• Merhaba, Kadınlar Kulübü'ne ÜCRETSİZ üye olarak yorumlar ile katkıda bulunabilir veya aklınıza takılan soruları sorabilirsiniz.

Popüler Konu 2026 Ağustos Anneleri Paylaşım Alanı

Bebeğimin cinsiyeti ...

  • kız

    OY: 0 0,0%
  • erkek

    OY: 0 0,0%
  • ikiz kız

    OY: 0 0,0%
  • ikiz erkek

    OY: 0 0,0%
  • üçüz / çoğul

    OY: 0 0,0%

  • Ankete Katılan
    1
Kızlaar benim bat 9 aralık, reglime 5 gün kala hafif kasık batmalarım başladı, göğsümde ultra hassasiyet yok ama dokununca çok az sızı hissediyorum. Akıntım dün çok fazlaydı bugün daha az. Kasıklarım hâla ara ara batıyor 5-6 sn sonra geçiyor. Özellikle solda hissediyorum. Geceleri sürekli uykumdan uyanıyorum ve gündüz hep uyumak istiyorum halsizim. Artımed test yaptım ama negatif çıktı. O markaya pek güvenilmediği söyleniyor. Sizde durum nedir 20 nisan kürtaj olmustum. Geçen ay ilk kez denedim.

Sat: 11 kasım

Bat: 9 aralık
 
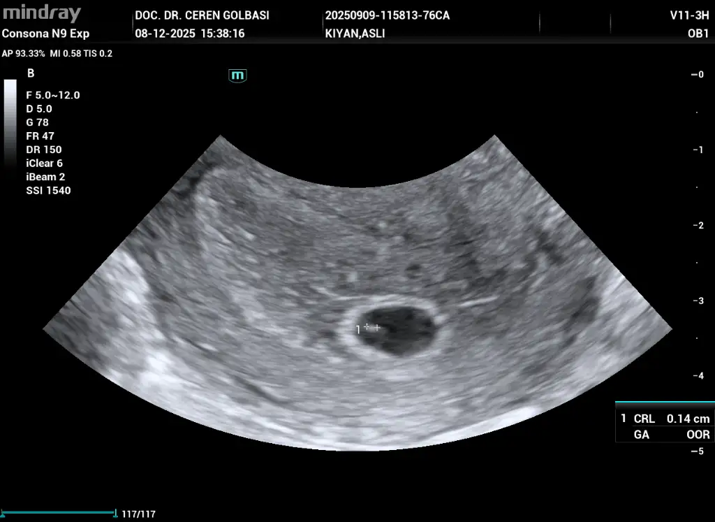
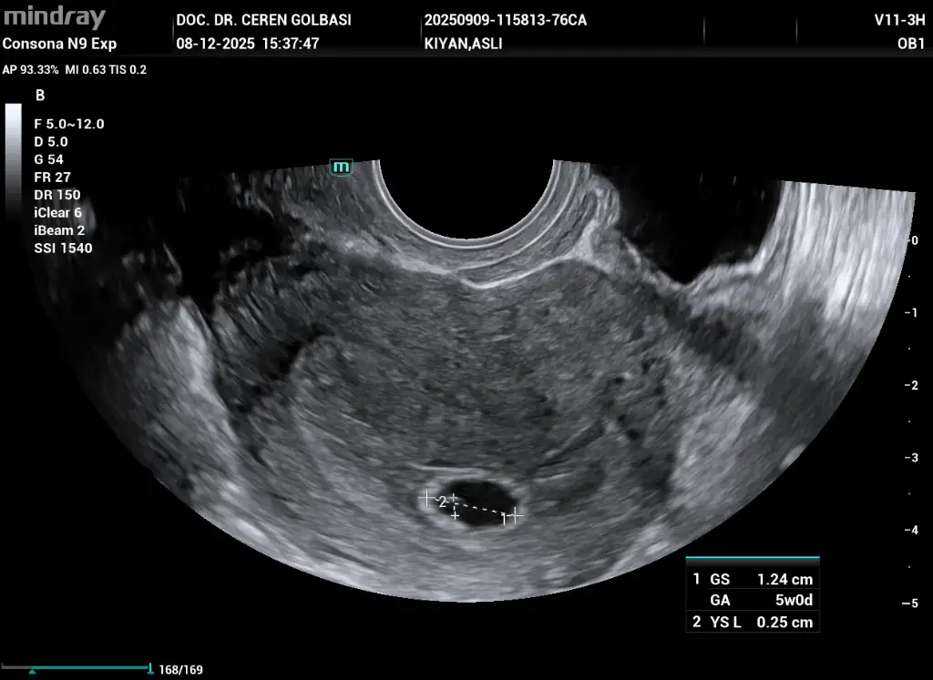
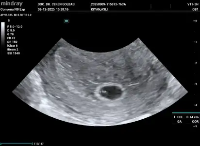
Bugün doktora gittim son adet tarihim 26 ekimdi bebeği göremedik 5+4 olarak söyledi şu anki durumumu benimle aynı olan var mı acaba birde kistim varmış çok ağrı yapıyor kist geçer değil mi
 

Eklentiler

  • _QRCodeSendTask_20251208154216_QR_1_202512081538310103OB.webp
    _QRCodeSendTask_20251208154216_QR_1_202512081538310103OB.webp
    31,8 KB · Görüntüleme: 3
  • _QRCodeSendTask_20251208154216_QR_1_202512081538090102OB.webp
    _QRCodeSendTask_20251208154216_QR_1_202512081538090102OB.webp
    36,2 KB · Görüntüleme: 3
Back