2020 Haziran Anneleri Gebelik, Ultrason, Testler, Gebelik Takibi

Bebeğinizin cinsiyeti ne olacak ?


  • Ankete Katılan
    229
Bende yarin vericem saglik ocagnda valla kollarim mosmor oldu artikkk
Senindr gec dollenme mi yoksa
Benmki cok gec dollenme olmus o yuzden boyleyim
Beklenen adet tarihimde olmus
Benim tüp bebek canım normal değerler benim beklenen adet günüm yarın mesela öyle düşün 🤣
 
Kızlar ben henüz doktor kontrole gidemedim randevum haftaya sat a göre 4+4 um kasik lara arada giren sancı dışında belirtim yok sanki hamile değilim sizde var mi degisiklik
 
Kızlar ben henüz doktor kontrole gidemedim randevum haftaya sat a göre 4+4 um kasik lara arada giren sancı dışında belirtim yok sanki hamile değilim sizde var mi degisiklik
Bende aynıyım canım kasıklarıma agrı giriyor ve adet sancısı gibi çok kısa agrı giriyor bulanti falan yok erken sanırım daha
 
Aynen dün aldım kan sonucunu aile hekimininde 175 ti 4+3teyken şüphe ettim biran acayip korkuyor insan
Belki Gec dollenme olabilir canim korkma son adet tarihine gore 4+3 olabilir ama ultrason kan sonucu onemli
 
ben daha çok korkuyorum canim 7 yıldır bekliyorum tedaviyle oldu hep korku var olcakta dogana kadar ama rabbime emanet
Öyle bir de herkeste dur kimseye deme ne olur olmaz filan mantığı var bende kendimi ona kanalize ettim çevremde burada hep düşük dis kimsyasal gebelik var ya insan acaba diyor
 
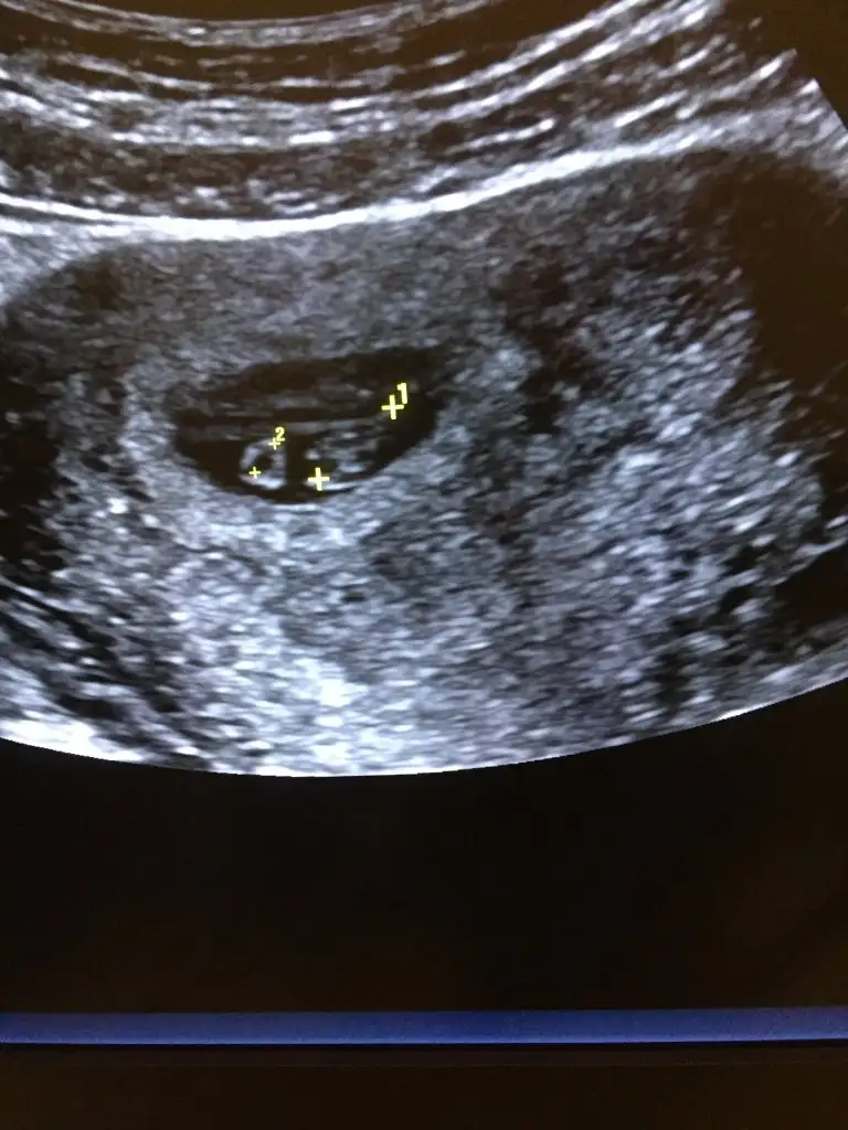
Kızlar 6-7 haftalık olanlarda ultrason görüntüsü varsa rica etsem atabilir mi benim birşey belli olmuyorda merak ettim
7 haftalık ultrason. Sizin belli olmayan nedir? Zaten yolk sac ve beyazlık halinde bir bebek görünüyor sadece bu haftalarda. Çok belirgin olmuyorlar :)
 

Eklentiler

  • 14122805-E1F7-47F8-B554-EBDC4EA5DB25.webp
    14122805-E1F7-47F8-B554-EBDC4EA5DB25.webp
    41,2 KB · Görüntüleme: 52
Öyle bir de herkeste dur kimseye deme ne olur olmaz filan mantığı var bende kendimi ona kanalize ettim çevremde burada hep düşük dis kimsyasal gebelik var ya insan acaba diyor
Ben söyledim 3. Kez kan verdikten sonra artık hayırlısı zaten nasibi varsa her türlü gelcek canım çok takma kafana bişeycik olmaz allahın izniyle melek onlar
 
Back
X