Sağol canımCanım gözün aydın çok sevindim
Neden stres yaptınız?Kese falan kaç mm boyutundaydı hatırlıyor musunuz, stresimden Ölücem radyoloji uzmanı nasıl böyle bir yorum yapabilir ki aklım almıyor benim kesem 20 mm, yolk kesesi de 3 mm
Radyoloji uzmanı %99 bu gebelik boş gebelik, bu saatten sonra embriyo oluşmaz dediNeden stres yaptınız?
Kese kaç mm görünüyor canım?Radyoloji uzmanı %99 bu gebelik boş gebelik, bu saatten sonra embriyo oluşmaz dedi
20 mm gözüküyor kese, bu saatten sonra gözükür mü acaba bugun 5+6 olmuşumKese kaç mm görünüyor canım?
Az once izledigim bi videoda kiz 5+6 da kalp atisini duymus benim de moralim bozuldu cunku ben de ilk muayenemi 5+6 da olmustum ama sadece kese gozukmustu acaba devlet hastanesi oldugundan dolayi bu fark yasanmis olabilir mi tedirgin oldum yarin tekrar gidecegim insallah bayram vs araya girince 2.kontrole gidemedim henuz umarim bebegimi ve kalbini gorebilirimÇok sağol canım çok şükür duyduk her kontrolde gergin gidiyoruz doktor bile farkediyor siz gerginsiniz diyor. Ne zaman atacağım bu durumu üzerimden bilmiyorum.
İlk kontrolümüz 6+4 dü kese yolk gözükmüştü ama kalp atışı için erken demişti. Geçen hafta bayram haftasıydı o yüzden bu haftaya kontrol verdi ondan geç duymuş olduk. Yarın aynı şekilde güzel haberlerini almayı bekliyorum
Hamilelikten önce ben çok sık yaşardım. Bende kronikleşmişti artık en ufak bir üşütmede oluyordu.Kızlar idrar yolu enfeksiyonu yaşayan var mı
Aynı durumdayız benim de sadece kese ve yolk kesesi gözüktü, bebeği göremediler. İnşallah kalp atışlarını duyar sağlıkla kucağımıza alırızAz once izledigim bi videoda kiz 5+6 da kalp atisini duymus benim de moralim bozuldu cunku ben de ilk muayenemi 5+6 da olmustum ama sadece kese gozukmustu acaba devlet hastanesi oldugundan dolayi bu fark yasanmis olabilir mi tedirgin oldum yarin tekrar gidecegim insallah bayram vs araya girince 2.kontrole gidemedim henuz umarim bebegimi ve kalbini gorebilirim
25 mm'e kadar diye biliyorum ben ama 5+6 haftalık gebelik kesesi 20 mm değildir ya küçük olduğu için görünmemiştir. Ben 6+1 gittiğimde 14 mm ölçülmüştü kese ve bebek görünmüyor demişlerdi. Bayramdan sonra kendi doktorumda 6+4 çıktım ve bebeğim göründü üstelik kalp atışını da duydum. Bebeği besleyen kordon yoksak göründüyse sorun yok demişti benim doktorum devlete gidip kendinizi üzmeyin demişti.20 mm gözüküyor kese, bu saatten sonra gözükür mü acaba bugun 5+6 olmuşum
Yolk gözüktüyse sorun yok ben aynısını yaşadım canım. 1 hafta sonra gittiğinde emin ol göreceksin.Aynı durumdayız benim de sadece kese ve yolk kesesi gözüktü, bebeği göremediler. İnşallah kalp atışlarını duyar sağlıkla kucağımıza alırız
Hamilelikten önce ben çok sık yaşardım. Bende kronikleşmişti artık en ufak bir üşütmede oluyordu.
Su içmeyi artırdım ama artarsa etkileri kötüymüş akşam idrar kültür testi vericemHamilelikten önce ben çok sık yaşardım. Bende kronikleşmişti artık en ufak bir üşütmede oluyordu.
Kacinci haftaniz suan ben 8+5teyim cok sukur agri sizi bir sikayetim yok heralde olumsuz bi durum olsa sinyal verirdi diye dusunuyorum amaAynı durumdayız benim de sadece kese ve yolk kesesi gözüktü, bebeği göremediler. İnşallah kalp atışlarını duyar sağlıkla kucağımıza alırız
Evet bol su için suyla atarsınız ben hamilelikten önce piyeloseptyl kullanıyordum.Su içmeyi artırdım ama artarsa etkileri kötüymüş akşam idrar kültür testi vericem
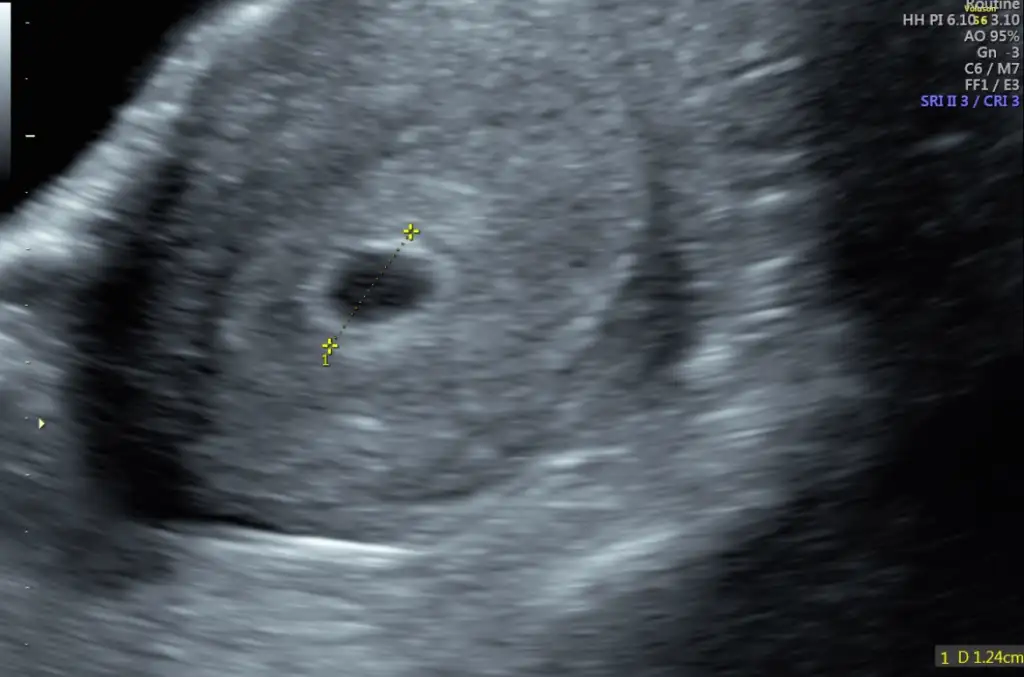
Canım bu benim 5+4 kese görüntüm, boş görünüyor. Neden bu kadar erkenden boş gebelik olabilir demiş anlamadım. Sonra 6+5’te gittiğimde bebeği de gördük kalp atışını da duyduk. İnşallah senin de öyle olur, bu haftada böyle olması bence çok normal.20 mm gözüküyor kese, bu saatten sonra gözükür mü acaba bugun 5+6 olmuşum
orda 20x10x9 yazmış ben onu 20 mm olarak yorumladım, umarım dediğiniz gibidir içime umut serptiniz valla25 mm'e kadar diye biliyorum ben ama 5+6 haftalık gebelik kesesi 20 mm değildir ya küçük olduğu için görünmemiştir. Ben 6+1 gittiğimde 14 mm ölçülmüştü kese ve bebek görünmüyor demişlerdi. Bayramdan sonra kendi doktorumda 6+4 çıktım ve bebeğim göründü üstelik kalp atışını da duydum. Bebeği besleyen kordon yoksak göründüyse sorun yok demişti benim doktorum devlete gidip kendinizi üzmeyin demişti.
İnşallah öyledir. Aslında doktor gebelik kesen, yolk kesen çok güzel dedi. Doppler için başka yere gönderdi beni. Göndermesinin sebebi de kalp atışlarını duyacaksın büyük ihtimal diye. Radyoloji uzmanı böyle bir şey söyleyince bir an şok yaşadım. Ne olduğumu şaşırdımCanım bu benim 5+4 kese görüntüm, boş görünüyor. Neden bu kadar erkenden boş gebelik olabilir demiş anlamadım. Sonra 6+5’te gittiğimde bebeği de gördük kalp atışını da duyduk. İnşallah senin de öyle olur, bu haftada böyle olması bence çok normal.Eki Görüntüle 3603775
Lutfen baska bir doktora gorunun her doktorun da olcumlerine inanmayin ben bunu ogrendim. Ultrasonda kendiniz bakin resimleri isterseniz buraya atin chatgpt yukleyin bakalim beraber gelisime ama olcumler bazen hatali olabiliyor. Eger yolk sac gozuktuyse bos gebelik olamaz. Bana da gecen hafta doktorun biri kesen bos dedi halbuki doluydu iki saat arayla baska doktora gozuktum onun yanlis teshisi ortaya çıktı bir de bos yere agladim kendimi harap ettim.Kese falan kaç mm boyutundaydı hatırlıyor musunuz, stresimden Ölücem radyoloji uzmanı nasıl böyle bir yorum yapabilir ki aklım almıyor benim kesem 20 mm, yolk kesesi de 3 mm
Kese 25 e kadar beklenir 25 mm olunca kese bebek görünmesse boş gebelik şüphesi olabilir ancakKese falan kaç mm boyutundaydı hatırlıyor musunuz, stresimden Ölücem radyoloji uzmanı nasıl böyle bir yorum yapabilir ki aklım almıyor benim kesem 20 mm, yolk kesesi de 3 mm
Benimde 5+6 devlette sadece kese gözüktü bebek gözükmesi. 6+4 özelde yolk gözüktü kalp duyulmadı. 7+6 da kalp duyulduAz once izledigim bi videoda kiz 5+6 da kalp atisini duymus benim de moralim bozuldu cunku ben de ilk muayenemi 5+6 da olmustum ama sadece kese gozukmustu acaba devlet hastanesi oldugundan dolayi bu fark yasanmis olabilir mi tedirgin oldum yarin tekrar gidecegim insallah bayram vs araya girince 2.kontrole gidemedim henuz umarim bebegimi ve kalbini gorebilirim
We use cookies and similar technologies for the following purposes:
Do you accept cookies and these technologies?
We use cookies and similar technologies for the following purposes:
Do you accept cookies and these technologies?