteyi kullanmak için çerezler gereklidir. Siteyi kullanmaya devam etmek için onları kabul etmelisiniz. Daha Fazlasını Öğren.…