- 31 Temmuz 2014
- 3.789
- 4.273
- 448
Peki canim beklim o zmn biraz daha, saol yinede cevabin icin...bu haftada nub nerdeyse aynı oluyor cnm en iyi tahmin 12 13 te illa bi yorum yap dersen kız gibi geldi bence iki hafta sabret yeni foto koy
Tesekkur ederim canim suan kiz gibi gorunuyor dediniz hepiniz eger kiz cikarsa tahmininiz dogru kizlar ama asil emin olmami saglayacak ultrason goruntusu 2 hafta sonra 12 haftalik oldugumuzda elimde olacak onlarla tekrar sorarim size cok tsk ederim hepinizedeniz kizi esra kiza benziyor canm ama haftasi kucuj oldgu icin Degisme ihtimali de var
Erkek gibi canim nasilda uzanmis masaAllah:)Kizlar hep bu ani bekledim 12 haftalik teyzeleri bi yorum yapin hadi...
Sagol cnm benim yorumuna... doktor kiza benziyor ama emin degilim dedi acikcasi bende ilk cocugum kiz istiyorum ama erkek hissediyorum cok karistim yaErkek gibi canim nasilda uzanmis masaAllah:)
Canim telden giriyorum tam olarak resmi goremiyorum aslinda pc den girersem bi daha bakiyim:)Sagol cnm benim yorumuna... doktor kiza benziyor ama emin degilim dedi acikcasi bende ilk cocugum kiz istiyorum ama erkek hissediyorum cok karistim ya
Ben kıza benzettim canımSagol cnm benim yorumuna... doktor kiza benziyor ama emin degilim dedi acikcasi bende ilk cocugum kiz istiyorum ama erkek hissediyorum cok karistim ya
bence kız bu.nub paralel bir şekilde uzamış.Kizlar hep bu ani bekledim 12 haftalik teyzeleri bi yorum yapin hadi...
maşallah seninki ne güzel gelişmiş.bacakları falan ortada nub,mub kalmamış.direk cinsiyetini görmüştür doktor.erkek olabilir mi acaba bu kadar erken geliştiğine göre.merhabalaaarr...acaba bizim icin de bi thminde bulunabilir misiniz???? 12haftalık goruntumuz...
öyle mi? çok mu gelişmiş? 12 haftalık evet bacakları falan çok belirgindi çapraz yapmış yüzsütü uzanmıştı. doktor daha çok erkek tahmin için dedi...maşallah seninki ne güzel gelişmiş.bacakları falan ortada nub,mub kalmamış.direk cinsiyetini görmüştür doktor.erkek olabilir mi acaba bu kadar erken geliştiğine göre.
Sen kiza benzettim dedin bak simdiki resminemaşallah seninki ne güzel gelişmiş.bacakları falan ortada nub,mub kalmamış.direk cinsiyetini görmüştür doktor.erkek olabilir mi acaba bu kadar erken geliştiğine göre.
bu seninkinin resmi mi baderyanın resSen kiza benzettim dedin bak simdiki resmineEki Görüntüle 1298519
canım karıştırdın galiba ben sana kız demedim.hatta senin ultrason resmin benim 10 haftalık resmime çok benziyor dr erkeğe benzetti benimkini dedim.Benim ultrason resmim de seninkine çok benziyor.acaba sana ne diyecek merak ediyorum.ama ben erkek yorumu yapmıştım sana sanırım.
hatırladın mıhatta seni takip ediyordum dr erkek mi diyecek sanada acaba diye.bana erkeğe benziyor demişti çünkü.resimler çok benziyor birbirine.
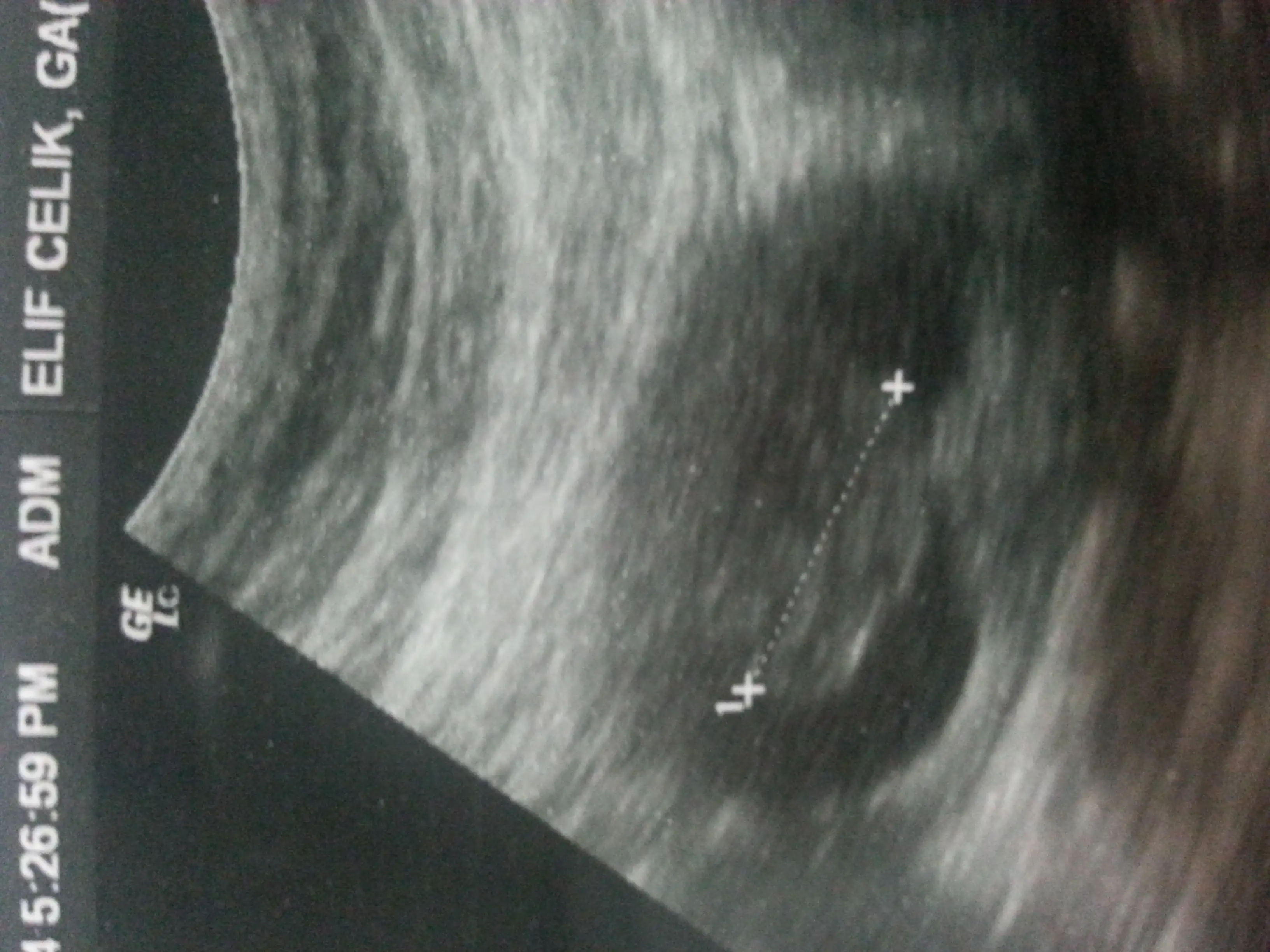
Canim bugün tekrar kontrole gitti gecen hic yorum yapmamisti bugunde bacaklarini acmadigini ama %60 koza benziyor dedi kafayi yedirtecek bana 15 haftalıkken doktor tesislerine pipisine varana kadar gösterdi ama bu kiza benziyor değip gecistiriyorSirti donuk ama uccizgi goruyorum kiz galiba
çok ilginç,o gösterdiği neydi o zaman.nereye gitti onlarhatırladın mı
We use cookies and similar technologies for the following purposes:
Do you accept cookies and these technologies?
We use cookies and similar technologies for the following purposes:
Do you accept cookies and these technologies?