- Konu Sahibi koalaseven
-
- #221
Eki Görüntüle 1028258 Eki Görüntüle 1028259 Eki Görüntüle 1028257
Arkadaşlar öncelikle herkese merhaba.Umarım fotoğrafları yükleyebilmişimdir.Gördüğünüz üzere özellikle ön üst 6 dişimden hem estetik hem sağlık açısından rahatsızım.Zirkonyum kaplama yaptırmak istiyorum çok araştırdım sonuç kafa karışıklığı.Sadece estetik amaçlı zirkon yaptırmayacağım dişlerimi bunu baştan belirtiyim.Dişlerim genel olarak sağlıksız güçsüz gördüğünüz ön 6 dişimde bile 3 tane dolgu mevcut.Bir tanesi arkadan çürümeye başlamış.Diş etlerimde genel olarak sorunlu.Zirkonyum kaplama yaptırmayı düşünüyorum ama doğal durmaz ve rahat yiyip içemem diye korkuyorum.Dişlerini yaptıran arkadaşlardan ricam sizce ne yapmalıyım zirkon tavsiye edermisiniz,sorun yaşadınızmı,tavsiye edebileceğiniz bir doktor var mı.Yardımlarınızı bekliyorum kızlar çocukluğumdan beri sorunlu dişlerimle uğraşıyorum sonuç hep aynı ne yapsam olmuyor doğuştan diş konusunda şanşsızım ve artık birşey yapmam lazım.ama ne ?
Selam canım , bende diş eti çekilmesi oldugundan dişlerim birbirlerinden ayrılıyordu zamanla , ön 4 dişimi yaptırmıştım ama cok estetik durmadı herkes kaplama oldugunu anlıyordu ... bende 8 e cıkarıym dedim belki insanlar anlamaz dedim... bunlar da metal kaplamalıydı ve agzımda igrenç bir koku yaptı.. onları bir sürü arayıştan sonra yeni bir doktorda hem cıkarttırdım hemde 8 adet zirkon emax yaptırdım... 25 nisan 2014 de takıldı yeni dişlerim ... ve 2 gece önce kız arkadaşlarımla buluşmamız vardı. herkes dişlerime bayıldı... bir kız arkadaşım ön 2 dişi kaplama o bile zirkon emax yaptıracagını söyledi.. o kadar doğal duruyorki anlatamam... rengi de müthiş oldu... doktorumun yanında aynı zamanda teknisyen de var ve ekip çalışmasını aynı muayenehane de yapıyorlar. dolayısıyla estetik te falan herhangi bi problem oldugunda hemen müdahale edilebiliyor ... inanılmaz güzel dişlerim şu anda ... birazcık diş etlerimde şişme oldu ... onu da tuzlu su gargarasıyla hallettimm.. doktor ismi burda veriliyor mu bilmiyorum... o yüzden yanlış bişey yapmak istemem...
çok geçmiş olsun... umarım hangi doktora gidersen git benimgibi mutlu olursun...
Eki Görüntüle 1107922 Eki Görüntüle 1107923
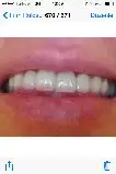
Bunlarda son olsun.Durmadan fotoğraf çekiyorum ve aynada bakıyorum.İlk baş biraz tuhaf geliyor ama zamanla gözüm alıştı. 2 günde alıştım yani:)Belki dişlerin üzerinde biraz oynatabilirim ama elimizde olan bu :) Hafif oynamalar yan iki dişi hafif kısaltma gibi şeyler düşünüyorum ama karar veremedim.O işin kolay kısmı artık zoru atlattık darısı isteyenlerin başına inşallah.İlk günden beri destek olan herkese teşekkür ederim.Beğenmeyen direkt söyleyebilir.Eleştirilere her zaman açığımdır.Ona göre üzerinde ufaktan oynama yapılsın mı yapılmasın mı karar vermiş olurum hemde :)
yine hayırlı olsun canım :) yanlış yönlendirmek istemiyorum ama sanki ön iki diş biraz daha uzun görünse daha hoş olur gibime geliyor yine de sen bilirsin :) gerçi yazmışsın yan dişler kısalabilir diye ben de o fikirdeyim :)
Selam canım , bende diş eti çekilmesi oldugundan dişlerim birbirlerinden ayrılıyordu zamanla , ön 4 dişimi yaptırmıştım ama cok estetik durmadı herkes kaplama oldugunu anlıyordu ... bende 8 e cıkarıym dedim belki insanlar anlamaz dedim... bunlar da metal kaplamalıydı ve agzımda igrenç bir koku yaptı.. onları bir sürü arayıştan sonra yeni bir doktorda hem cıkarttırdım hemde 8 adet zirkon emax yaptırdım... 25 nisan 2014 de takıldı yeni dişlerim ... ve 2 gece önce kız arkadaşlarımla buluşmamız vardı. herkes dişlerime bayıldı... bir kız arkadaşım ön 2 dişi kaplama o bile zirkon emax yaptıracagını söyledi.. o kadar doğal duruyorki anlatamam... rengi de müthiş oldu... doktorumun yanında aynı zamanda teknisyen de var ve ekip çalışmasını aynı muayenehane de yapıyorlar. dolayısıyla estetik te falan herhangi bi problem oldugunda hemen müdahale edilebiliyor ... inanılmaz güzel dişlerim şu anda ... birazcık diş etlerimde şişme oldu ... onu da tuzlu su gargarasıyla hallettimm.. doktor ismi burda veriliyor mu bilmiyorum... o yüzden yanlış bişey yapmak istemem...
çok geçmiş olsun... umarım hangi doktora gidersen git benimgibi mutlu olursun...
merhaba didoshh ben de zirkonyum yaptırmayı düşünüyorum acaba dişlerinin fotoğrafını koyabilirmisin bir kaç açıdan.zbir de zirkonyumun tek diş fiyatını öpğrenebilirmiyim ?[/
bişeyler yapmaya çalıştım ama canım umarım işine yarar.. evden çıkıyorum diye alelacele gönderiyorum.. zirkon dişler heryerde 600-700 lira arasında ama burası osmanbeyde ve ekip olarak aynı yerde olduklarından en uygun fiyatı verdiler.. vee gerçekten çok iyi doktorlar ve teknisyenler var... burda 8 diş tanesi 450 liradan yaptırdım... bana fiyat uygun geldi. vee çok kaliteli bir yerde kaliteli bir muayenehane ... yani insanın aklına garip garip şeyler gelimioo.. acaba kandırlıyormuyum hissi olmadı anlayacagın... umarım işine yarar bilgiler verebilmişimdir ... canımmm tekrar geçmiş olsunn... başka bişi sormak istersen tekrar yazarımm... bye bye...)
Mrhaba.Bende de diş eti çekilmesi vardı ve dişlerimin hali ortada zaten :) Ama ben yaptırdım dişlerimi 3 gün önce bitti 22.sayfaya bakarsan yeni dişlerimin fotosunu yükledim.İlgin için teşekkürler emaxı bende duydum ama baya pahalıydı sanki,ben zirkonyum kaplama yaptırdım.Porselenlerden daha doğal duruyor gerçekten ve dişetiyle uyumlu.Benim dişetlerimle bile uyum durduysa herkeste durabilir :) Dişetlerim içinde küretaj oldum sonrada dişlerim küçültülüp zirkonlar takıldı.Şuan çok rahatım hemen alıştım kendi dişlerim gibi.Senin dişlerini merak ettim açıkcası bir foto koyabilirsen sevinirim.Sadece dişeti çekilmesinden dolayımı yaptırdın yoksa dişlerinde estetik bozukluk varmıydı benim gibi.Bende dişlerle ilgili bütün sorunlar mevcuttu hepsi halloldu çok şükür.Sen de güle güle kullan canım.
bende sadece dişeti çekilmesi vardı canım... estetik olarak kötü gözükmeye başlamıştı.. cünkü dişler birbirinden ayrılıyordu... bi kaç tane resim koydum ama acelem oldgundan dogru düzgün çekebildim mi bilmiorum...sende güle güle kullan canımm... ) yeni dişlerimizle mutlu gülüşlereee... )
Eki Görüntüle 1028258 Eki Görüntüle 1028259 Eki Görüntüle 1028257
Arkadaşlar öncelikle herkese merhaba.Umarım fotoğrafları yükleyebilmişimdir.Gördüğünüz üzere özellikle ön üst 6 dişimden hem estetik hem sağlık açısından rahatsızım.Zirkonyum kaplama yaptırmak istiyorum çok araştırdım sonuç kafa karışıklığı.Sadece estetik amaçlı zirkon yaptırmayacağım dişlerimi bunu baştan belirtiyim.Dişlerim genel olarak sağlıksız güçsüz gördüğünüz ön 6 dişimde bile 3 tane dolgu mevcut.Bir tanesi arkadan çürümeye başlamış.Diş etlerimde genel olarak sorunlu.Zirkonyum kaplama yaptırmayı düşünüyorum ama doğal durmaz ve rahat yiyip içemem diye korkuyorum.Dişlerini yaptıran arkadaşlardan ricam sizce ne yapmalıyım zirkon tavsiye edermisiniz,sorun yaşadınızmı,tavsiye edebileceğiniz bir doktor var mı.Yardımlarınızı bekliyorum kızlar çocukluğumdan beri sorunlu dişlerimle uğraşıyorum sonuç hep aynı ne yapsam olmuyor doğuştan diş konusunda şanşsızım ve artık birşey yapmam lazım.ama ne ?
merhabalar ben de zirkonyum diş yaptırmak istiyorum ön dört dişimde porselen kaplama var düşmeye basladılar ben rizede oturuyorum ayın 22 sinde devlette randevum var arka dişlerimdede biraz sorun var onları hallettikten sonra ön dişlerim için doktor aramaya baslıcam bende
tatlım benm bir dişim kaç senedir kırıktı kötü bir kaplama yapılmıştı tek diş olduğu için zor bi durumdu diğerlerine uyum sağlaması açısından zirkonyum yaptırdım geçen yaz kmse fark etmiyor o dişin benm olmadığını önceden herkes derdi dişin kaplamammı diye şimdi dişlerim çok güzel görünüyor rahatlıkla gülebiliyorum 650 liraya yaptırmıştım tanesini zaten bi tekti ve kaç defa gidip geldim olmayınca içime sinmeynce yeniden yaptı hatta 3 defa baştan yapıldı izmirdeysen yardımcı olabilirim
Merhaba ben yaptırdım memnunum şuan dişlerimden.Umarım sizde bulursunuz istediğiniz gibi bir doktor.Bulduktan sonra gerisi kolay sayılır.
Eki Görüntüle 1028258 Eki Görüntüle 1028259 Eki Görüntüle 1028257
Arkadaşlar öncelikle herkese merhaba.Umarım fotoğrafları yükleyebilmişimdir.Gördüğünüz üzere özellikle ön üst 6 dişimden hem estetik hem sağlık açısından rahatsızım.Zirkonyum kaplama yaptırmak istiyorum çok araştırdım sonuç kafa karışıklığı.Sadece estetik amaçlı zirkon yaptırmayacağım dişlerimi bunu baştan belirtiyim.Dişlerim genel olarak sağlıksız güçsüz gördüğünüz ön 6 dişimde bile 3 tane dolgu mevcut.Bir tanesi arkadan çürümeye başlamış.Diş etlerimde genel olarak sorunlu.Zirkonyum kaplama yaptırmayı düşünüyorum ama doğal durmaz ve rahat yiyip içemem diye korkuyorum.Dişlerini yaptıran arkadaşlardan ricam sizce ne yapmalıyım zirkon tavsiye edermisiniz,sorun yaşadınızmı,tavsiye edebileceğiniz bir doktor var mı.Yardımlarınızı bekliyorum kızlar çocukluğumdan beri sorunlu dişlerimle uğraşıyorum sonuç hep aynı ne yapsam olmuyor doğuştan diş konusunda şanşsızım ve artık birşey yapmam lazım.ama ne ?
Merhaba.sizin iyiymiş tek diş :)Konuyu buraya ilk açtığımda dişlerim böyleydi evet ama artık yaptırdım 6 tane zirkonyum kaplama henüz 3 gün önce bitti :) Ben İstanbuldayım canım teşekkürler ama buldum uygun bir yer ve iyi bir doktor.Zirkonlar yapıldı ve şuan kendimi daha iyi hissediyorum açıkcası.Önceki sayfalarda bitmiş halinin fotoları var ama görmediysen tekrar yüklemeye çalıyım.Sende güle güle kullan.
Eki Görüntüle 1108938 Eki Görüntüle 1108940merhaba didoshh ben de zirkonyum yaptırmayı düşünüyorum acaba dişlerinin fotoğrafını koyabilirmisin bir kaç açıdan.zbir de zirkonyumun tek diş fiyatını öpğrenebilirmiyim ?[/
Eki Görüntüle 1108938 Eki Görüntüle 1108940
bişeyler yapmaya çalıştım ama canım umarım işine yarar.. evden çıkıyorum diye alelacele gönderiyorum.. zirkon dişler heryerde 600-700 lira arasında ama burası osmanbeyde ve ekip olarak aynı yerde olduklarından en uygun fiyatı verdiler.. vee gerçekten çok iyi doktorlar ve teknisyenler var... burda 8 diş tanesi 450 liradan yaptırdım... bana fiyat uygun geldi. vee çok kaliteli bir yerde kaliteli bir muayenehane ... yani insanın aklına garip garip şeyler gelimioo.. acaba kandırlıyormuyum hissi olmadı anlayacagın... umarım işine yarar bilgiler verebilmişimdir ... canımmm tekrar geçmiş olsunn... başka bişi sormak istersen tekrar yazarımm... bye bye...)
çok teşekkür ederim cevabın için :) dişlerin de çok hoş görünüyor ve baya uygun fiyata yaptırmışsın osmanbey gibi bir yerde güle güle kullan canım bol bol gülümsemeler sana darısı başıma :)
Teşekkürler canım.Bende öyle düşünüyorum ama çok hafif uzun olabilir bariz bir şekilde istemiyorum bu hafta tekrar gidicem zaten hafif yan dişleri kısalttırıcam.Onun dışında genel olarak beğendin mi,doğal duruyor mu?Önceki sayfaya bir foto yükledim öncesi-sonrası diye aradaki farka bakarmısın keşke daha önce yaptırsaydım diyorum şimdi :)Sen naptın varmı bi gelişme
Benim ondeki disimde kist vardi bu yuzden ameliyat oldum snra koku alindigi icin dis sarardi bende zirkonyum yaotirdim cok memnunum benim ilk on dordum zirkonyum bir ayda tamamen biti iki kere denedim oldu bitu ve kimse gercek disimden ayiramiyor senin icin resmimide koyayim bak
Kadınlar Kulübü Mobil uygulaması kullanılarak gönderilmiştir.
Kadınlar Kulübü Mobil uygulaması kullanılarak gönderilmiştir.
We use cookies and similar technologies for the following purposes:
Do you accept cookies and these technologies?
We use cookies and similar technologies for the following purposes:
Do you accept cookies and these technologies?