Okadar güzel görüntüye nasıl net değil derNet değil dediii
Bana o kadar kız gbi geldi ki anlatamamKizlar biz geldik 9+3 ama 10+1 dedi doktorumuz önden gidiyormus bebegimizhersey yolunda iki hafta sonra iki teste cagirdi.Bugun sezeryan tarihi bile verdi Eger hersey yolunda giderse bebegi 12 nisanda alicaz dedi❤
Seninki de erkek bence :) benim gibi bak gor bu sene erkek senesi sankiNet değil dediii
Selam canım cok giremiyorum İnternete bu ara bulantılar halsizlik çocuklar derken gün bitiveriyorsagliklihayat canım nerelerdesin
Yok Kizzz bakmadinmi siyah b3yaz ekranımaSelam canım cok giremiyorum İnternete bu ara bulantılar halsizlik çocuklar derken gün bitiveriyorsen napıyorsun nasılsın cinsiyet belli oldu mu
Valla ben hiç anlamam kiYok Kizzz bakmadinmi siyah b3yaz ekranıma
Zaten siyah beyaz kizValla ben hiç anlamam kibenim iki oğlum dada nohut gibi birsey göstermişti Dr erkek diye Ayy maşallah büyümüş ama
Gittim cnm prilam kullanıyorum ben onun yine faydası oldu ama tutunca tutuyo maalesef geçmedi halaZaten siyah beyaz kiztost makinesi gibi geçmiş olsun canim mide bulantıları f3na kimsenin geçmedi normalde 4 hafta 12 hafta arası geçer kızlarda gerçi. Sen doktora gitmeidnmi naptin
At seninkinide tahmin edelimGittim cnm prilam kullanıyorum ben onun yine faydası oldu ama tutunca tutuyo maalesef geçmedi halaAyy ultrason fotoları bile şirin yaa bu sıpaların
Bana o kadar kız gbi geldi ki anlatamam
Anne Adayı Yaş Kaçıncı Çocuk Şehir Cinsiyet
Tahmini doğum tarihi @bgmtnk 26 1 Eskişehir 11.04.2021 @Hilal15 21 2 İstanbul 19.04.2021 @crescentee 39 2 İstanbul 07.04.2021 Ysmnondr 29 1 Kırklareli erkek 22.04.2021 @Pdrmdr 26 1 Ankara erkek 06.04.2021 @dils3 34 3 Ankara 26.04.2021 @eeesssrrraaa_45 32 ikiz Manisa 15.04.2021 Muhittin 30 2 Ankara 19.04.2021 @Emyldrm 30 2 İstanbul 20.04.2021 @Sessizsedali 28 ikiz Türkiye 13.04.2021 M mapleleaf 31 1 Kanada erkek 07.04.2021 @kahvesevenkadin 28 1 Ankara 10.04.2021 S Sns34 31 2 Türkiye 12.04.2021 @zuzuipek 38 2 İstanbul Kız 01.04.2021 ONTK 36 2 İsviçre Erkek 02.04.2021 @Elen123 30 1 Bursa 30.04.2021 @voda90 30 2 İstanbul Kız 10.04.2021 @tildamilda 32 2 Denizli 25.04.2021 @gnsel 31 2 Yalova 30.04.2021 @OozlemB 36 1 Ankara 17.04.2021 @xxHasretimsinxx 30 2 Bursa 10.04.2021 @Mara Deniz 45 1 İstanbul 15.04.2021 @nefesim-35 29 2 İzmir 13.04.2021 @Eteach 30 1 Ağrı 12.04.2021 @zeynep8734 33 2 Uşak 23.04.2021 @Sumeyye5 27 2 İzmir 29.04.2021 rskks 28 1 Elazığ 09.04.2021 @elinintersi 30 2 Istanbul 13.04.2021 @Azze 24 1 Samsun 03.04.2021 @Mdmd 30 2 Istanbul 25.03.2021 @Tugba4444 28 1 İstanbul 15.04.2021 @tazeegelinnn 1 Bursa Kız 31.03.2021 @Nanaynay 2 Ankara Erkek 08.04.2021
Allahım sağ sağlim kucağımıza almamızı nasip et hayırlı saglıklı evlatlar eyle
Hic sorma bende dün sinir oldum 2 saat bu reklamlari engellemeye calistimReklâmlar psikolojimi bozyor
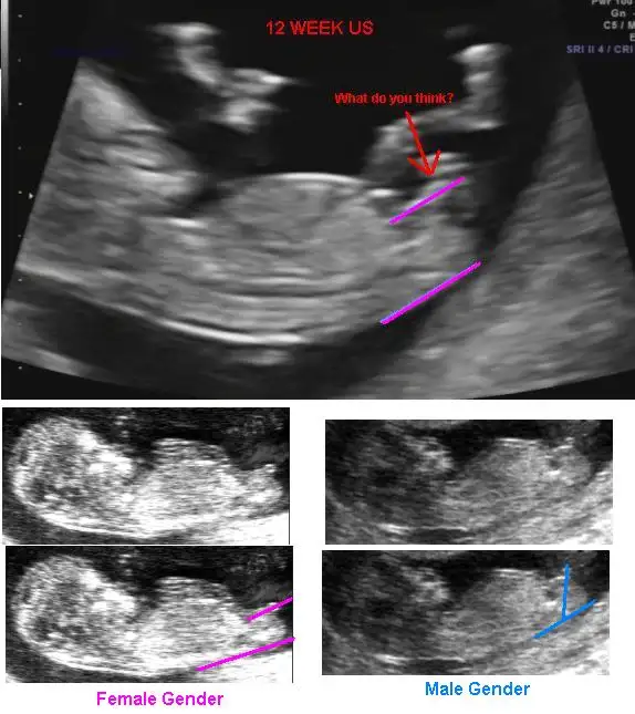
Bence suan hepimiz icin erken dojtorlar bile 12 haftadan once soylemio demekki gercekten 12 ye kadar olgunlasmasi gerekSuna bakın yorum yapın 11 12 13de daha belli olduğu için kadin onu istiyor benimki.mesela belli değil yapısal oaltakda net değil anlamadı. Aslında çok basit
aminn canim aynen valla sag salim kucagimiza alalimda mis kokulari herseyi unuttururAllah hayırlı doğumlar nasip etsin ya inşaallah nasıl oldugu önemli değil cok zor geçiriyorum ama onları kucagma vereceklerini düşününce aman geciçek sabır diyorum hasretim büyük oyüzden şikayetim yok duaya devam
Sende biliyon bu işi heraldeSuna bakın yorum yapın 11 12 13de daha belli olduğu için kadin onu istiyor benimki.mesela belli değil yapısal oaltakda net değil anlamadı. Aslında çok basit
Az kaldi ögrenmene kuzumAyyy bıan önce cinsiyeti öğrenmek istiyorum
ErkekkkkkkkkkkkkkkkkkkSuna bakın yorum yapın 11 12 13de daha belli olduğu için kadin onu istiyor benimki.mesela belli değil yapısal oaltakda net değil anlamadı. Aslında çok basit
We use cookies and similar technologies for the following purposes:
Do you accept cookies and these technologies?
We use cookies and similar technologies for the following purposes:
Do you accept cookies and these technologies?