Aldım pzt daha betam 8.5 tu herhalde hamilelik yok ben yanıldım diye dusundum bir kaç gün daha bekleyeyim regli olmazsam dr a giderim dedim eltim kadın dogum hast çalışıyor bu gün konuştuk bir gideyim dedim beta 192 olmuş ben sok dr salı tekrar çağırdı betamin nasıl yukselecegine bakacak benn o kadar erken öğrenmemek için uğraştım simdinde geç ovulasyon olabilir dedi aman allah saglikli versinde
Günaydınnn Allah nasip ederse Ben de Kasım Annesi olucam. Rabbim isteyen bekleyen herkese nasip eylesin olanları da bağışlasın bize de hayırlısından sağlıklısından nasip eylesin kucağımıza alıp büyütürüz inşallah
Aldım pzt daha betam 8.5 tu herhalde hamilelik yok ben yanıldım diye dusundum bir kaç gün daha bekleyeyim regli olmazsam dr a giderim dedim eltim kadın dogum hast çalışıyor bu gün konuştuk bir gideyim dedim beta 192 olmuş ben sok dr salı tekrar çağırdı betamin nasıl yukselecegine bakacak benn o kadar erken öğrenmemek için uğraştım simdinde geç ovulasyon olabilir dedi aman allah saglikli versinde
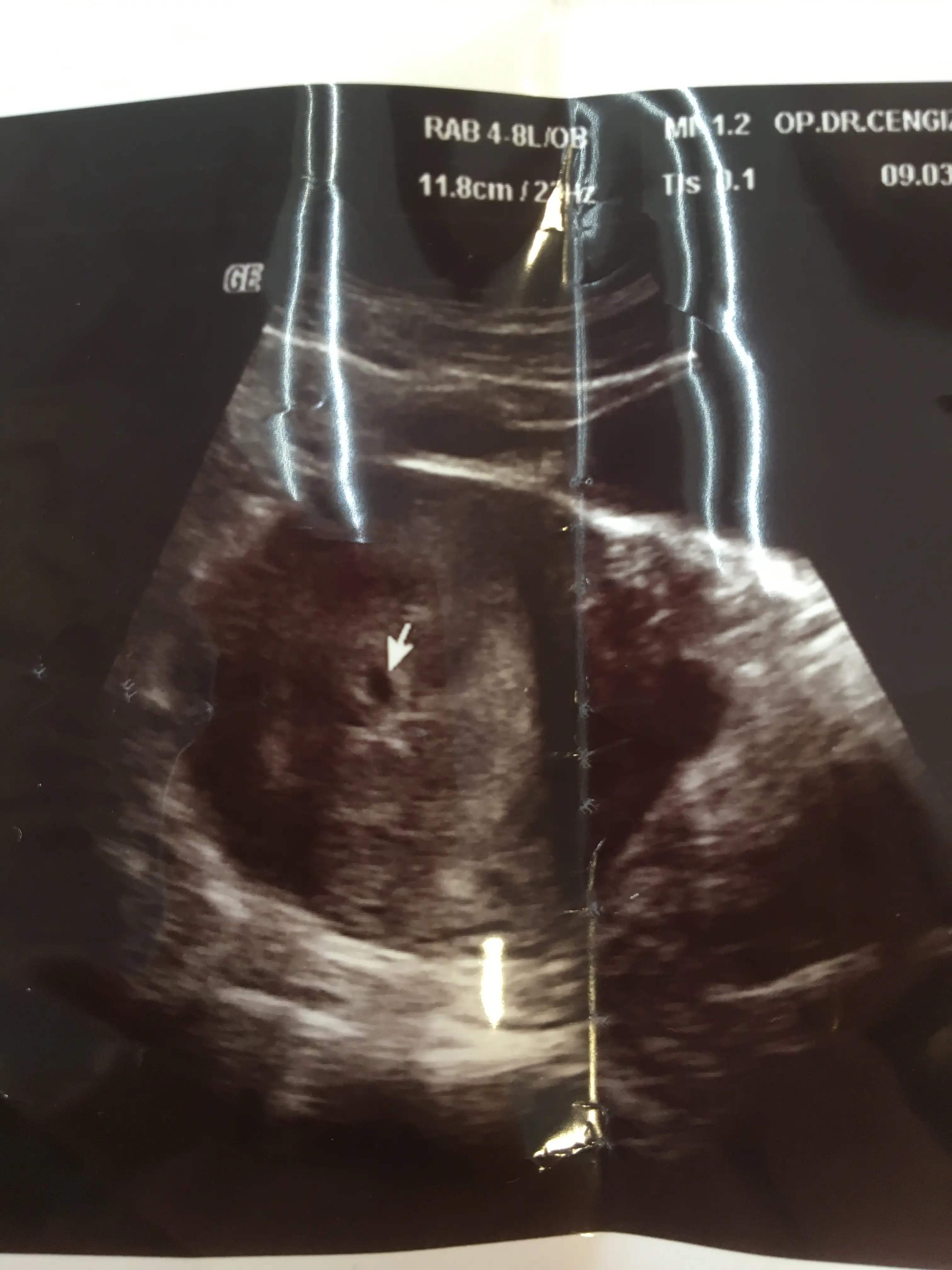
Bugün doktora gittim kese için. 4 mart 554 7 mart 1184 beta hcg doktor yavaş arttığını söyledi. Çarşamba çağırdı kese için tekrar. Bugün acile tekrar kan vericem. Moralim çok bozuldu. Dış gebelik olabilir mi ?
Arkadaşlar Merhaba bende geçtiğimiz salı kan değerlerimde hamile olduğumu öğrendim sat 7 şubattı 3.gebeliğim bu hemen doktora gitmek istemiyorum kese görünmez diye geri göndermesinide istemiyorum ne zaman gitmem gerekir?
Merhaba satımız aynı sizinle hatta benimde 3.gebeliğim bir kızım bir de düşüğüm var. Bende hemen doktora gitmeyi düşünmüyorum.Kan ne zaman verdiniz bhcg niz kaç çıktı ona göre hesaplayıp gidebilirsiniz.
Kızlar herkese iyi geceler sat 4 Şubat ve hamileyim çok şükür dün değerim 1180 çıktı ama bugün keseyi göremedik Pazartesi çağırdı bakalım inşallah görürüz:) heyecanla bekliyoruz ilk çocuğumuz olacak inşallah hayırlısıyla 8 aydır deniyorduk sonunda oldu Allah isteyen herkese nasip etsin. Aranıza katılmak istiyorum çünkü muhtemel doğum tarihi 11 kasım olarak görünüyor:)
Merhaba satımız aynı sizinle hatta benimde 3.gebeliğim bir kızım bir de düşüğüm var. Bende hemen doktora gitmeyi düşünmüyorum.Kan ne zaman verdiniz bhcg niz kaç çıktı ona göre hesaplayıp gidebilirsiniz.
Günaydınnn Allah nasip ederse Ben de Kasım Annesi olucam. Rabbim isteyen bekleyen herkese nasip eylesin olanları da bağışlasın bize de hayırlısından sağlıklısından nasip eylesin kucağımıza alıp büyütürüz inşallah
Bugün doktora gittim kese için. 4 mart 554 7 mart 1184 beta hcg doktor yavaş arttığını söyledi. Çarşamba çağırdı kese için tekrar. Bugün acile tekrar kan vericem. Moralim çok bozuldu. Dış gebelik olabilir mi ?
[/QUOTE
Güzel düşün güzel olsun inş.
evet 2 katı çıkması gerekiyor. Benim 27 Şubatta 368 çıktı 29 şubat 919. İstersen bugün bir daha ver değerine bak. Kese varsa Rahim içi gebelik dış gebelik değil. boş gebelil diye birşey de var kese var ama içi boş. Allah muhafaza inşallah bebişin seninledir.
evet 2 katı çıkması gerekiyor. Benim 27 Şubatta 368 çıktı 29 şubat 919. İstersen bugün bir daha ver değerine bak. Kese varsa Rahim içi gebelik dış gebelik değil. boş gebelil diye birşey de var kese var ama içi boş. Allah muhafaza inşallah bebişin seninledir.
Hoş buldum
Benim 8 sene sonra ilk gebeliğim kendiliğinden oldu şükürler olsun. Allahım hepimize sağlıklıca hayırlıaıyla kucağımıza almayı nasip eylesin
2 günde bir iki katı artıyor sağlıklı bir gebelikte. Bhcg 1500-2000 üzerine çıktığında da kese görünüyor. Tabi yüksek ihtimalle diyelim biz çünkü bazen ultrason cihazının durumuna göre de değişebiliyor ama genellikle böyle.
Benimde sat 26 şubat kasımda inşallah bebişimi kucağıma alıcam suan daha yeni hamileyim cinsiyetini çok merak ediyorum karnım yukarda ve yanlardan kilo aldım bol bol domates ve limon yiyorum tatlı fazla yemiyom hep ekşi tuzlu seyler istiyo canım bakalım hayırlısı Allah herkese sağlıklı hayırlı evlat nasip etsin
Benimde sat 26 şubat kasımda inşallah bebişimi kucağıma alıcam suan daha yeni hamileyim cinsiyetini çok merak ediyorum karnım yukarda ve yanlardan kilo aldım bol bol domates ve limon yiyorum tatlı fazla yemiyom hep ekşi tuzlu seyler istiyo canım bakalım hayırlısı Allah herkese sağlıklı hayırlı evlat nasip etsin