Yenidoğan pnömöni

Ayın 10 unda çekilen röntgne bu. Cumartesi pazar çekilmiyormuş. Size çok çok teşekkür ederim bu arada
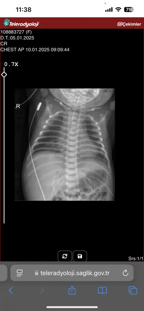
IMG_2205.webp

Çoğu negatif biri pozitif gelmiş o da zaten hastanede kapılabilen bir bakteri. Antibiyotik tedavileri böyledir bir çeşidi eğer iyileştirmezse etken maddesi başka bir antibiyotik denenir süresi de hep 10 gündür. Bebeğinizdeki bakteri üremesi bitip stabil olana kadar devam edilmesi gerekiyor. Ama listede çok daha tehlikeli olanlar negatif geldiği için korkmayın sabırla bekleyin. Röntgen baktılar mı tekrar ?
 
Merhaba, ben 35+0’da doğum yaptım. Acil bir durum nedeniyle, bebeğimin suyunun bitmesi üzerine zorunlu sezaryene alındım. Doğum sırasında bebeğim nefes almakta zorlandı ve rengi değiştiği için hemen küveze alındı. Maalesef 3. gün entübe edildi; bugün 4. gün. Canımdan can gidiyor, her gün onu görmeye gidiyorum ve kahroluyorum. Ne olur, kızıma dua edin, iyileşsin…

Doktorlar, bebeğimin nefes alıp verirken zorlandığını ve bu nedenle renginin değiştiğini söyledi. Akciğerindeki iltihap nedeniyle entübe edildiği belirtildi. Ayrıca ekipman ya da ihtiyaçlar konusunda “Ekiprüz Bilgilerini” kimden talep edebileceğimi öğrenmek istiyorum.
Epikriz size taburculuk esnasında veriliyor. Biliyorum o durumda görmek o kadar zor ki. Ama şöyle düşünmeniz lazım. Eğer entübe olmasa bebeğiniz nefes alamayacak. Nefes alamazsa olacakları biliyorsunuz. Entübasyon işlemi bebekleri kurtaran bir şey şükredelim güzel müdahale edilmiş oksijensiz kalmamış. Ekipman ve ihtiyaçtan kastınız nedir anlayamadım ama kullanılan malzemeleri e nabızda görebiliyorsunuz. Yapılan kan tahlilleri röntgenler hepsine bakabilirsiniz ordan. Rabbim şifa versin sağlıkla kavuşun 🤲🏼
 
Epikriz size taburculuk esnasında veriliyor. Biliyorum o durumda görmek o kadar zor ki. Ama şöyle düşünmeniz lazım. Eğer entübe olmasa bebeğiniz nefes alamayacak. Nefes alamazsa olacakları biliyorsunuz. Entübasyon işlemi bebekleri kurtaran bir şey şükredelim güzel müdahale edilmiş oksijensiz kalmamış. Ekipman ve ihtiyaçtan kastınız nedir anlayamadım ama kullanılan malzemeleri e nabızda görebiliyorsunuz. Yapılan kan tahlilleri röntgenler hepsine bakabilirsiniz ordan. Rabbim şifa versin sağlıkla kavuşun 🤲🏼
Allah razı olsun güzel dilekleriniz için , e nabızındam bakıyorum kızımın hiç bir şey göremiyorum …
sizinde durum aynı mıydı kaç günde iyileşti
 
Allah razı olsun güzel dilekleriniz için , e nabızındam bakıyorum kızımın hiç bir şey göremiyorum …
sizinde durum aynı mıydı kaç günde iyileşti
Sizin kendi e nabızınıza girdiğinizde radyolojik görüntülemeler kısmında yok mu herhangi bir şey ?
 
Sol tarafta beyazlıklar var ya onun bir kısmı kalbin gölgesi ama yine de yukarı doğru biraz beyazlık var yani oralara oksijen gitmemiş. Şimdi entübe edildiği için basınçla oraya oksijen verecekler ciğerleri toparlanacak. İlaç tedavisi ile de iltihap gerilecek inşallah. Biraz zayıf mı doğdu haftasıyla uyumlu muydu evladınız ?
 
Sol tarafta beyazlıklar var ya onun bir kısmı kalbin gölgesi ama yine de yukarı doğru biraz beyazlık var yani oralara oksijen gitmemiş. Şimdi entübe edildiği için basınçla oraya oksijen verecekler ciğerleri toparlanacak. İlaç tedavisi ile de iltihap gerilecek inşallah. Biraz zayıf mı doğdu haftasıyla uyumlu muydu evladınız ?
2430 gram doğdu haftasıyla uyumlu dediler sizce iyileşir mi doktor da verdiğimiz antibiyotikle orayı kapatmaya başladık dedi bebekler büyüklere göre daha hızlı iyileşiyor dedi Allahtan ümit kesilmez dua ediyorum hep inşallah düzelir görmeye gidiyorum her gün 5 dk izin veriyorlar
 
2430 gram doğdu haftasıyla uyumlu dediler sizce iyileşir mi doktor da verdiğimiz antibiyotikle orayı kapatmaya başladık dedi bebekler büyüklere göre daha hızlı iyileşiyor dedi Allahtan ümit kesilmez dua ediyorum hep inşallah düzelir görmeye gidiyorum her gün 5 dk izin veriyorlar
Maşallah ona doktorunuz ne diyorsa onun dediği doğrudur emin olun en kötü ihtimali söylerler. Susuz doğan bebeklerde bu durum olması normal çünkü su bebeği koruyan mucizevi bir şey. O yüzden dualarınızı eksik etmeyin sabredin bebekler çok güçlü. İnşallah iyi olacak ciğerde çok hasar yok öyle diyeyim ama elbette her an herşey de olabiliyor olumsuz düşünmeyin bir an önce sağlıkla kavuşun inşallah. Kendinizi üzmeyin bebeğiniz hala size bağlı hala sizi hissediyor. İyileş gel annecim iyi olacağız seni çok seviyorum bak odanı hazırlıyorum bak kıyafetlerini hazırlıyorum gibi olumlu cümleler kurun yanına gittiğinizde konuşun ağlamayın olur mu ne kadar güzel olduğunu söyleyin :)
 
Maşallah ona doktorunuz ne diyorsa onun dediği doğrudur emin olun en kötü ihtimali söylerler. Susuz doğan bebeklerde bu durum olması normal çünkü su bebeği koruyan mucizevi bir şey. O yüzden dualarınızı eksik etmeyin sabredin bebekler çok güçlü. İnşallah iyi olacak ciğerde çok hasar yok öyle diyeyim ama elbette her an herşey de olabiliyor olumsuz düşünmeyin bir an önce sağlıkla kavuşun inşallah. Kendinizi üzmeyin bebeğiniz hala size bağlı hala sizi hissediyor. İyileş gel annecim iyi olacağız seni çok seviyorum bak odanı hazırlıyorum bak kıyafetlerini hazırlıyorum gibi olumlu cümleler kurun yanına gittiğinizde konuşun ağlamayın olur mu ne kadar güzel olduğunu söyleyin :)
bugün elini tutmama izin verdiler tuttuğum an gülümseye başladı inşallah iyileşir bi an önce kucağıma alırım onu hastaneden almaya gideceğim günü hayal ediyorum rabbim şifasını versin inşallah 💖🙏🏻 rötgen bir daha ne zama. çekilir acaba en son 7 sinde ilk gün çekilmiş bir bilginiz var mı
 
Kızım doğalı 5 gün oldu. Hızlı soluk alıp verme sebebiyle küveze alındı. 3 gündür entübe pnömöni olduğu söylendi. Başına gelen var mı kızım için dua eder misiniz
Yeğenim aynı durumu yaşadı, anne karnında pnömoni olmuş dediler, yaklaşık 40 gün kaldı yoğun bakımda Dr nerdeyse mezar yerini hazırlayın dedi ve sonunda şifa ile çıktı çok şükür. Şimdi 2 yaşında 😊 akciğerine tüp takmışlardı hala izi duruyor. Bebekler düşündüğünüzden daha güçlü, korkmayın. Allah şifa ile kucağınıza almayı nasip etsin kısa zamanda.
 
bugün elini tutmama izin verdiler tuttuğum an gülümseye başladı inşallah iyileşir bi an önce kucağıma alırım onu hastaneden almaya gideceğim günü hayal ediyorum rabbim şifasını versin inşallah 💖🙏🏻 rötgen bir daha ne zama. çekilir acaba en son 7 sinde ilk gün çekilmiş bir bilginiz var mı
Doktor durumunda ya da bağlı olduğu monitörde kötüle gidiş görürse yeniden çekerler. Stabil ise bebeği maruz bırakmamaya çalışıyorlar. Yoğun bakımlarda mantık böyle bebek iyiyse minimum temas minimum işlem. Biz istiyoruz anne olarak hep baksınlar hep kontrol etsinler ama yoğun bakımların sistemi böyle değil. Sabırlı olacağız başka bir çaremiz yok :)
 
Yeğenim aynı durumu yaşadı, anne karnında pnömoni olmuş dediler, yaklaşık 40 gün kaldı yoğun bakımda Dr nerdeyse mezar yerini hazırlayın dedi ve sonunda şifa ile çıktı çok şükür. Şimdi 2 yaşında 😊 akciğerine tüp takmışlardı hala izi duruyor. Bebekler düşündüğünüzden daha güçlü, korkmayın. Allah şifa ile kucağınıza almayı nasip etsin kısa zamanda.
Amin çok teşekkürler
 
Doktor durumunda ya da bağlı olduğu monitörde kötüle gidiş görürse yeniden çekerler. Stabil ise bebeği maruz bırakmamaya çalışıyorlar. Yoğun bakımlarda mantık böyle bebek iyiyse minimum temas minimum işlem. Biz istiyoruz anne olarak hep baksınlar hep kontrol etsinler ama yoğun bakımların sistemi böyle değil. Sabırlı olacağız başka bir çaremiz yok :)
temas yaptırdılarsa durumu iyiye gidiyor demek mi oluyor onu mu anlamalıyım 🥹
 
Merhaba, ben 35+0’da doğum yaptım. Acil bir durum nedeniyle, bebeğimin suyunun bitmesi üzerine zorunlu sezaryene alındım. Doğum sırasında bebeğim nefes almakta zorlandı ve rengi değiştiği için hemen küveze alındı. Maalesef 3. gün entübe edildi; bugün 4. gün. Canımdan can gidiyor, her gün onu görmeye gidiyorum ve kahroluyorum. Ne olur, kızıma dua edin, iyileşsin…

Doktorlar, bebeğimin nefes alıp verirken zorlandığını ve bu nedenle renginin değiştiğini söyledi. Akciğerindeki iltihap nedeniyle entübe edildiği belirtildi. Ayrıca ekipman ya da ihtiyaçlar konusunda “Ekiprüz Bilgilerini” kimden talep edebileceğimi öğrenmek istiyorum.
Merhaba çok geçmiş olsun. Evet benim bebeğim de ilk doğduğunda mordu. Sezeryan ile doğum oldu doktor bana gösterdi hemen çekti o anı hatırlıyorum. Sizi çok iyi anlıyorum endisenizi korkunuzu 3 ay önce 11 Ekim'de yaşadık. Doktor kalktığında bebeği görebilirsin dedi. Erkenden acı ağrı demeden kalkmaya çalıştım izin vermediler. Bebeğim de entübe edilmisti. Bizimki de çok hızlı nefes alıp veriyordu ve kanda enfeksiyon vardı. Buradaki diğer annemize de söyledim. Tedavi 3-2-1 diye gidiyor. Bebeğin durumuna göre tedaviyi değiştirirler. Dualarım sizinle. İnşallah en kısa sürede sağlıkla bebeklerinizi kucağına alırsınız. Kucağınıza aldığınız anda onu şevkatle saracaksiniz ve tüm o anları unutacaksiniz inşallah.
Epikriz dosyasını bebeğiniz hastaneden çıktığı zaman size hazır bir şekilde vermeleri gerek. Ben özel hastanede doğum yaptım. Hazır bir şekilde biz söylemeden verdiler. Hastane olarak düzen nasıl işliyor bilmiyorum ama siz isterseniz yine de şimdiden bu talebinizi bildirin.
 
temas yaptırdılarsa durumu iyiye gidiyor demek mi oluyor onu mu anlamalıyım 🥹
Hayır onu demedim.. Bebek iyiyse hemşireler doktorlar çok işlem yapmaz tam da ifade edemedim sanırım iyiyse sürekli röntgen çekmezler yani
 
Back
X