• Merhaba, Kadınlar Kulübü'ne ÜCRETSİZ üye olarak yorumlar ile katkıda bulunabilir veya aklınıza takılan soruları sorabilirsiniz.

2018 Mayıs Anneleri

Bebeğinizin cinsiyeti ne olacak ?


  • Ankete Katılan
    349
Merhaba kızlar, çoğunluk cinsiyet öğrenmiş hayırlı olsun inşallah ben geçen perşembe gittim erken daha dedi doktor ve üç hafta sonra gel dedi ben 10 günde bir gidiyordum ilkinde 22. Haftada kalbi pihtilasmadan durdugundan 10 günü zor ediyorum napayim artık bi buna bi hafta doktora gidicem sanırım. Bu arada folik asit için bişey demedi bende unuttum sormayı üç ay bitti hala kullaniyor musunuz bırakan var mi
 
Merhaba kızlar, çoğunluk cinsiyet öğrenmiş hayırlı olsun inşallah ben geçen perşembe gittim erken daha dedi doktor ve üç hafta sonra gel dedi ben 10 günde bir gidiyordum ilkinde 22. Haftada kalbi pihtilasmadan durdugundan 10 günü zor ediyorum napayim artık bi buna bi hafta doktora gidicem sanırım. Bu arada folik asit için bişey demedi bende unuttum sormayı üç ay bitti hala kullaniyor musunuz bırakan var mi
Of 3 hafta çok beni 5 hafta arayla çağırdı gerçi de :)
 
Maşallah kesinlikle en güzeli o haklısın :)

Çok güzel teşekkürler ❤️


Canım 14. Hafta gireceğiz 2. Trimester a. İlk gebeliğin değil mi. İnan çok daha rahat olacak. :p

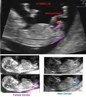
Ben pek usta değilim ama ya paralel kız yani ya da nub göremedim :KK43:


Sizinki nub ı karıştırmıyorsam erkek gibi geldi bana :-) çıkıntılar net değil gerçi ama
Nub ne demekki ??
 
Nub ne demekki ??
Bu fotoğrafta çok güzel açıklamış female dediği kız da olan çıkıntı sırtına paralel
Male dediği erkekte olan çıkıntı dik açılı yukarı bakıyor
 

Eklentiler

  • 25AB55FD-A193-41D9-B0E6-08E702B1CB63.webp
    25AB55FD-A193-41D9-B0E6-08E702B1CB63.webp
    14,6 KB · Görüntüleme: 81
Bebeğin kalp atışlarını alamadığımız için gebeligim, bu gün, yani 10 haftalıkken sonlandırıldı. Ilk etapta duzgun bir form cizen gebelik kesesi son bir haftadir duzensizlesti ve icinde embriyo canlanmadi. Kromozomsal bir anomali veya kalitesiz sperm kalitesiz yumurtadan olabilir dedi doktorum. Boyle de tecrubemiz oldu. Sizlere mutlu ve sağlıklı doğumlar dilerim. :nazar:
 
Bebeğin kalp atışlarını alamadığımız için gebeligim, bu gün, yani 10 haftalıkken sonlandırıldı. Ilk etapta duzgun bir form cizen gebelik kesesi son bir haftadir duzensizlesti ve icinde embriyo canlanmadi. Kromozomsal bir anomali veya kalitesiz sperm kalitesiz yumurtadan olabilir dedi doktorum. Boyle de tecrubemiz oldu. Sizlere mutlu ve sağlıklı doğumlar dilerim. :nazar:
Gecmis olsun insallah tez zamanda yeri dolar bebeginizin.allah sabir versin
 
Bebeğin kalp atışlarını alamadığımız için gebeligim, bu gün, yani 10 haftalıkken sonlandırıldı. Ilk etapta duzgun bir form cizen gebelik kesesi son bir haftadir duzensizlesti ve icinde embriyo canlanmadi. Kromozomsal bir anomali veya kalitesiz sperm kalitesiz yumurtadan olabilir dedi doktorum. Boyle de tecrubemiz oldu. Sizlere mutlu ve sağlıklı doğumlar dilerim. :nazar:
Cok gecmis olsun. Hep ayni seyleri soyluyorum ama dilegim samimi. Hepimizin en buyuk kabusu basiniza gelmis.
Umarim en kisa zamanda saglikli bir bebeginiz olur ve kucaginiza alirsiniz.

Bu arada kanamaniz olmusmuydu? Hic hissetmis miydiniz?
 
Cok gecmis olsun. Hep ayni seyleri soyluyorum ama dilegim samimi. Hepimizin en buyuk kabusu basiniza gelmis.
Umarim en kisa zamanda saglikli bir bebeginiz olur ve kucaginiza alirsiniz.

Bu arada kanamaniz olmusmuydu? Hic hissetmis miydiniz?
Hayir canim hic kanamam olmadi yalniz enteresan olan benim hic hamilelik belirtisi yasamamis olmam di, ters giden birşeyleri baştan beri hisettim diyebilirim, ama bu gün doktorum ultrasondan bakarken kese duzensizlesmis etrafında kanama alanı var dedi, müdahale yapılmasaydı bir kaç güne kanamam olurdu diye düşünüyorum, ama öncesinde birseyim olmadi
 
Bebeğin kalp atışlarını alamadığımız için gebeligim, bu gün, yani 10 haftalıkken sonlandırıldı. Ilk etapta duzgun bir form cizen gebelik kesesi son bir haftadir duzensizlesti ve icinde embriyo canlanmadi. Kromozomsal bir anomali veya kalitesiz sperm kalitesiz yumurtadan olabilir dedi doktorum. Boyle de tecrubemiz oldu. Sizlere mutlu ve sağlıklı doğumlar dilerim. :nazar:

Canım geçmiş olsun inşallah tez vakitte sağlıklı gebeliğin olur ve sağsalim kucağına alırsın.
Günümüzde o kadar kötü koşullardayız ki yediğimiz içtiğimmiz hormonlu sağlıklı bir bebeğe sahip olmak mucize :(
Dilerim Rabbim hepimize bu mucizeyi yaşatır
 
Bebeğin kalp atışlarını alamadığımız için gebeligim, bu gün, yani 10 haftalıkken sonlandırıldı. Ilk etapta duzgun bir form cizen gebelik kesesi son bir haftadir duzensizlesti ve icinde embriyo canlanmadi. Kromozomsal bir anomali veya kalitesiz sperm kalitesiz yumurtadan olabilir dedi doktorum. Boyle de tecrubemiz oldu. Sizlere mutlu ve sağlıklı doğumlar dilerim. :nazar:
Çok geçmiş olsun. Bende buna benzer bir sebeple bir kayıp yaşamıştım. Dilerim en kısa zamanda sağlıklı bir gebelik yaşarsınız. ❤
 
Kızlarr birşey sormak istiyorum...
Kasıklarınızda batma ya da sancı oluyor mu hala? Ya da batması veya sancısı sıklaşan varmı? Benim özellikle solda, nadiren sağda olmak üzere bu ara sık sık saniyelik batma ya da sancılarım oluyo. Sürekli değil ama ra ara saniyelik...Okuduğum kaynaklarda Round ligament denen bebeğin büyümesine bağlı ağrılar genelde sağda olurmuş. o_O yani illa sağda mı olması gerek solda olan ağrı veya batma sıkıntılı mı? Endişelenmem gereken bişey var mı acaba ben mi evhamlandım gene?:110:
Bende cizgi seklinde sagdan Sola agri oluyor. Tam arabadan inerken iki buklum oluyorum biri bicakla kesik atip kacmis gibi

Kizzlar ikili test icin ultrason yaptirdim ve kan verdim. Kan sonucu haftaya ama ultrason gayet iyiydi ense kalinligi 0.80 ve burun kemigi de olusmus Allaha sukur ve cinsiyet icin de erkek dedi doktor cok emin bir sekilde. Bir bakin siz de :KK66:
tekrar kan verecek misiniz? Gozunuz aydin bu arada :)

zaten bende pek uyabilcemi sanmiyorum. ben hersey yiyorum. tursu makarna salatasi olarak tuketiyorum. ama zaten pilav makarna cok sevmiyorum da manti aseriyordum ya. colada icmiyorum zaten hic ama menu beni bile cok kasti bazen kizartma yiyorum. ama salatami corbami ana yememi yiyorum meyve ama tatli tatli nasil karsi cikar. ben tuzlu tatli ne varsa yiyorum zeytin bile yazmis. bide su bana cok geldi 15 bardak zaten havalar sogudu surekli tuvalet gitmeyide hic sevmiyorum ama kesenin o hal gorunce yapacam galiba
sicak suya limon sikin icin. Wc ye de gidin tutmayin hic.

Kilo alimiyla ilgili merak edenler inceleyebilirEki Görüntüle 2059237
bu kitabin kapagini cekip atar misiniz?

Merhaba kızlar, çoğunluk cinsiyet öğrenmiş hayırlı olsun inşallah ben geçen perşembe gittim erken daha dedi doktor ve üç hafta sonra gel dedi ben 10 günde bir gidiyordum ilkinde 22. Haftada kalbi pihtilasmadan durdugundan 10 günü zor ediyorum napayim artık bi buna bi hafta doktora gidicem sanırım. Bu arada folik asit için bişey demedi bende unuttum sormayı üç ay bitti hala kullaniyor musunuz bırakan var mi
Ben but hafta soracagim ama folikli karisik vitamin benimkisi. Buyuk ihtimal devam diyecek
 
Çok geçmiş olsun. Bende buna benzer bir sebeple bir kayıp yaşamıştım. Dilerim en kısa zamanda sağlıklı bir gebelik yaşarsınız. ❤
Çok teşekkür ederim, bebeğinizi sağlıkla kucağınıza alın inşallah, benim küçük oğlum daha 6.5 aylık o bir büyüsün sonra düşüneceğim yaşım fazla geçmeden:)
 
Bebeğin kalp atışlarını alamadığımız için gebeligim, bu gün, yani 10 haftalıkken sonlandırıldı. Ilk etapta duzgun bir form cizen gebelik kesesi son bir haftadir duzensizlesti ve icinde embriyo canlanmadi. Kromozomsal bir anomali veya kalitesiz sperm kalitesiz yumurtadan olabilir dedi doktorum. Boyle de tecrubemiz oldu. Sizlere mutlu ve sağlıklı doğumlar dilerim. :nazar:
Çok geçmiş olsun canım, Allah acini unuttursun tez zamanda hakkında hayirlisini versin inşallah
 
Canım geçmiş olsun inşallah tez vakitte sağlıklı gebeliğin olur ve sağsalim kucağına alırsın.
Günümüzde o kadar kötü koşullardayız ki yediğimiz içtiğimmiz hormonlu sağlıklı bir bebeğe sahip olmak mucize :KK43:
Dilerim Rabbim hepimize bu mucizeyi yaşatır
Valla neler sebep oldu hiç bilmiyorum ama haklı olabilirsiniz dikkat etmek gerekli, dileğiniz için çok teşekkür edrim sizde sağlı bir şekilde bebegineize kavuşun insallah
 
Back
X