• Merhaba, Kadınlar Kulübü'ne ÜCRETSİZ üye olarak yorumlar ile katkıda bulunabilir veya aklınıza takılan soruları sorabilirsiniz.

2024 Ekim Anneleri Paylaşım Alanı

Bebeğimin cinsiyeti


  • Ankete Katılan
    259
Merhaba kızlar bugün itibari ile 8haftayim tam akinti rengim sari beyazken bu aksam dikkatimi çekti hafif pembe gibi olmuş biraz korktum varmı aynı durumu yaşayan
 
Kızlar merhabalar
Ağlamaktan bitmiş durumdayım
Muayene olduk karından bebeği de keseyi de göremedi
Vajinal baktı kese basık duruyo bebek büyümüş elektrik sinyali var ama kalp atışı yok dedi
10 gün önce kalbini duymuştuk o zamandan sonra 9 günde 5 gün büyümüş dedi bebek 7 cm miş
Kese bebeğe göre küçük duruyo
Cumartesi ye kadar bekleyelim duruma göre bakalım dedi
Geçen geldiğinizde de şans eseri kalbini duyduk kesenin şeklini beğenmemiştim ama size söylemek istemedim dedi
Eğer kalbini duymamış olsaydık haftaya gelin kalbini duyarız diye daha umutlu konuşabilirdim dedi ama şuan yüzde elli yüzde elli ihtimal dedi her ikisine de hazır olun dedi
Var mı benzer durum yaşayan veya düzelen
Ultrason görüntüsünü de ekliyorum anlayan olursa belki

Normalde 7+5 bugün ama ultrasona göre bebek 6+5 dedi

Ben tükenmiş hissediyorum bu benim 5.gebeliğim ve çok çok zor olan Bi gebelik
Öncesinde benzer durumlarda 4 kürtajm olmuştu
Sonuç aynı olmasın nolur Allahm 😔
 

Eklentiler

  • IMG_20240311_105453.webp
    IMG_20240311_105453.webp
    26 KB · Görüntüleme: 118
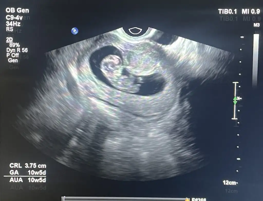
Merhaba kızlar, bende bugün muayeneye gttim devlette, yarın özel hastanede doğumu planlamayı düşündüğüm doktor ile ilk randevumuz olacak. Herşey yolunda dedi. Kan ve idrar testi sonuçların güzel dedi. Kalp atışlarını yine gösterdi, dinletmedi. 12. Haftaya kadar gelmene gerek yok dedi. Başta kanama alanların vardı, geçmiş.. hepinizin de güzel haberler aldığınız bir gün/hafta olsun inşallah🥰 Allah kimsenin emeğini boşa çıkarmasın🙏🏻 bugün fotoğrafta çektirdik☺️ ekliyorum teyzeleri.. sata göre 6+4, ultrasona göre 6+2 imiş.
 

Eklentiler

  • image.webp
    image.webp
    26,3 KB · Görüntüleme: 116
Kızlar merhabalar
Ağlamaktan bitmiş durumdayım
Muayene olduk karından bebeği de keseyi de göremedi
Vajinal baktı kese basık duruyo bebek büyümüş elektrik sinyali var ama kalp atışı yok dedi
10 gün önce kalbini duymuştuk o zamandan sonra 9 günde 5 gün büyümüş dedi bebek 7 cm miş
Kese bebeğe göre küçük duruyo
Cumartesi ye kadar bekleyelim duruma göre bakalım dedi
Geçen geldiğinizde de şans eseri kalbini duyduk kesenin şeklini beğenmemiştim ama size söylemek istemedim dedi
Eğer kalbini duymamış olsaydık haftaya gelin kalbini duyarız diye daha umutlu konuşabilirdim dedi ama şuan yüzde elli yüzde elli ihtimal dedi her ikisine de hazır olun dedi
Var mı benzer durum yaşayan veya düzelen
Ultrason görüntüsünü de ekliyorum anlayan olursa belki

Normalde 7+5 bugün ama ultrasona göre bebek 6+5 dedi

Ben tükenmiş hissediyorum bu benim 5.gebeliğim ve çok çok zor olan Bi gebelik
Öncesinde benzer durumlarda 4 kürtajm olmuştu
Sonuç aynı olmasın nolur Allahm 😔
Canım aynı durumu yaşamadım ama bir çok şey okudum ilk 3 ay ileri geri oynuyormuş bebeğin haftası onu biliyorum umarım mübarek ramazan ayı yüzü suyu hürmetine bebeğin sağlıkla gelir Rabbim tekrar sana acı yaşatmasın inşallah şifa versin ikinizede dua edeceğim senin için 😔🤍
 
Kızlar merhabalar
Ağlamaktan bitmiş durumdayım
Muayene olduk karından bebeği de keseyi de göremedi
Vajinal baktı kese basık duruyo bebek büyümüş elektrik sinyali var ama kalp atışı yok dedi
10 gün önce kalbini duymuştuk o zamandan sonra 9 günde 5 gün büyümüş dedi bebek 7 cm miş
Kese bebeğe göre küçük duruyo
Cumartesi ye kadar bekleyelim duruma göre bakalım dedi
Geçen geldiğinizde de şans eseri kalbini duyduk kesenin şeklini beğenmemiştim ama size söylemek istemedim dedi
Eğer kalbini duymamış olsaydık haftaya gelin kalbini duyarız diye daha umutlu konuşabilirdim dedi ama şuan yüzde elli yüzde elli ihtimal dedi her ikisine de hazır olun dedi
Var mı benzer durum yaşayan veya düzelen
Ultrason görüntüsünü de ekliyorum anlayan olursa belki

Normalde 7+5 bugün ama ultrasona göre bebek 6+5 dedi

Ben tükenmiş hissediyorum bu benim 5.gebeliğim ve çok çok zor olan Bi gebelik
Öncesinde benzer durumlarda 4 kürtajm olmuştu
Sonuç aynı olmasın nolur Allahm 😔
Öncelikle geçmiş olsun canım. Üzme kendini. Allah'tan ümit kesilmez %50 de olsa ihtimal ihtimaldir. Rabbim yüzünü güldürsün inşallah. Bu mübarek günlerde dualarımız seninle. Doktorlar bebek kayıplarının sebebi olarak ne söylemişti daha öncekilerde? Kan sulandırıcı falan başlamışlar mıydı?
 
Kızlaaar kaç kilo aldınız şu zamana kadar. Doktorum bana 7 kiloya kadar normal üstünde riskler artıyor, önemli olan sağlıklı ve bebeğin gelişimine katkıda bulunacak şekilde kilo almak dedi ve meyve yememe bile sıcak bakmadı. İnsülini bir anda yükseltip açlık hissi yaratıyormuş. İnsülin dalgalanmaları istemiyoruz, çok çok az yoğurtla beraber tüketebilirsin dedi. Bademi, cevizi bile avuç avuç değil taneyle yemem gerektiğini söyledi. Sağlıklı rahat bir Hamilelik geçirmek istiyorsak en en dikkat etmemiz gereken şey tansiyon ve şeker dedi. Ben 3 ayda 1.5 kilo aldım, göbişim de çıktı sanki belirgin şu an. ☺️
Ben 4,5 kg verdim 3 ay olmadı daha 10. hafta içindeyim 🥲
 
Kızlar merhabalar
Ağlamaktan bitmiş durumdayım
Muayene olduk karından bebeği de keseyi de göremedi
Vajinal baktı kese basık duruyo bebek büyümüş elektrik sinyali var ama kalp atışı yok dedi
10 gün önce kalbini duymuştuk o zamandan sonra 9 günde 5 gün büyümüş dedi bebek 7 cm miş
Kese bebeğe göre küçük duruyo
Cumartesi ye kadar bekleyelim duruma göre bakalım dedi
Geçen geldiğinizde de şans eseri kalbini duyduk kesenin şeklini beğenmemiştim ama size söylemek istemedim dedi
Eğer kalbini duymamış olsaydık haftaya gelin kalbini duyarız diye daha umutlu konuşabilirdim dedi ama şuan yüzde elli yüzde elli ihtimal dedi her ikisine de hazır olun dedi
Var mı benzer durum yaşayan veya düzelen
Ultrason görüntüsünü de ekliyorum anlayan olursa belki

Normalde 7+5 bugün ama ultrasona göre bebek 6+5 dedi

Ben tükenmiş hissediyorum bu benim 5.gebeliğim ve çok çok zor olan Bi gebelik
Öncesinde benzer durumlarda 4 kürtajm olmuştu
Sonuç aynı olmasın nolur Allahm 😔
 
Kızlarr merhaba hepinize hayırlı ramazanlar diliyorum 🌸 kanamam olmuştu kistim patlamıştı 15 gün önce yoğun kanamam olmuştu korkularla 15 gün sonra bugün kontrole gittim herşey yolunda çok şükür sizinle paylaşmak istedim doktorumla konuştum progestanı vajinal almak daha etkiliymiş her zaman için korkularınız normal hareketlerini hissedene kadar böyle sürecek ama az stres heyecan korku her zaman daha iyi dedi bebek en cok stresten etkileniyor öyle düşün dedi folik asite devam dedi progestan şişkinlik yapmıştı vajinada normal devam et dedi muane etti bir sey yok dedi 11 14 hafta arasında 2li tarama için gel dedi 🥹 Allahım bizleri yavrularımızsınamasın inşallah 🧿🤲🏻
IMG_1787.webp
 
Kızlar merhabalar
Ağlamaktan bitmiş durumdayım
Muayene olduk karından bebeği de keseyi de göremedi
Vajinal baktı kese basık duruyo bebek büyümüş elektrik sinyali var ama kalp atışı yok dedi
10 gün önce kalbini duymuştuk o zamandan sonra 9 günde 5 gün büyümüş dedi bebek 7 cm miş
Kese bebeğe göre küçük duruyo
Cumartesi ye kadar bekleyelim duruma göre bakalım dedi
Geçen geldiğinizde de şans eseri kalbini duyduk kesenin şeklini beğenmemiştim ama size söylemek istemedim dedi
Eğer kalbini duymamış olsaydık haftaya gelin kalbini duyarız diye daha umutlu konuşabilirdim dedi ama şuan yüzde elli yüzde elli ihtimal dedi her ikisine de hazır olun dedi
Var mı benzer durum yaşayan veya düzelen
Ultrason görüntüsünü de ekliyorum anlayan olursa belki

Normalde 7+5 bugün ama ultrasona göre bebek 6+5 dedi

Ben tükenmiş hissediyorum bu benim 5.gebeliğim ve çok çok zor olan Bi gebelik
Öncesinde benzer durumlarda 4 kürtajm olmuştu
Sonuç aynı olmasın nolur Allahm 😔
Canım inşallah şu mübarek günlerin hürmetine güzel haber alırsın, Rabbim büyük daha belli değilmiş yüzde 50 az ihtimal değil, Rabbim sevindirsin inşallah❤️
 
Canım aynı durumu yaşamadım ama bir çok şey okudum ilk 3 ay ileri geri oynuyormuş bebeğin haftası onu biliyorum umarım mübarek ramazan ayı yüzü suyu hürmetine bebeğin sağlıkla gelir Rabbim tekrar sana acı yaşatmasın inşallah şifa versin ikinizede dua edeceğim senin için 😔🤍
Amin Allah razı olsun canım
Öğrendiğim günden beri çok dualar ediyorum öncekiler gibi olmayacak diye kalbime getirmemeye çalışıyordum ama illaki içimde hep Bi korku sürekli belirti yoklama vardı 😔
Evet hafta uyumu değişebiliyomuş ama bebek sanki kesede sıkışmış gibi bi de 10 gün önce kalbini duyup da şimdi duyamamak 😔 çok gaz var dedi kesenin basıklığına veya küçük görünmesine o da sebep mi bilmiyorum ki
Öncelikle geçmiş olsun canım. Üzme kendini. Allah'tan ümit kesilmez %50 de olsa ihtimal ihtimaldir. Rabbim yüzünü güldürsün inşallah. Bu mübarek günlerde dualarımız seninle. Doktorlar bebek kayıplarının sebebi olarak ne söylemişti daha öncekilerde? Kan sulandırıcı falan başlamışlar mıydı?
Sağolasın kuzum
Elbette Rabbim ol der oluverir
Kendimi toparlayacak gücü bulamıyorum henüz
Pıhtılaşma var ama düşük sebebi derece de değil demişlerdi
Son 3 gebelikte kullandık kan sulandırıcı hep
Şimdi de kullanıyoruz tıkanmış durumdayız gerçekten
Önceki kayıplara da hiç Bi sebep bulamadılar
Olabiliyor böyle tıbbı açıklayamadığı durumlar vs vs
En son Bi tanesi gebelik devam ederken rahim ince kalıyo bebeği kendine yapıştırıp geliştiriyor öldürüyor demişti

E bunda da her gittiğimizde sorduk nasıl rahim kalınlığı hepsi çok iyi Bi sıkıntı yok dedi her seferinde kendi Dr mıuz
Artı progestan ilaç iğne proluton PROGRAF cylo prognava coraspirin clexan iğne kullandığım ilaçlar da 😔
 
başka bir doktora daha gitsen tek doktorla kalmasan ? inş güzel haberlerini de verirsin bu durumu yaşamadım cevremden de duymadım hiç ama tek doktor yerine baska doktorlara da gitmek daha mantıklı gibi
Haklısın kuzum kalbini duymasak önceden başka Dr da gitmek mantıklı da
Hani bunda 10 gün önce duyduk bilmiyorum artık ya

Canım inşallah şu mübarek günlerin hürmetine güzel haber alırsın, Rabbim büyük daha belli değilmiş yüzde 50 az ihtimal değil, Rabbim sevindirsin inşallah❤️
Aminn aminn Allah razı olsun
İnşallah sonuç mutlu Bi haberle değişir 😔
 
Amin Allah razı olsun canım
Öğrendiğim günden beri çok dualar ediyorum öncekiler gibi olmayacak diye kalbime getirmemeye çalışıyordum ama illaki içimde hep Bi korku sürekli belirti yoklama vardı 😔
Evet hafta uyumu değişebiliyomuş ama bebek sanki kesede sıkışmış gibi bi de 10 gün önce kalbini duyup da şimdi duyamamak 😔 çok gaz var dedi kesenin basıklığına veya küçük görünmesine o da sebep mi bilmiyorum ki
canım inan hepimiz aynıyız benimde ilk tedaviyle oldu her gün kendimi yiyorum gece uyku yok gündüzde salak gibi geziyorum ortalıkta sürekli bi panik atak hali acaba iyi mi yaşıyor mu diye diye kendimizi yiyoruz yanlız değilsin ❤️ gaz olunca bebeği bile zor görüyormuş doktorlar ama kalp atışı hakkında bende bilmiyorum canım inşallah hayırlı haberler alırsın sağlıklı beslenmeye çalış temiz havada zaman geçir elinden geldiğince stres yapmamaya çalış nasıl olucak onu bende bilmiyorum birde hani dua mı toplatsan eşin dostunla ramazan ya Allah dualarını kabul eder inşallah 🤲🏻
 
Kızlar merhabalar
Ağlamaktan bitmiş durumdayım
Muayene olduk karından bebeği de keseyi de göremedi
Vajinal baktı kese basık duruyo bebek büyümüş elektrik sinyali var ama kalp atışı yok dedi
10 gün önce kalbini duymuştuk o zamandan sonra 9 günde 5 gün büyümüş dedi bebek 7 cm miş
Kese bebeğe göre küçük duruyo
Cumartesi ye kadar bekleyelim duruma göre bakalım dedi
Geçen geldiğinizde de şans eseri kalbini duyduk kesenin şeklini beğenmemiştim ama size söylemek istemedim dedi
Eğer kalbini duymamış olsaydık haftaya gelin kalbini duyarız diye daha umutlu konuşabilirdim dedi ama şuan yüzde elli yüzde elli ihtimal dedi her ikisine de hazır olun dedi
Var mı benzer durum yaşayan veya düzelen
Ultrason görüntüsünü de ekliyorum anlayan olursa belki

Normalde 7+5 bugün ama ultrasona göre bebek 6+5 dedi

Ben tükenmiş hissediyorum bu benim 5.gebeliğim ve çok çok zor olan Bi gebelik
Öncesinde benzer durumlarda 4 kürtajm olmuştu
Sonuç aynı olmasın nolur Allahm 😔
İnşallah şafi ismiyle şifa verir Rabbim. Bu süreç çok zorlu bir süreç çok zor farkındayım ama moralini yüksek tutmaya çalış ki bebeğin de toparlayabilsin. İnşallah bu mübarek günlerde güzel haberini alırız bizde bol bol dua ederiz sizin için.
 
Kızlarr merhaba hepinize hayırlı ramazanlar diliyorum 🌸 kanamam olmuştu kistim patlamıştı 15 gün önce yoğun kanamam olmuştu korkularla 15 gün sonra bugün kontrole gittim herşey yolunda çok şükür sizinle paylaşmak istedim doktorumla konuştum progestanı vajinal almak daha etkiliymiş her zaman için korkularınız normal hareketlerini hissedene kadar böyle sürecek ama az stres heyecan korku her zaman daha iyi dedi bebek en cok stresten etkileniyor öyle düşün dedi folik asite devam dedi progestan şişkinlik yapmıştı vajinada normal devam et dedi muane etti bir sey yok dedi 11 14 hafta arasında 2li tarama için gel dedi 🥹 Allahım bizleri yavrularımızsınamasın inşallah 🧿🤲🏻
Eki Görüntüle 3399346
Bebeğin burda kaçıncı haftasında ne kadar belirgin görünüyor maşallah 🥰
 
Back
X