- 25 Ocak 2019
- 1.267
- 2.067
- 133
Evet canım olmuş gibiKızlar merhaba bugün yaptığın ovülasyon testim öğleden sonra yapmıştım 2 Mart adet günümdü yumurtlama olmuş görünüyor bu teste göre sanırım yardımcı olur musunuz ?
Teşekkür ederimEvet canım olmuş gibi
Bizi de 28inde cagirdi doktor kalp atışlarını duymak icin. Kalp hucreleri olusmaya baslamis dediydi gecen gun :)) amiiinn <3 Allah bu heyecani burdaki isteyen tum arkadaslarimiza nasip etsin insallah <3Ayyy masallahh..Yerim ben onu:)))Ben de dun gittim.Sadece keseyi gorduk.Iki hafta sonra gelirseniz net sekilde bebegi goruruz dedi doktor..Ben de cok heyecanliyim..Gun sayiyorum:))29 un da gidecegim insallah.Allah bebeklerimizi korusun saglikla kucagimiza alalim insallah.
.
Ya senin yazinda gordm de perde ameliyati oldm demissin. Bende de bicornuat uterus var. Ilk ogrendigimde doktr perde var sende gibi bise de demisti sanki die hatirliorm. Gerci ondn sonra da hic doktora gitmedm. Dusuk ihtimali yuksk onun disinda bi sorun olmaz demişlerdi. Bi gitsm mi acaba napsam bilemedmBizi de 28inde cagirdi doktor kalp atışlarını duymak icin. Kalp hucreleri olusmaya baslamis dediydi gecen gun :)) amiiinn <3 Allah bu heyecani burdaki isteyen tum arkadaslarimiza nasip etsin insallah <3
Ya senin yazinda gordm de perde ameliyati oldm demissin. Bende de bicornuat uterus var. Ilk ogrendigimde doktr perde var sende gibi bise de demisti sanki die hatirliorm. Gerci ondn sonra da hic doktora gitmedm. Dusuk ihtimali yuksk onun disinda bi sorun olmaz demişlerdi. Bi gitsm mi acaba napsam bilemedm
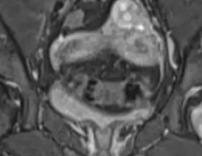
soldaki benim sagdaki senin. Ikisi de rahim perdesi olarak geçiyor ve bu rahim bebegin buyumesi için uygun sekilde degil demek oluyorYa senin yazinda gordm de perde ameliyati oldm demissin. Bende de bicornuat uterus var. Ilk ogrendigimde doktr perde var sende gibi bise de demisti sanki die hatirliorm. Gerci ondn sonra da hic doktora gitmedm. Dusuk ihtimali yuksk onun disinda bi sorun olmaz demişlerdi. Bi gitsm mi acaba napsam bilemedm
Bende universitedryken tesadufen ogrendm o zmn doktr dusuk ihtimali yuksk su an bise yapilmaz 3 tane dusuk yaptiktn sonra anca ameliyat yapiolarms. Bide korunma ztn zor olck gebeliklern demisti. Intrnettn fln bakiorm da gebelige engel deil sadece dusuk oluyo yazio. Hemen gidince ilk muayneden sonra yapiolar misoldaki benim sagdaki senin. Ikisi de rahim perdesi olarak geçiyor ve bu rahim bebegin buyumesi için uygun sekilde degil demek oluyor
Eki Görüntüle 2246863
Bnm teyzemde de var. Evlendktn 9 ay sonra dogurdu 3 senede 3 tane hemde onu da dusununce biraz bekleym diorm ne bilim bilemedm vallasoldaki benim sagdaki senin. Ikisi de rahim perdesi olarak geçiyor ve bu rahim bebegin buyumesi için uygun sekilde degil demek oluyor
Eki Görüntüle 2246863
Aa ben de ayni. Üniversitede idrar yolu enfeksiyonu olmustum tip fakultesine gitmistim orda doktor söylemişti.Bende universitedryken tesadufen ogrendm o zmn doktr dusuk ihtimali yuksk su an bise yapilmaz 3 tane dusuk yaptiktn sonra anca ameliyat yapiolarms. Bide korunma ztn zor olck gebeliklern demisti. Intrnettn fln bakiorm da gebelige engel deil sadece dusuk oluyo yazio. Hemen gidince ilk muayneden sonra yapiolar mi
Tabi ki basit geldiginden deil ztn ameliyati olmazsn kesin dusck die bise yok ki normalde yuzde 10sa dusuk orani atiorm bende yuzde 37ymis.Aa ben de ayni. Üniversitede idrar yolu enfeksiyonu olmustum tip fakultesine gitmistim orda doktor söylemişti.
Tamam zaten bu kısırlık sebebi değil sadece düşük sebebi. Ama düşük sana basit bir sey gibi mi geliyor anlamadim ki. Göze alabiliyor musun bunu? Ben alamadim şahsen. Gittigim 4 doktor da riske atmamam icin beni uyardı. Ki seninki daha ileri seviye bence hic riske atma. Bulunduğun yerde iyi bi kadin dogumcu arastir. Parasini falan düşünme git adam akilli muayene ol. Zaten onlar seni süreç hakkinda bilgilendirir. O bebek karnina düştükten sonra onu kaybedebilecek olma dusuncesi bile insani mahvetmeye yetiyorken ust uste dusuk yaptigini bir düşünsene?
Bicornute gibi degil de senin de uterus septuma benziyor aslinda ama ben anlamam tabi işin uzmani değilim doktor daha iyi bilir
Tabi ki basit geldiginden deil ztn ameliyati olmazsn kesin dusck die bise yok ki normalde yuzde 10sa dusuk orani atiorm bende yuzde 37ymis.
Mr sonucunda yazio bikornual uterus die.Bicornute gibi degil de senin de uterus septuma benziyor aslinda ama ben anlamam tabi işin uzmani değilim doktor daha iyi bilir
Bi gorunup konusmak lazm tabi elimde de mr var ztn hemde 4 tane ordn ztn belli oluyo. Sen nerde oldn ameliyati. Histeroskopiyle düzeltiyorlar dimiAnladim belki tam tersi benimki senden ileri seviyedir bilemiyorum tabi. Sen bilirsin. Insallah olumsuz bir sey olmaz tabi. İnsallah her sey istediğin gibi olur <3
Adetlerin sancili geciomuydu senindeAnladim belki tam tersi benimki senden ileri seviyedir bilemiyorum tabi. Sen bilirsin. Insallah olumsuz bir sey olmaz tabi. İnsallah her sey istediğin gibi olur <3
Ben denizlide oldum hayatimda gördüğüm en basit operasyonu gecirdim. Operasyondan sıfır agriyla uyandim. 2 saat somra da yuruyerek eve gittim. Histereskopi oldu evet :)Bi gorunup konusmak lazm tabi elimde de mr var ztn hemde 4 tane ordn ztn belli oluyo. Sen nerde oldn ameliyati. Histeroskopiyle düzeltiyorlar dimi
Evet kusmali derece sancılı hem deAdetlerin sancili geciomuydu seninde
We use cookies and similar technologies for the following purposes:
Do you accept cookies and these technologies?
We use cookies and similar technologies for the following purposes:
Do you accept cookies and these technologies?