• Merhaba, Kadınlar Kulübü'ne ÜCRETSİZ üye olarak yorumlar ile katkıda bulunabilir veya aklınıza takılan soruları sorabilirsiniz.

2019 Kasım Anneleri

Bebeğinizin cinsiyeti ne olacak ?


  • Ankete Katılan
    280
Tetenoz aşısı galiba. Sağlık ocagı bilgi veriyor. İlk çocukta bebegin hareketini hissettikten sonra yapılıyormş. Ebe öyle dedi bana.
Ay nerden yapıyorlarmış bir kere yaptırmıştım yaralı bölgeye vurmuşlardı iğneden korkmam ama kalçayla kol dışında bi yere yapılınca biraz tırsıyorum:(
 
İçine damlat. Ekmeği kıvır görme canım. Ben öyle yaptım. Sonra normal devam et yemene. Sadece onu çiğneme. Psikolojik olarak etkiliyor :)
Direk yutuyomusun çiğnemeden. Aslında mantıklı ben görmeden eşim ekmeğime damlatsa ben onu yerim normal. Ama görürsem skkıntı
 
Ay nerden yapıyorlarmış bir kere yaptırmıştım yaralı bölgeye vurmuşlardı iğneden korkmam ama kalçayla kol dışında bi yere yapılınca biraz tırsıyorum:KK43:
Ne zmn yaptırmıştın. O aşının beş sene gibi bi özelliği var galiba. Emin değilim ama. Bizim gelinde hamile kalamdan önce yaptırmıştı. Gebelikte yaptırmadı.
 
Bende yukarıda sandım dedim erkek eşim havalara uçtu hala kızım diye severim geliyor bebeğime ayıp olacak erkekse valla.🤣 Kalp atışı 170 dedi doktor birde eşim hemen erkeklerin hızlı atar dedi doktorda güldü.Ya erkekler neden böyle kuzum bilmiyorum alemler.☺️
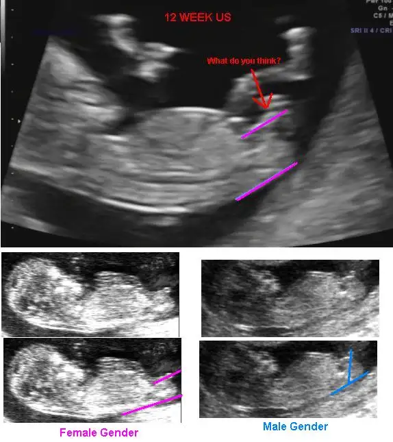
ayy güldürdün beni 😂 benim esimde kiz hissediyor ve gonlunden de kiz geciyor soylemiyor ama biliyorum 😊 bak nub teorisiyle ilgili bi fotograf koyacagim ona bakarsan anlarsin ne demek istedigimi
 
Ya ben bişey sorucam. İkili testi yaptırmadım ya ben. Bebegin iç organlarının gelişimini vs ne zaman görecek. Yani o gelişim için bu testler şartmıydı acaba. Yoksa o test sadece ense kalınlıgınamı bakıyor.cuma günü 12+6 oluyorum gidip yaptırsam mı?

Birde sizce ultrasona sık girmek bebege zarar verir mi?
Aşı formunda görünce aklıma geldi😊
Ultrason görüntüsü ses dalgalarıyla oluyormuş canım. Bi zararı yok. Kalp dinlerken de işi yayıyorlar sesi duymak için. O zararlı işte. Organlar 20. Haftada ayrıntılı ultrasonda bakılıyor. Öncesinde 2 li 3 lü falan yaptırmak tercihine kalmış. 2 liye gittiğinde önce ultrasonda bakılıyor. Anormal bi durumu yoksa kan veriyorsun ona göre de değerlendiriyorlar. Ben de Ense kalınlığı çok diye kana göndermediler. Gerek yok dediler . 11 -12-13. Haftalarda ikiliyi yatırabilirsin canım. Benim tam 13 bittiği gündü.
 

Eklentiler

  • $BoyOrGirl2.webp
    $BoyOrGirl2.webp
    29,3 KB · Görüntüleme: 80
Ben ilk başta öyle yağlı oldugunu düşünmedim . Kaşığa damlattım. Baktım olmuyo suya batırdım yok yine olmadı bıraktm. Ya ben ekmeğe normalde de yağ vs sürüp yiyemem. Onun yağlı oldugunu gördüm ya öyle zor tüketirim. Bi deneyim ama of of havalar düzelsede ggüneşlensek bolca.
Kuzum düşünme onu sen. Bebişin için yap. Bi lokma ekmeğin içine damlat. Kıvır kıvır at ağzına çiğne, başka şeyler de köy ağzına o sıra. Hepsini çiğne gitsin 😀 tadı yok zaten:)
 
Devit-3 verdi doktor banada. 3 aydan snra başla diye. Hala başlayamadım. Damla şeklinde yağ gibi bişy. Suya döktüm midem bulandı nasıl alıcam bilmiyorum hiç ya
Devit-3 ne ki Demir ilacı mı içemiyorsan sağlık ocağına git yarın bacım rahatsız ettiğini söyle başka ilaç yazsın kuzular ilaç yazdırın bu çok önemli ilaçları anne için veriyorlar bebeklerimiz bizden besleniyor zaten kendinizide düşünün
 
Kızlar mesajım arada kaynadı... Yeniden ekliyorum.
Kızlar size saglık ocagının verdigi gebe takip formunu gonderiyorum
20. Haftada tetanoz aşısı baslıcakmıs. Bu arada benimle beraber 20. Haftada bir gebe daha vardı, kucuk bir aletle bebegin kalbini dinledi hemsire. Yani 2 ay sonra her merak edişimizde saglık ocagının yolunu tutarız 😂 bir de kan sulandırıcı igne eger yazdırırsak %20sini oduyoruz ama rapor cıkartırsak hic fark odemiyormuşuz. Bu arada saglık ocagınıza mutlaka gidin. Kan ve idrar tahlil takibi yapılması gerekiyor ya duzenli olarak saglık ocagı bunları tarihine gore yapıyor. Bu arada devlet hast gitmiştim 26tl odeme cıktı eczanede. Saglık ocagı odemesi sadece 9tl. Aklınızda bulunsun kızlar. Bir de seker yuklemesini saglık ocakları da yapıyormuş.Eki Görüntüle 2263832
Beni de aradı hemşire yaklaşık 1 ay önce. 18. Haftada bi arayıp hatırlatıp çağıracaklar aşı için. O günleri görmek nasip olur inşallah 😊
 
Kuzum düşünme onu sen. Bebişin için yap. Bi lokma ekmeğin içine damlat. Kıvır kıvır at ağzına çiğne, başka şeyler de köy ağzına o sıra. Hepsini çiğne gitsin 😀 tadı yok zaten:)
Ayy valla balık yağınada iki gün snra başlıycam ondan da korkuyorum. Adında meymenet yok😂 dedigin gibi yapıcam valla artk bugünlük kahvaltımı yaptım ekmek yemem artık ama yarın sabah kahvaltıda döküp yiycem.
 
Devit-3 ne ki Demir ilacı mı içemiyorsan sağlık ocağına git yarın bacım rahatsız ettiğini söyle başka ilaç yazsın kuzular ilaç yazdırın bu çok önemli ilaçları anne için veriyorlar bebeklerimiz bizden besleniyor zaten kendinizide düşünün
D3 vitamini o canım. Demir başka oluyor. Demir de bulantı kusma yaptı bana. Doktor alış zamanını değiştirdi. Inşallah olamz yine.
 
Ayy valla balık yağınada iki gün snra başlıycam ondan da korkuyorum. Adında meymenet yok😂 dedigin gibi yapıcam valla artk bugünlük kahvaltımı yaptım ekmek yemem artık ama yarın sabah kahvaltıda döküp yiycem.
Sabah demir ilacını alıyorum. Devit 3 ü öğlen al dedi doktor bana
 
Tam aynisini ben de yaşıyorum ve ben doktora sordum bel kaslarin var orda ve artik yavas yavas esniyor dedi. Her kadinin bel kasi gücü de ayni olmadigi icin bazilarinin cok daha fazla ağrıyor dedi. Cok agrirsa parol icebilirsin onun disinda beline baski vermeden yat kalk, yastikla destekleyerek otur dedi 😇
cok sagol canim icim rahatladi ve sanirim benim bel kaslarim cok guclu degil insallah ilerleyen aylarda daha fazla zorlamaz bizi 🙄
 
Ultrason görüntüsü ses dalgalarıyla oluyormuş canım. Bi zararı yok. Kalp dinlerken de işi yayıyorlar sesi duymak için. O zararlı işte. Organlar 20. Haftada ayrıntılı ultrasonda bakılıyor. Öncesinde 2 li 3 lü falan yaptırmak tercihine kalmış. 2 liye gittiğinde önce ultrasonda bakılıyor. Anormal bi durumu yoksa kan veriyorsun ona göre de değerlendiriyorlar. Ben de Ense kalınlığı çok diye kana göndermediler. Gerek yok dediler . 11 -12-13. Haftalarda ikiliyi yatırabilirsin canım. Benim tam 13 bittiği gündü.
Doktor ölçüp gerek yok herşey iyi demişti ztn. Ozmn yaptırmayımm. Ben maksat organların gelişimi görülüyorsa yaptırıym diyordum. Cinsiyeti daha net söyler ama 12+6 da gitsem. Çünkü 11+4 tahmin etti. Aman onuda bir ay snra kesin öğrenelim ne olacak değil mi?

Ultrasona girince kalbi ondn kısa dinletiyor demek. Çnkü hep açmıyor.
 
Devit-3 ne ki Demir ilacı mı içemiyorsan sağlık ocağına git yarın bacım rahatsız ettiğini söyle başka ilaç yazsın kuzular ilaç yazdırın bu çok önemli ilaçları anne için veriyorlar bebeklerimiz bizden besleniyor zaten kendinizide düşünün
Kendimi zorluycam kuzu valla mecbur
 
Back
X