Yenidoğan pnömöni

Eklentiler

  • IMG_2216.webp
    IMG_2216.webp
    36,5 KB · Görüntüleme: 56
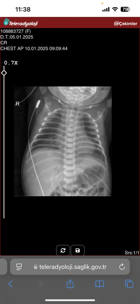
Veriyorlar yeni yeni. 2 gündür entübe değil ama bugün nasıl şuan bilemiyorum kan değerleri bu şekilde
Evet entübasyon hortumu görünmüyor iki hortum olmalıydı ağzında. Entübeden ayrılması da iyi bir şey süt de azıcık gaz yapmış hatta bebişe. Süt aldıkça bu değerler toparlanır. Kan gazına göre bebeğiniz solunumu tölere edebiliyor diyebiliriz bunlar güzel haberler
 
Evet entübasyon hortumu görünmüyor iki hortum olmalıydı ağzında. Entübeden ayrılması da iyi bir şey süt de azıcık gaz yapmış hatta bebişe. Süt aldıkça bu değerler toparlanır. Kan gazına göre bebeğiniz solunumu tölere edebiliyor diyebiliriz bunlar güzel haberler
Çok teşekkür ederim çok sağolun inşallah hemen iyileşir
 
Merhabalar benim bebeğim de doğuştan Pnömoni doğdu 38+3 kilosu da 3300 gram şuan entübe durumda çok kötü günler geçiriyorum.umut verici haberler almak için buraya yazmak istedim.
 
Merhabalar benim bebeğim de doğuştan Pnömoni doğdu 38+3 kilosu da 3300 gram şuan entübe durumda çok kötü günler geçiriyorum.umut verici haberler almak için buraya yazmak istedim.
Hiç korkmayın haftası kilosu güzel.Uyutup tedavi ediyorlar nefessiz kalmasın diye görürsünüz cabucak toparlayacaktır.
 
Hiç korkmayın haftası kilosu güzel.Uyutup tedavi ediyorlar nefessiz kalmasın diye görürsünüz cabucak toparlayacaktır.
Amin inşallah Çok teşekkür ederim iyi dilekleriniz için.7 gün oldu entübe olalı tükendim inanın çok zor Allah kimseyi evladıyla sınamasın 🥹
 
Amin inşallah Çok teşekkür ederim iyi dilekleriniz için.7 gün oldu entübe olalı tükendim inanın çok zor Allah kimseyi evladıyla sınamasın 🥹
Ah ah bilmez miyim Allah bütün annelerin yardımcısı olsun içinizi ferahlatacak mucizelerle mücdelenin inşallah
 
Bu konuyu güncellemek istedim. Herkese duaları için çok teşekkür ederim Allah razı olsun. Böyle bir durumda yaşayankara da umut olsun isterim. Entübe olduğu günler ldu solunumun burnundan desteklendiği günler oldu ama çok şükür Kızım iyileşti. Yaşayan ailelere acil şifalar diliyorum çok zor bi durum
 

Eklentiler

  • Screenshot_20250709_142908_tr.gov.saglik.enabiz.webp
    Screenshot_20250709_142908_tr.gov.saglik.enabiz.webp
    16,8 KB · Görüntüleme: 22
  • Screenshot_20250709_011620_tr.gov.saglik.enabiz.webp
    Screenshot_20250709_011620_tr.gov.saglik.enabiz.webp
    14,3 KB · Görüntüleme: 14

Eklentiler

  • Screenshot_20250709_142908_tr.gov.saglik.enabiz.webp
    Screenshot_20250709_142908_tr.gov.saglik.enabiz.webp
    16,8 KB · Görüntüleme: 19
  • Screenshot_20250709_011620_tr.gov.saglik.enabiz.webp
    Screenshot_20250709_011620_tr.gov.saglik.enabiz.webp
    14,3 KB · Görüntüleme: 27
Toparlıyor merak etmeyin. Doğumda oksijensiz kaldı mı?
Valla 10 sanyi sezeryan sırası gostrdiler agladgninduydum yogum bakima alalim dediler solunumunda biraz sıkıntı var sonra dediler zature olmus anlamadim solunuma bagli bebegm suan dualarinizi eksik etmeyin
 
Back
X