Merhaba,Dün sabah rahim filmi.çekildim ilk gün bayağı kırmızı kanamam oldu. Bugün de kahverengi pembe kanamalarım oluyor yoğun şekilde. Normal midir acaba?
 
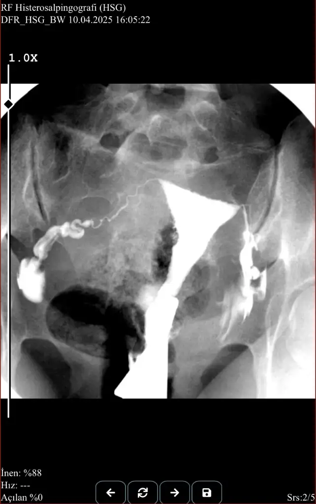
Günaydın kızlar hsg sonucumu yorumlar mısınız lütfen
 

Eklentiler

  • IMG_2651.webp
    16 KB · Görüntüleme: 207
  • IMG_2649.webp
    21,3 KB · Görüntüleme: 203
Hiç korkmanıza gerek yok 10 dk sürüyor ve hiç acımıyor . Sadece ilacı verirken adet olacakmış gibi kasıklarda Ağrı oluyor bu kadar.
 
Ben de 2 defa çektirdim bence korkma Allah'a güven ben Dr gittiğimde gebelik için hamile kalkamıyorum . Dr değişikliği yaptım tüplere bakalım önce dedi açık mı değil mi inan belli oluyor benim açılmadı ilaçla yeni 3 hafta oldu lakaraskopi oldum öyle açtılar tüpleri sol tüpe bağırsagim dolanmış sağ tüpüm aktif şuan Rabbim benle beraber hepimizi evlat sahibi yapsın inşallah
 
Günaydın kızlar bu ay hsg çekildim reglime 3 gün var testime bakar mısınız
 

Eklentiler

  • IMG_3003.webp
    31,7 KB · Görüntüleme: 194
Hanımlar benimde rahim filmi cektirmem gerekiyor sehir hastanelerinde yapıliyor mu bide jinekoloktan direk sira alınmıyor kadın dogumdan alinca mı yönlendiriliyor acaba
 
Hanımlar benimde rahim filmi cektirmem gerekiyor sehir hastanelerinde yapıliyor mu bide jinekoloktan direk sira alınmıyor kadın dogumdan alinca mı yönlendiriliyor acaba
Şehir hastanelerinde yapılıyor ama aşamalı direk rahim filmi çekilmez diye tahmin ediyorum. İnfertilite bölümünde yönlendiriyorlar
 
Merhaba
10 nisanda anestezisiz rahim filmi çektirdim.
Yorumlayabilecek olan var mı acaba?
 

Eklentiler

  • IMG_7326.webp
    23,3 KB · Görüntüleme: 159
Kızlar merhaba, bugün anestezili çektirdim bende çekimden birkaç saat sonra çok ağrım oldu normal mi acaba? Ağrı kesici yazmıştı onu da kullandım sanırım etkisini gösterdi diye şuan ağrım yok ama ödüm kopuyor o ağrıyı yine çekicem diye. Hafifta kırmızı kanamam var
 
Selam kızlar anestezili hsg’yi genel anesteziyle mi çekiyorlar sadece sedasyon gibi mi oluyor?
 
Kızlar merhaba.. 2022 de hsg cektirmistim. Gecerlilik suresi kaç yıl oluyor?
Bir de infertiliteye gittiğimde çocuğumuz olmuyor mu diyeyim? Şuan tüp bebek surecindeyim. Dün gittim şehir hastanesi ama özelde tedavi gördüğümüz için devlet hastanesi biz cekemeyiz dedi. Ankara da nerede çektirebilirim?
 
Hsg de bildiğim kadarıyla geçerlilik baz alamıyorlar. Geçirilmiş idrar yolu enfeksiyonu bile tıkama yapılıyor deniyor. Onun dışında bildiğiniz gibi varsa düşük hikayesi, batından geçirilmiş operasyon öyküsüne bağlı yapışıklar da tüpte tıkanıklık yapıyormuş.Dilerseniz net bilgi için özel bir kuruluşu arayıp tekrar teyit edin.Ankara ile ilgili bir önerim yok ben başka şehirde yaşamama rağmen İstanbul’da Cevat Bayrak’a gitmiştim.
 
Merhaba tüpünüz kapalı mıydı?
 
Merhaba, İstanbul dışında C kollu röntgen cihazı ile rahim filmi çeken bir yer var mıdır acaba?
 
Kızlar ben 1 hafta önce anestezi almadan hsg cektirdim c kollu skopi cihaziyla cekildi oncesinde 1 adet arveles ictim ben regl sancisini agır yasayan bir kizim inanın dayanılamayacak bir agrisi yok sadece spekulum dedigimiz aleti yerlestirince agri ve ilaci verince 10 saniyelik bir sanci hissediyorsunuz o kadar. Ilk 2 gün kanamam oldu sonra ki 3 gun kahverengi lekelenmeyle devam etti 2 gundur artik lekelenmede yok.
 
Cektirenlere sormak istiyorum bana tetradox diye bir antibiyotik yazdi 1 hafta kullanmami istedi yan etki yaptigi icin ilacimi degistirdik flagy kullaniyorum suan. Bugun cekimin 1. Haftasi hafif kasık ve bel agrim var baska bi sikayetim yok. Acaba enfeksiyon mu yoksa yumurtlama haftamdayim onun agrisimi korkuyorum gorusleriniz nedir kizlar
 
Bu siteyi kullanmak için çerezler gereklidir. Siteyi kullanmaya devam etmek için onları kabul etmelisiniz. Daha Fazlasını Öğren.…